Tested Applications
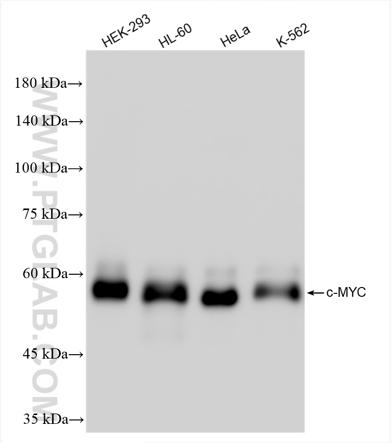
| Positive WB detected in | HEK-293 cells, A549 cells, HL-60 cells, HeLa cells, K-562 cells |
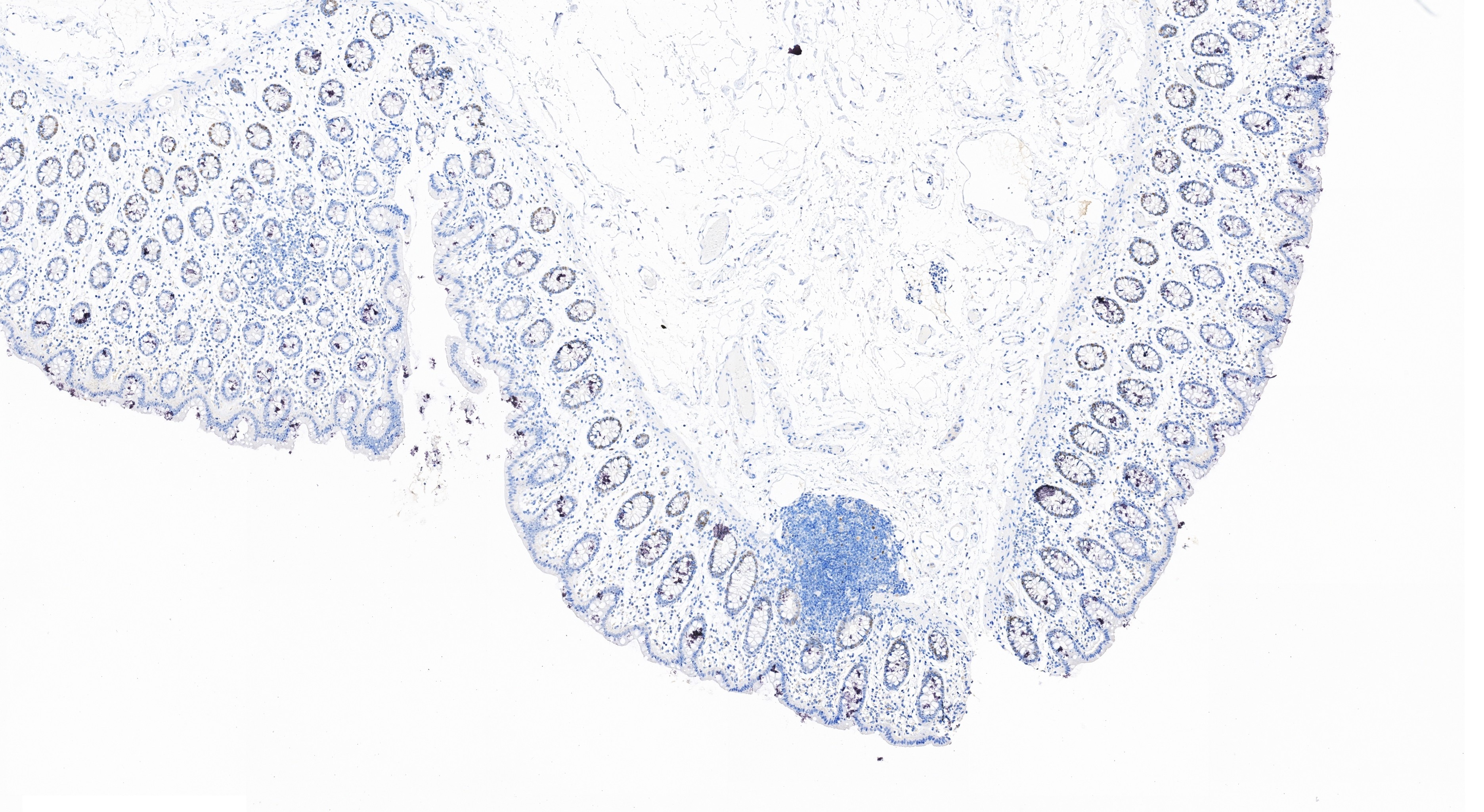
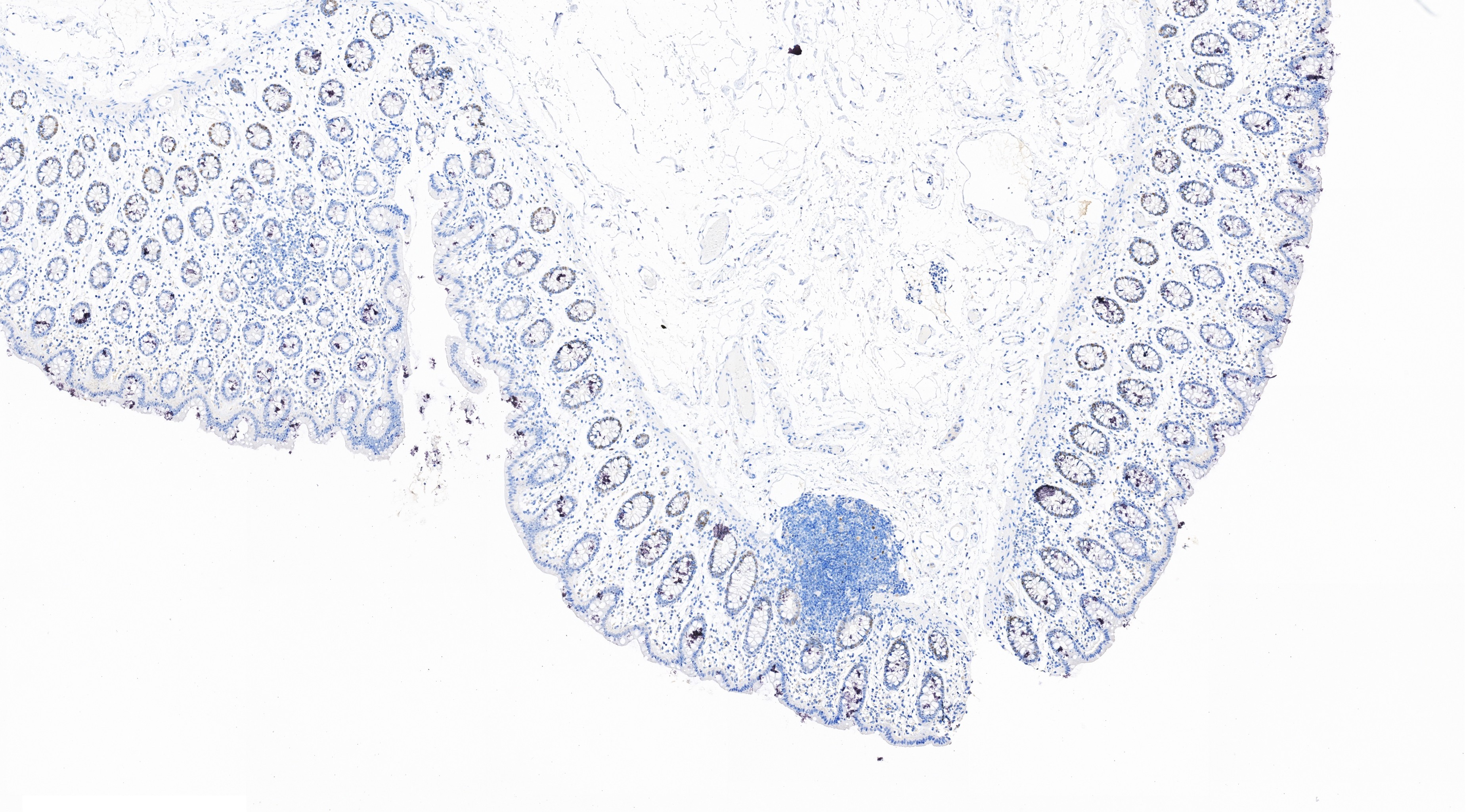
| Positive IHC detected in | human colon cancer tissue, human colon tissue, human tonsillitis tissue, mouse embryo tissue Note: suggested antigen retrieval with TE buffer pH 9.0; (*) Alternatively, antigen retrieval may be performed with citrate buffer pH 6.0 |
| Positive IF/ICC detected in | HeLa cells, HEK-293 cells, U2OS cells |
| Positive FC (Intra) detected in | HeLa cells |
| Positive ChIP-qPCR detected in | HeLa cells |
Recommended dilution
| Application | Dilution |
|---|---|
| Western Blot (WB) | WB : 1:1000-1:4000 |
| Immunohistochemistry (IHC) | IHC : 1:200-1:800 |
| Immunofluorescence (IF)/ICC | IF/ICC : 1:50-1:500 |
| Flow Cytometry (FC) (INTRA) | FC (INTRA) : 0.25 ug per 10^6 cells in a 100 µl suspension |
| CHIP-QPCR | CHIP-QPCR : 1:10-1:100 |
| It is recommended that this reagent should be titrated in each testing system to obtain optimal results. | |
| Sample-dependent, Check data in validation data gallery. | |
Published Applications
| WB | See 1 publications below |
| IHC | See 1 publications below |
| IF | See 1 publications below |
Product Information
80845-1-RR targets c-MYC in WB, IHC, IF/ICC, FC (Intra), ELISA, ChIP-qPCR applications and shows reactivity with human, mouse samples.
| Tested Reactivity | human, mouse |
| Cited Reactivity | human |
| Host / Isotype | Rabbit / IgG |
| Class | Recombinant |
| Type | Antibody |
| Immunogen |
CatNo: Ag1263 Product name: Recombinant human MYC protein Source: e coli.-derived, PGEX-4T Tag: GST Domain: 16-454 aa of BC000141 Sequence: MPLNVSFTNRNYDLDYDSVQPYFYCDEEENFYQQQQQSELQPPAPSEDIWKKFELLPTPPLSPSRRSGLCSPSYVAVTPFSLRGDNDGGGGSFSTADQLEMVTELLGGDMVNQSFICDPDDETFIKNIIIQDCMWSGFSAAAKLVSEKLASYQAARKDSGSPNPARGHSVCSTSSLYLQDLSAAASECIDPSVVFPYPLNDSSSPKSCASQDSSAFSPSSDSLLSSTESSPQGSPEPLVLHEETPPTTSSDSEEEQEDEEEIDVVSVEKRQAPGKRSESGSPSAGGHSKPPHSPLVLKRCHVSTHQHNYAAPPSTRKDYPAAKRVKLDSVRVLRQISNNRKCTSPRSSDTEENVKRRTHNVLERQRRNELKRSFFALRDQIPELENNEKAPKVVILKKATAYILSVQAEEQKLISEEDLLRKRREQLKHKLEQLRNSCA Predict reactive species |
| Full Name | v-myc myelocytomatosis viral oncogene homolog (avian) |
| Calculated Molecular Weight | 49 kDa |
| Observed Molecular Weight | 50-65 kDa |
| GenBank Accession Number | BC000141 |
| Gene Symbol | MYC |
| Gene ID (NCBI) | 4609 |
| RRID | AB_2918915 |
| Conjugate | Unconjugated |
| Form | Liquid |
| Purification Method | Protein A purification |
| UNIPROT ID | P01106 |
| Storage Buffer | PBS with 0.02% sodium azide and 50% glycerol, pH 7.3. |
| Storage Conditions | Store at -20°C. Stable for one year after shipment. Aliquoting is unnecessary for -20oC storage. 20ul sizes contain 0.1% BSA. |
Background Information
MYC contains a basic helix-loop-helix (bHLH) domain. This protein is a multifunctional nuclear phosphoprotein, which plays a role in cell cycle process, apoptosis and cell transformation. As a transcription factor, it regulates the transcription of specific target genes. It seems to activate the transcription of growth-related genes. It binds to DNA in a nonspecific way, but also specifically recognizes the core sequence 5'-CAC[GA]TG-3'. Mutation, overexpression, rearrangement and translocation of this gene are related to many hematopoietic tumors, leukemia and lymphoma (including Burkitt lymphoma). The 50kDa band recognized by antibody is the natural form of MYC, while other bands between 60 and 70 kDa are the phosphorylated form of MYC (PMID: 12189186). The latest research reveals a new key mechanism of MYC protein, which is independent of its classical transcriptional regulation function. It was found that under the stress of transcription, MYC was polymerized through its specific RNA binding domain (RBRIII), and exocrine was targeted at the nuclear R loop and double-stranded RNA. This process can effectively eliminate the immunogenic RNA-DNA hybrid from R-loop, thus preventing it from activating TLR3-TBK1 natural immune signaling pathway. This mechanism is very important for MYC to maintain tumor growth and achieve immune escape in vivo. (PMID: 41576951)
Protocols
| Product Specific Protocols | |
|---|---|
| FC protocol for c-MYC antibody 80845-1-RR | Download protocol |
| IF protocol for c-MYC antibody 80845-1-RR | Download protocol |
| IHC protocol for c-MYC antibody 80845-1-RR | Download protocol |
| WB protocol for c-MYC antibody 80845-1-RR | Download protocol |
| Standard Protocols | |
|---|---|
| Click here to view our Standard Protocols |
Publications
| Species | Application | Title |
|---|---|---|
Commun Biol The role of IGF2BP3/SPOP/c-Myc loop in paclitaxel resistance of endometrial cancer | ||
Int J Oncol Ephrin‑B2 promotes gastric cancer growth by inhibiting apoptosis and regulating the cell cycle via the Wnt/β‑catenin signaling pathway. | ||
Front Med (Lausanne) Prognostic value and immune infiltration of anoikis-related genes in osteosarcoma. |
Reviews
The reviews below have been submitted by verified Proteintech customers who received an incentive for providing their feedback.
FH Nikolett (Verified Customer) (07-29-2025) | Antibody works well for western blot in 1:1000 dilution, incubated overnight in 3%BSA/PBS on human lung cancer cell lines and mouse lung cancer cell lines. For IHC in a 1:300 dilution upon pH6 NaCi based antigene retrieval it gives a specific nuclear signal in human lung cancer patient derived samples as well as on murine lung cancer tissue.
|



























