Tested Applications
| Positive WB detected in | unboiled A431 cells, unboiled HeLa cells, unboiled RAW 264.7 cells |
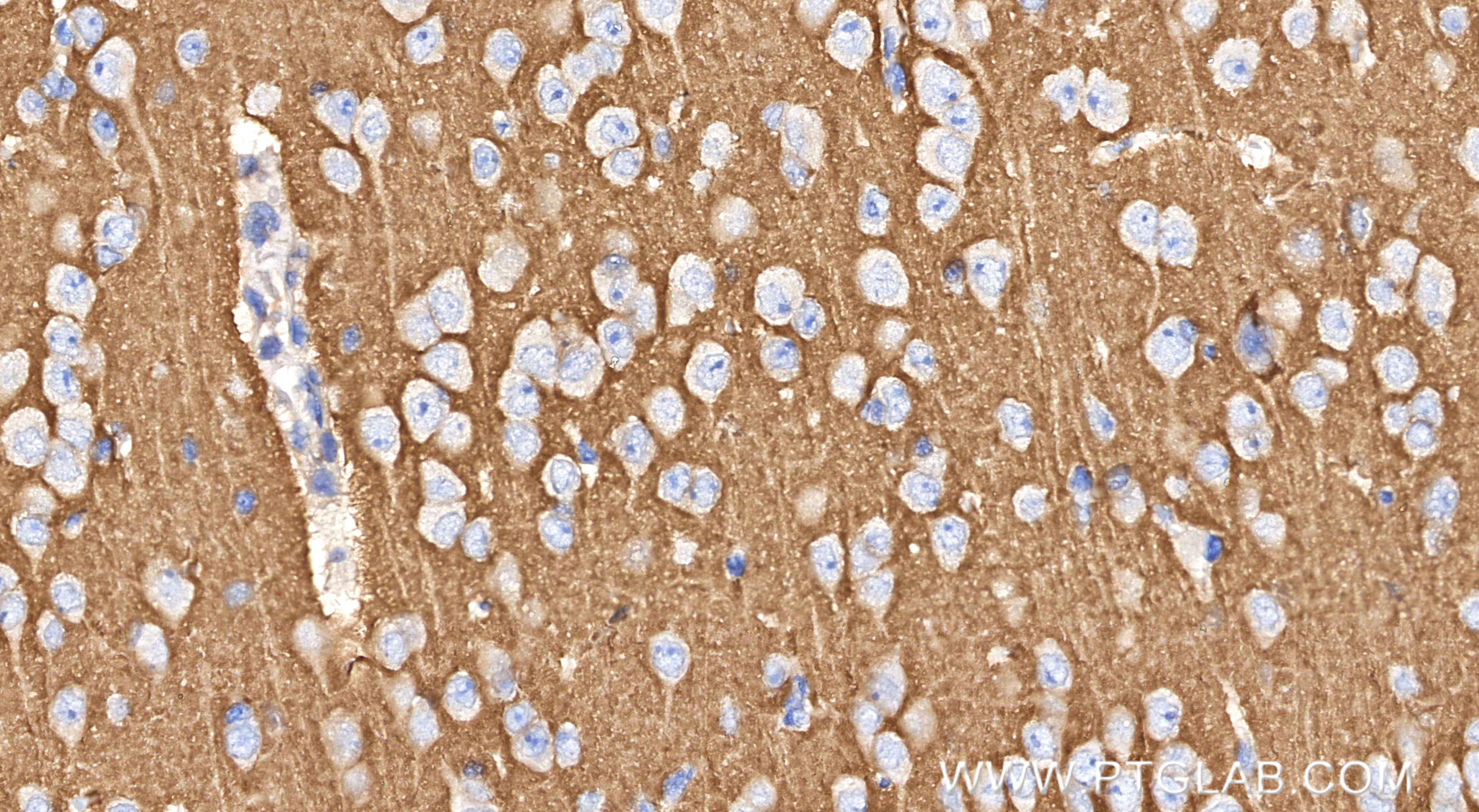
| Positive IHC detected in | mouse brain tissue Note: suggested antigen retrieval with TE buffer pH 9.0; (*) Alternatively, antigen retrieval may be performed with citrate buffer pH 6.0 |
| Positive IF/ICC detected in | A431 cells, HEK-293 cells |
| Positive FC (Intra) detected in | HEK-293 cells |
For optimal WB detection with 83191-6-RR, we do not recommend boiling the sample after lysis.
Recommended dilution
| Application | Dilution |
|---|---|
| Western Blot (WB) | WB : 1:5000-1:50000 |
| Immunohistochemistry (IHC) | IHC : 1:250-1:1000 |
| Immunofluorescence (IF)/ICC | IF/ICC : 1:250-1:1000 |
| Flow Cytometry (FC) (INTRA) | FC (INTRA) : 0.40 ug per 10^6 cells in a 100 µl suspension |
| It is recommended that this reagent should be titrated in each testing system to obtain optimal results. | |
| Sample-dependent, Check data in validation data gallery. | |
Published Applications
| WB | See 1 publications below |
Product Information
83191-6-RR targets ATP1A1 in WB, IHC, IF/ICC, FC (Intra), ELISA applications and shows reactivity with human, mouse samples.
| Tested Reactivity | human, mouse |
| Cited Reactivity | human |
| Host / Isotype | Rabbit / IgG |
| Class | Recombinant |
| Type | Antibody |
| Immunogen |
CatNo: Ag5763 Product name: Recombinant human ATP1A1 protein Source: e coli.-derived, PGEX-4T Tag: GST Domain: 347-681 aa of BC050359 Sequence: TAKRMARKNCLVKNLEAVETLGSTSTICSDKTGTLTQNRMTVAHMWFDNQIHEADTTENQSGVSFDKTSATWLALSRIAGLCNRAVFQANQENLPILKRAVAGDASESALLKCIELCCGSVKEMRERYAKIVEIPFNSTNKYQLSIHKNPNTSEPQHLLVMKGAPERILDRCSSILLHGKEQPLDEELKDAFQNAYLELGGLGERVLGFCHLFLPDEQFPEGFQFDTDDVNFPIDNLCFVGLISMIDPPRAAVPDAVGKCRSAGIKVIMVTGDHPITAKAIAKGVGIISEGNETVEDIAARLNIPVSQVNPRDAKACVVHGSDLKDMTSEQLDDI Predict reactive species |
| Full Name | ATPase, Na+/K+ transporting, alpha 1 polypeptide |
| Calculated Molecular Weight | 113 kDa |
| Observed Molecular Weight | 100-110 kDa |
| GenBank Accession Number | BC050359 |
| Gene Symbol | ATP1A1 |
| Gene ID (NCBI) | 476 |
| ENSEMBL Gene ID | ENSG00000163399 |
| RRID | AB_3670881 |
| Conjugate | Unconjugated |
| Form | Liquid |
| Purification Method | Protein A purfication |
| UNIPROT ID | P05023 |
| Storage Buffer | PBS with 0.02% sodium azide and 50% glycerol, pH 7.3. |
| Storage Conditions | Store at -20°C. Stable for one year after shipment. Aliquoting is unnecessary for -20oC storage. 20ul sizes contain 0.1% BSA. |
Background Information
ATP1A1 is the catalytic component of Na+/K+-ATPase which is a membrane bound enzyme primarily involved in generation of Na+ and K+ gradients across plasma membranes and in determination of cytoplasmic Na+ levels. ATP1A1 is a ubiquitously expressed membrane protein and often used as the marker or internal control for plasma membrane protein. For optimal WB detection of this membrane protein, we recommend to avoid boiling the sample after lysis.
Protocols
| Product Specific Protocols | |
|---|---|
| IF protocol for ATP1A1 antibody 83191-6-RR | Download protocol |
| IHC protocol for ATP1A1 antibody 83191-6-RR | Download protocol |
| WB protocol for ATP1A1 antibody 83191-6-RR | Download protocol |
| Standard Protocols | |
|---|---|
| Click here to view our Standard Protocols |











