Tested Applications
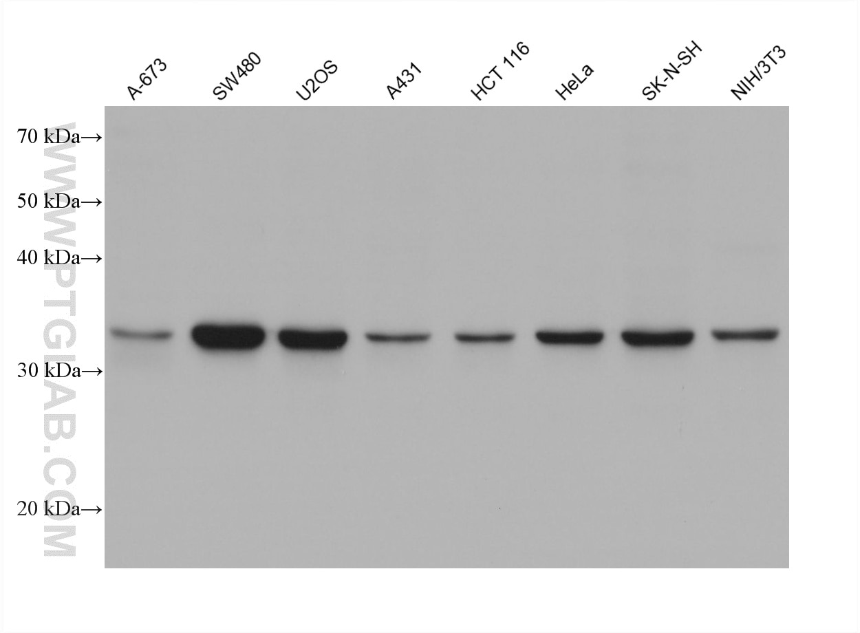
| Positive WB detected in | MCF-7 cells, A549 cells, A-673 cells, HeLa cells, NIH/3T3 cells, RAW 264.7 cells, SW480 cells, U2OS cells, A431 cells, HCT 116 cells, SK-N-SH cells, SW 1990 cells, HepG2 cells, HSC-T6 cells, PC-12 cells |
| Positive FC (Intra) detected in | SH-SY5Y cells |
Recommended dilution
| Application | Dilution |
|---|---|
| Western Blot (WB) | WB : 1:5000-1:50000 |
| Flow Cytometry (FC) (INTRA) | FC (INTRA) : 0.25 ug per 10^6 cells in a 100 µl suspension |
| It is recommended that this reagent should be titrated in each testing system to obtain optimal results. | |
| Sample-dependent, Check data in validation data gallery. | |
Published Applications
| KD/KO | See 1 publications below |
| WB | See 826 publications below |
| IHC | See 1 publications below |
| IF | See 14 publications below |
| IP | See 4 publications below |
Product Information
60186-1-Ig targets Cyclin D1 in WB, IF, FC (Intra), IP, ELISA applications and shows reactivity with human, mouse, rat samples.
| Tested Reactivity | human, mouse, rat |
| Cited Reactivity | human, mouse, rat, rabbit, chicken, zebrafish, bovine, hamster, goat |
| Host / Isotype | Mouse / IgG2b |
| Class | Monoclonal |
| Type | Antibody |
| Immunogen |
CatNo: Ag0689 Product name: Recombinant human Cyclin D1 protein Source: e coli.-derived, PGEX-4T Tag: GST Domain: 65-245 aa of BC000076 Sequence: LEVCEEQKCEEEVFPLAMNYLDRFLSLEPVKKSRLQLLGATCMFVASKMKETIPLTAEKLCIYTDNSIRPEELLQMELLLVNKLKWNLAAMTPHDFIEHFLSKMPEAEENKQIIRKHAQTFVALCATDVKFISNPPSMVAAGSVVAAVQGLNLRSPNNFLSYYRLTRFLSRVIKCDPDCLR Predict reactive species |
| Full Name | cyclin D1 |
| Calculated Molecular Weight | 295 aa, 34 kDa |
| Observed Molecular Weight | 34 kDa |
| GenBank Accession Number | BC000076 |
| Gene Symbol | Cyclin D1 |
| Gene ID (NCBI) | 595 |
| RRID | AB_10793718 |
| Conjugate | Unconjugated |
| Form | Liquid |
| Purification Method | Protein A purification |
| UNIPROT ID | P24385 |
| Storage Buffer | PBS with 0.02% sodium azide and 50% glycerol, pH 7.3. |
| Storage Conditions | Store at -20°C. Stable for one year after shipment. Aliquoting is unnecessary for -20oC storage. 20ul sizes contain 0.1% BSA. |
Background Information
CCND1 (cyclin D1), also known as PRAD1 or BCL1, belongs to the highly conserved cyclin family, whose members are characterized by a dramatic periodicity in protein abundance throughout the cell cycle. CCND1 forms a complex with and functions as a regulatory subunit of CDK4 or CDK6, whose activity is required for cell cycle G1/S transition. The CCND1 gene, located on 11q13 has been reported to be overexpressed in mantle cell lymphoma (MCL) due to the chromosomal translocation. CCND1 has been shown to interact with tumor suppressor protein Rb and the expression of this gene is regulated positively by Rb. Over-expression of CCND1 is known to correlate with the early onset of cancer and risk of tumor progression and metastasis.
Protocols
| Product Specific Protocols | |
|---|---|
| FC protocol for Cyclin D1 antibody 60186-1-Ig | Download protocol |
| WB protocol for Cyclin D1 antibody 60186-1-Ig | Download protocol |
| Standard Protocols | |
|---|---|
| Click here to view our Standard Protocols |
Publications
| Species | Application | Title |
|---|---|---|
Nat Cell Biol TRIM15 and CYLD regulate ERK activation via lysine-63-linked polyubiquitination. | ||
Bioact Mater Bioinspired engineering ADSC nanovesicles thermosensitive hydrogel enhance autophagy of dermal papilla cells for androgenetic alopecia treatment | ||
Nat Commun F-box protein FBXO32 ubiquitinates and stabilizes D-type cyclins to drive cancer progression | ||
Adv Sci (Weinh) Inflammatory Fibroblast-Like Synoviocyte-Derived Exosomes Aggravate Osteoarthritis via Enhancing Macrophage Glycolysis | ||
Acta Pharm Sin B The substitution of SERCA2 redox cysteine 674 promotes pulmonary vascular remodeling by activating IRE1α/XBP1s pathway. |
Reviews
The reviews below have been submitted by verified Proteintech customers who received an incentive for providing their feedback.
FH Wissem (Verified Customer) (02-03-2026) | Antibody worked very well to detect cyclin D in extracts with no detectable non-specific bands
![]() |
FH Janardhan (Verified Customer) (08-22-2020) | Antibody works ok, needs longer exposure
|
FH Yuan (Verified Customer) (01-23-2020) | The antibody is ok. Signal is not very strong for western blot. Needed relative long exposure for Hela cells.
|
FH Kyosuke (Verified Customer) (06-12-2019) | I use this as a proliferation marker and this antibody works very well for WB.
|


















