Tested Applications
| Positive WB detected in | HUVEC cells, MCF-7 cells, HeLa cells, HEK-293 cells, HepG2 cells, THP-1 cells, LNCaP cells, NCCIT cells, U2OS cells |
| Positive IP detected in | MCF-7 cells |
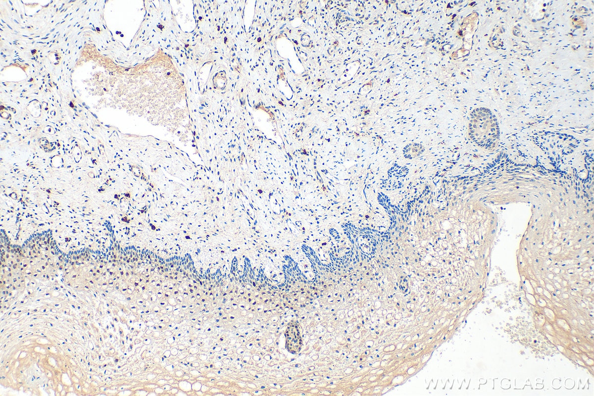
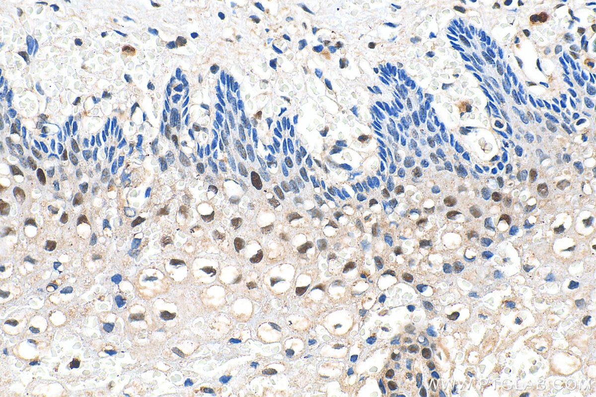
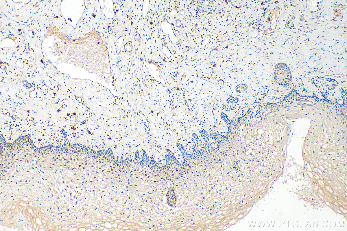
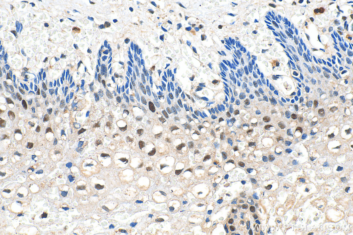
| Positive IHC detected in | human colon cancer tissue, human breast cancer tissue, human cervical cancer tissue, human kidney tissue, human stomach cancer tissue, human thyroid cancer tissue Note: suggested antigen retrieval with TE buffer pH 9.0; (*) Alternatively, antigen retrieval may be performed with citrate buffer pH 6.0 |
| Positive IF-P detected in | myotome of a somite at E11.5 tissue |
| Positive IF/ICC detected in | MCF-7 cells |
| Positive FC (Intra) detected in | MCF-7 cells |
Recommended dilution
| Application | Dilution |
|---|---|
| Western Blot (WB) | WB : 1:1000-1:4000 |
| Immunoprecipitation (IP) | IP : 0.5-4.0 ug for 1.0-3.0 mg of total protein lysate |
| Immunohistochemistry (IHC) | IHC : 1:5000-1:20000 |
| Immunofluorescence (IF)-P | IF-P : 1:10-1:100 |
| Immunofluorescence (IF)/ICC | IF/ICC : 1:200-1:800 |
| Flow Cytometry (FC) (INTRA) | FC (INTRA) : 0.40 ug per 10^6 cells in a 100 µl suspension |
| It is recommended that this reagent should be titrated in each testing system to obtain optimal results. | |
| Sample-dependent, Check data in validation data gallery. | |
Published Applications
| KD/KO | See 12 publications below |
| WB | See 904 publications below |
| IHC | See 82 publications below |
| IF | See 83 publications below |
| IP | See 3 publications below |
| CoIP | See 2 publications below |
Product Information
10355-1-AP targets P21 in WB, IHC, IF/ICC, IF-P, FC (Intra), IP, CoIP, ELISA, Cell treatment applications and shows reactivity with human samples.
| Tested Reactivity | human |
| Cited Reactivity | human, pig, rabbit, canine, bovine, artemia sinica |
| Host / Isotype | Rabbit / IgG |
| Class | Polyclonal |
| Type | Antibody |
| Immunogen |
CatNo: Ag0368 Product name: Recombinant human P21;CDKN1A protein Source: e coli.-derived, PGEX-4T Tag: GST Domain: 1-149 aa of BC000275 Sequence: MSEPAGDVRQNPCGSKACRRLFGPVDSEQLSRDCDALMAGCIQEARERWNFDFVTETPLEGDFAWERVRGLGLPKLYLPTGPRRGRDELGGGRRPGTSPALLQGTAEEDHVDLSLSCTLVPRSGEQAEGSPGGPGDSQGRKRRQTSMTD Predict reactive species |
| Full Name | cyclin-dependent kinase inhibitor 1A (p21, Cip1) |
| Calculated Molecular Weight | 18 kDa |
| Observed Molecular Weight | 21 kDa |
| GenBank Accession Number | BC000275 |
| Gene Symbol | p21 |
| Gene ID (NCBI) | 1026 |
| RRID | AB_2077682 |
| Conjugate | Unconjugated |
| Form | Liquid |
| Purification Method | Antigen affinity purification |
| UNIPROT ID | P38936 |
| Storage Buffer | PBS with 0.02% sodium azide and 50% glycerol, pH 7.3. |
| Storage Conditions | Store at -20°C. Stable for one year after shipment. Aliquoting is unnecessary for -20oC storage. 20ul sizes contain 0.1% BSA. |
Background Information
CDKN1A (p21, CIP1, WAF1) is a cyclin-dependent kinase inhibitor. CDKN1A binds to and inhibits the activity of cyclin-CDK2 or -CDK4 complexes, and thus functions as a regulator of cell cycle progression at the G1 phase. The expression of CDKN1A is induced by wild-type but not mutant p53 protein, through which CDKN1A mediates the p53-dependent cell cycle G1 phase arrest in response to a variety of stress stimuli. CDKN1A can interact with proliferating cell nuclear antigen (PCNA), and plays a regulatory role in S phase DNA replication and DNA damage repair. CDKN1A was reported to be specifically cleaved by CASP3-like caspases, which thus leads to a dramatic activation of CDK2, and may be instrumental in the execution of apoptosis following caspase activation. Two alternatively spliced variants, which encode an identical protein, have been reported.
Protocols
| Product Specific Protocols | |
|---|---|
| FC protocol for P21 antibody 10355-1-AP | Download protocol |
| IF protocol for P21 antibody 10355-1-AP | Download protocol |
| IHC protocol for P21 antibody 10355-1-AP | Download protocol |
| IP protocol for P21 antibody 10355-1-AP | Download protocol |
| WB protocol for P21 antibody 10355-1-AP | Download protocol |
| Standard Protocols | |
|---|---|
| Click here to view our Standard Protocols |
Publications
| Species | Application | Title |
|---|---|---|
Gastroenterology Intestinal PPARα Protects Against Colon Carcinogenesis via Regulation of Methyltransferases DNMT1 and PRMT6. | ||
Sci Transl Med Guanosine diphosphate-mannose suppresses homologous recombination repair and potentiates antitumor immunity in triple-negative breast cancer | ||
Nat Commun Senescence-associated 13-HODE production promotes age-related liver steatosis by directly inhibiting catalase activity | ||
Nat Commun Phosphoglycerate dehydrogenase activates PKM2 to phosphorylate histone H3T11 and attenuate cellular senescence | ||
Nat Commun URI alleviates tyrosine kinase inhibitors-induced ferroptosis by reprogramming lipid metabolism in p53 wild-type liver cancers | ||
Mol Cancer CircVAPA promotes small cell lung cancer progression by modulating the miR-377-3p and miR-494-3p/IGF1R/AKT axis. |
Reviews
The reviews below have been submitted by verified Proteintech customers who received an incentive for providing their feedback.
FH Kamal (Verified Customer) (01-22-2026) | Antibody was diluted in 1:3000 1X TBST.
|
FH Ankush (Verified Customer) (08-13-2025) | The primary antibody was used to detect and quantify the expression level of the p21 protein in skin cells.
![]() |
FH Alexandros (Verified Customer) (06-06-2025) | Excellent performance; very nice staining on my membranes (PVDF) and not taking ages to develop as previous antibodies I had tried.
|
FH celine (Verified Customer) (11-19-2024) | I used in BSA 3% at 1:1000 for overnight incubation. It worked very well, but there is an unspecific band.
![]() |
FH Vikas (Verified Customer) (04-23-2024) | Used p21 antibody at 1:1000 dilution for western blotting worked great. Thank You. Highly recommended.
|
FH Hadil (Verified Customer) (05-24-2023) | I prepared this antibody in odyssey blocker at 1:1000 and incubated at 4 C overnight and seemed to get a good signal for p21. There were some non-specific bands properly caused by long incubation periods. So, i would recommend using it at this concentration for 1.5-2 hr at RT.
|
FH Malak (Verified Customer) (04-22-2021) | The best incubation period for this antibody is 1.5 hr at room temperature, longer incubations (especially overnight at 4°C) may result in aspecific bands.
|
FH Susan (Verified Customer) (12-03-2019) | We had been having issues with our old P21 antibody and this one worked great.
|
FH Béatrice (Verified Customer) (09-04-2019) | This is an excellent and specific antibody, without background.When prepared in 3%BSA, it can be reused several times and kept at-20°C
![]() |
























































