Tested Applications
| Positive WB detected in | HCT 116 cells, HeLa cells, pig skin tissue, A431 cells, HepG2 cells, COLO 320 cells, K-562 cells, 4T1 cells |
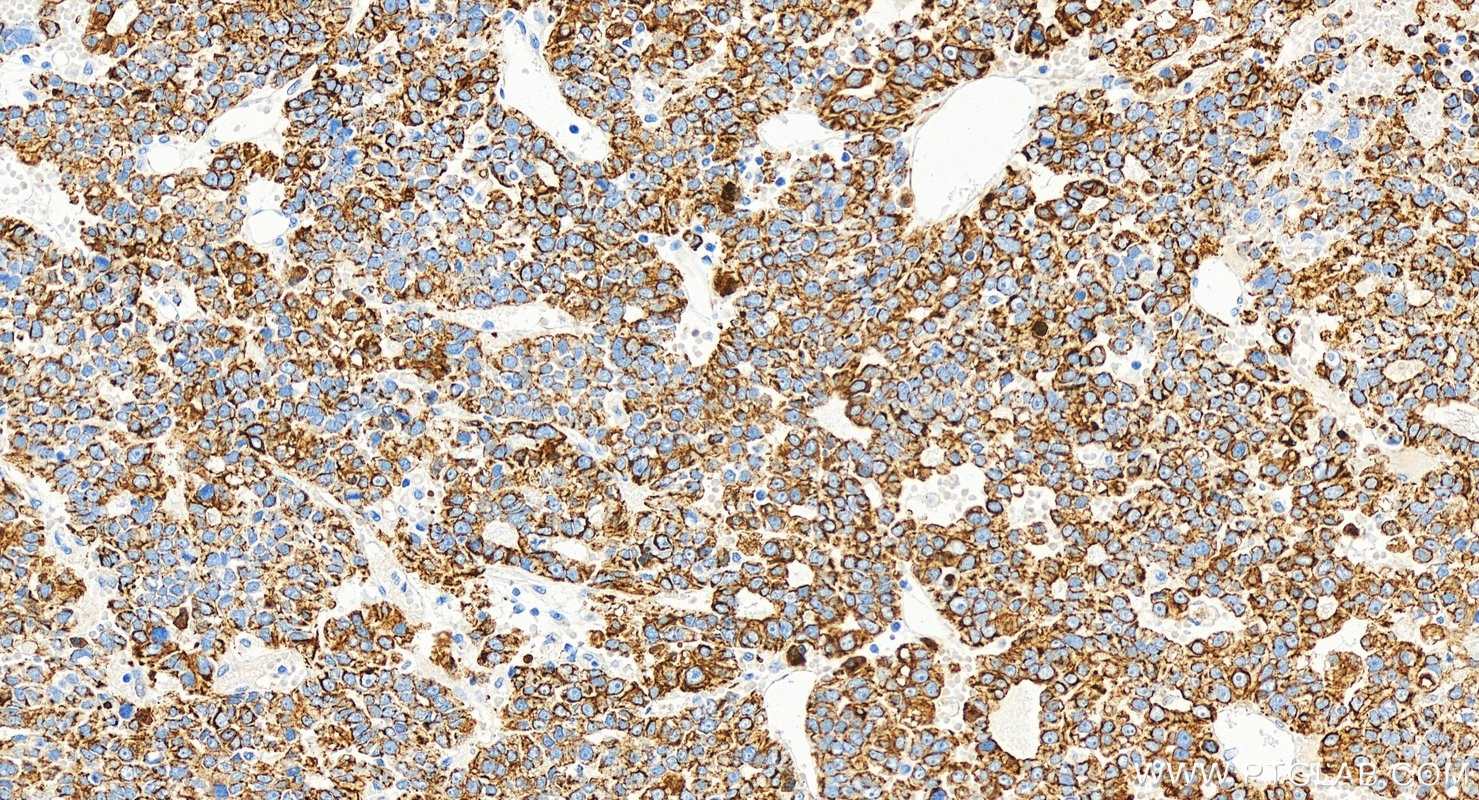
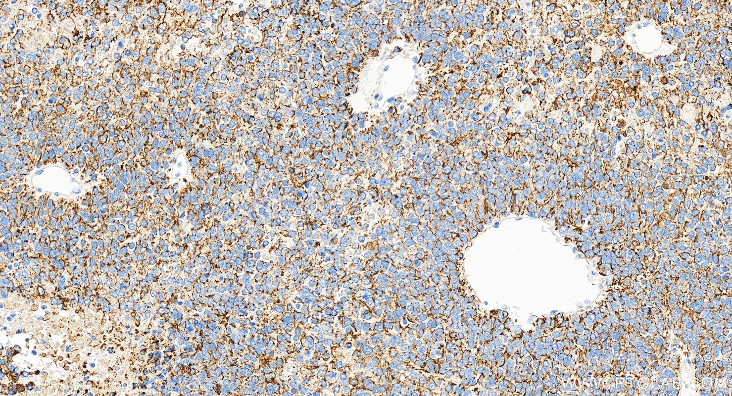
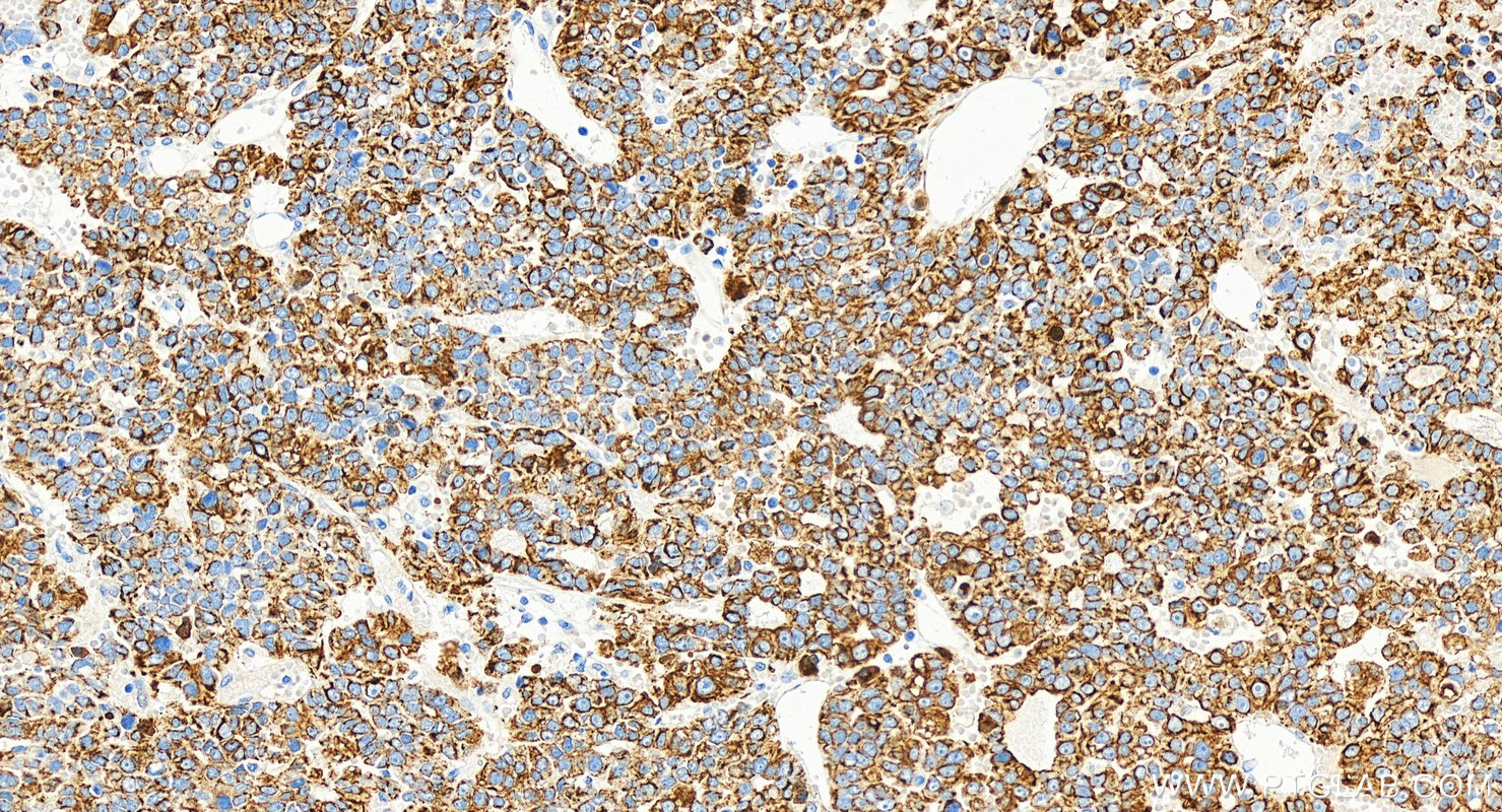
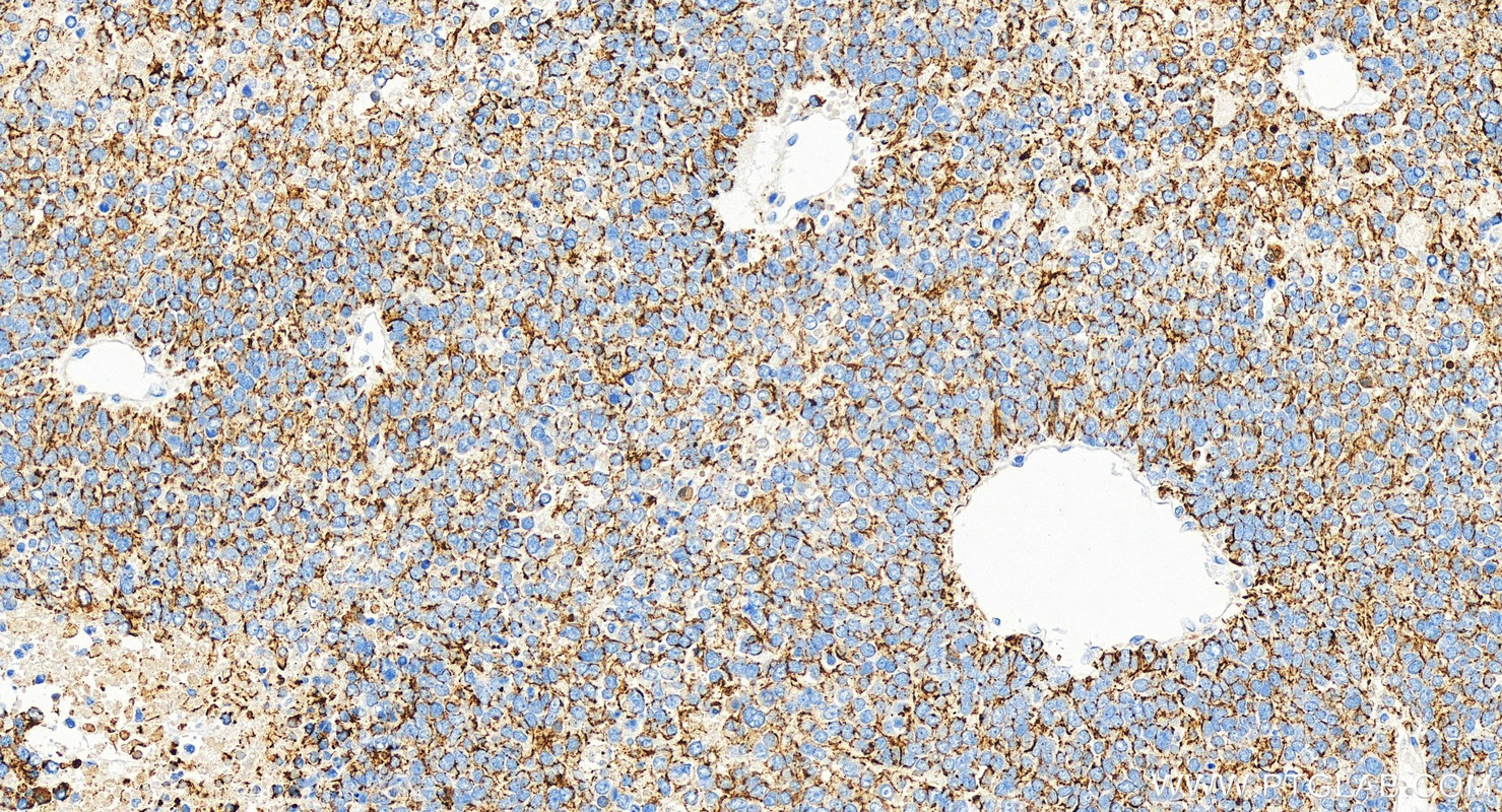
| Positive IHC detected in | human kidney tissue, human breast cancer tissue, human colon cancer tissue, human hepatocellular carcinoma, human liver tissue, human lung cancer tissue, human renal cell carcinoma tissue, human tonsillitis tissue, mouse liver tissue, rat liver tissue Note: suggested antigen retrieval with TE buffer pH 9.0; (*) Alternatively, antigen retrieval may be performed with citrate buffer pH 6.0 |
| Positive IF-P detected in | mouse testis tissue |
| Positive IF/ICC detected in | A549 cells, HUVEC cells, HeLa cells |
| Positive FC (Intra) detected in | HeLa cells |
Recommended dilution
| Application | Dilution |
|---|---|
| Western Blot (WB) | WB : 1:20000-1:100000 |
| Immunohistochemistry (IHC) | IHC : 1:600-1:2000 |
| Immunofluorescence (IF)-P | IF-P : 1:200-1:800 |
| Immunofluorescence (IF)/ICC | IF/ICC : 1:200-1:800 |
| Flow Cytometry (FC) (INTRA) | FC (INTRA) : 0.40 ug per 10^6 cells in a 100 µl suspension |
| It is recommended that this reagent should be titrated in each testing system to obtain optimal results. | |
| Sample-dependent, Check data in validation data gallery. | |
Published Applications
| WB | See 5 publications below |
| IHC | See 6 publications below |
| IF | See 15 publications below |
Product Information
66187-1-Ig targets Cytokeratin 18 in WB, IHC, IF/ICC, IF-P, FC (Intra), ELISA applications and shows reactivity with human, mouse, rat, pig samples.
| Tested Reactivity | human, mouse, rat, pig |
| Cited Reactivity | human, mouse, rat, sheep |
| Host / Isotype | Mouse / IgG1 |
| Class | Monoclonal |
| Type | Antibody |
| Immunogen |
CatNo: Ag1260 Product name: Recombinant human KRT18 protein Source: e coli.-derived, PGEX-4T Tag: GST Domain: 127-430 aa of BC000180 Sequence: SHYFKIIEDLRAQIFANTVDNARIVLQIDNARLAADDFRVKYETELAMRQSVENDIHGLRKVIDDTNITRLQLETEIEALKEELLFMKKNHEEEVKGLQAQIASSGLTVEVDAPKSQDLAKIMADIRAQYDELARKNREELDKYWSQQIEESTTVVTTQSAEVGAAETTLTELRRTVQSLEIDLDSMRNLKASLENSLREVEARYALQMEQLNGILLHLESELAQTRAEGQRQAQEYEALLNIKVKLEAEIATYRRLLEDGEDFNLGDALDSSNSMQTIQKTTTRRIVDGKVVSETNDTKVLRH Predict reactive species |
| Full Name | keratin 18 |
| Calculated Molecular Weight | 48 kDa |
| Observed Molecular Weight | 48 kDa |
| GenBank Accession Number | BC000180 |
| Gene Symbol | Cytokeratin 18 |
| Gene ID (NCBI) | 3875 |
| RRID | AB_2881582 |
| Conjugate | Unconjugated |
| Form | Liquid |
| Purification Method | Protein G purification |
| UNIPROT ID | P05783 |
| Storage Buffer | PBS with 0.02% sodium azide and 50% glycerol, pH 7.3. |
| Storage Conditions | Store at -20°C. Stable for one year after shipment. Aliquoting is unnecessary for -20oC storage. 20ul sizes contain 0.1% BSA. |
Background Information
Keratins are a large family of proteins that form the intermediate filament cytoskeleton of epithelial cells, which are classified into two major sequence types. Type I keratins are a group of acidic intermediate filament proteins, including K9-K23, and the hair keratins Ha1-Ha8. Type II keratins are the basic or neutral courterparts to the acidic type I keratins, including K1-K8, and the hair keratins, Hb1-Hb6. KRT18, also named as CYK18, PIG46 and K18, is the most commonly found members of the intermediate filament gene family. KRT18 is a type I keratin which is found primarily in non squamous epithelia and is present in a majority of adenocarcinomas and ductal carcinomas but not in squamous cell carcinomas.
Protocols
| Product Specific Protocols | |
|---|---|
| FC protocol for Cytokeratin 18 antibody 66187-1-Ig | Download protocol |
| IF protocol for Cytokeratin 18 antibody 66187-1-Ig | Download protocol |
| IHC protocol for Cytokeratin 18 antibody 66187-1-Ig | Download protocol |
| WB protocol for Cytokeratin 18 antibody 66187-1-Ig | Download protocol |
| Standard Protocols | |
|---|---|
| Click here to view our Standard Protocols |
Publications
| Species | Application | Title |
|---|---|---|
Nat Cell Biol Blebbisomes are large, organelle-rich extracellular vesicles with cell-like properties | ||
Redox Biol ACSL4 deficiency confers protection against ferroptosis-mediated acute kidney injury. | ||
J Pathol Histone demethylase PHF8 drives neuroendocrine prostate cancer progression by epigenetically upregulating FOXA2. | ||
Hum Reprod T-cadherin inhibits invasion and migration of endometrial stromal cells in endometriosis. | ||
Stem Cell Res Ther Expansion of mouse castration-resistant intermediate prostate stem cells in vitro | ||
Commun Biol Single-cell analysis supports a luminal-neuroendocrine transdifferentiation in human prostate cancer. |































































