WB Figures
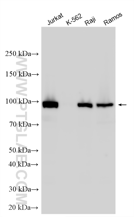
WB analysis using 16364-1-AP (same clone as 16364-1-PBS)
Various lysates were subjected to SDS PAGE followed by western blot with 16364-1-AP (VAV1 antibody) at dilution of 1:4000 incubated at room temperature for 1.5 hours. This data was developed using the same antibody clone with 16364-1-PBS in a different storage buffer formulation.
WB analysis using 16364-1-AP (same clone as 16364-1-PBS)
Various lysates were subjected to SDS PAGE followed by western blot with 16364-1-AP (VAV1 antibody) at dilution of 1:4000 incubated at room temperature for 1.5 hours. This data was developed using the same antibody clone with 16364-1-PBS in a different storage buffer formulation.
WB analysis of HL-60 using 16364-1-AP (same clone as 16364-1-PBS)
HL-60 cells were subjected to SDS PAGE followed by western blot with 16364-1-AP (VAV1 antibody) at dilution of 1:500  incubated at room temperature for 1.5 hours. This data was developed using the same antibody clone with 16364-1-PBS in a different storage buffer formulation.
IHC Figures
IHC staining of human breast cancer using 16364-1-AP (same clone as 16364-1-PBS)
Immunohistochemical analysis of paraffin-embedded human breast cancer tissue slide using 16364-1-AP (VAV1 antibody) at dilution of 1:200 (under 10x lens. Heat mediated antigen retrieval with Tris-EDTA buffer (pH 9.0). This data was developed using the same antibody clone with 16364-1-PBS in a different storage buffer formulation.
IHC staining of human breast cancer using 16364-1-AP (same clone as 16364-1-PBS)
Immunohistochemical analysis of paraffin-embedded human breast cancer tissue slide using 16364-1-AP (VAV1 antibody) at dilution of 1:200 (under 40x lens. Heat mediated antigen retrieval with Tris-EDTA buffer (pH 9.0). This data was developed using the same antibody clone with 16364-1-PBS in a different storage buffer formulation.
IHC staining of human tonsillitis using 16364-1-AP (same clone as 16364-1-PBS)
Immunohistochemical analysis of paraffin-embedded human tonsillitis tissue slide using 16364-1-AP (VAV1 antibody) at dilution of 1:200 (under 20x lens). Heat mediated antigen retrieval with Tris-EDTA buffer (pH 9.0). This data was developed using the same antibody clone with 16364-1-PBS in a different storage buffer formulation.
IHC staining of human lymphoma using 16364-1-AP (same clone as 16364-1-PBS)
Immunohistochemical analysis of paraffin-embedded human lymphoma tissue slide using 16364-1-AP (VAV1 antibody) at dilution of 1:200 (under 10x lens. Heat mediated antigen retrieval with Tris-EDTA buffer (pH 9.0). This data was developed using the same antibody clone with 16364-1-PBS in a different storage buffer formulation.
IHC staining of human lymphoma using 16364-1-AP (same clone as 16364-1-PBS)
Immunohistochemical analysis of paraffin-embedded human lymphoma tissue slide using 16364-1-AP (VAV1 antibody) at dilution of 1:200 (under 40x lens. Heat mediated antigen retrieval with Tris-EDTA buffer (pH 9.0). This data was developed using the same antibody clone with 16364-1-PBS in a different storage buffer formulation.
IHC staining of human lung using 16364-1-AP (same clone as 16364-1-PBS)
Immunohistochemical analysis of  paraffin-embedded human lung using 16364-1-AP (VAV1 antibody) at dilution of 1:50 (under 10x lens). This data was developed using the same antibody clone with 16364-1-PBS in a different storage buffer formulation.
IHC staining of human lung using 16364-1-AP (same clone as 16364-1-PBS)
Immunohistochemical analysis of  paraffin-embedded human lung using 16364-1-AP (VAV1 antibody) at dilution of 1:50 (under 40x lens). This data was developed using the same antibody clone with 16364-1-PBS in a different storage buffer formulation.
IHC staining of human heart using 16364-1-AP (same clone as 16364-1-PBS)
Immunohistochemical analysis of  paraffin-embedded human heart using 16364-1-AP (VAV1 antibody) at dilution of 1:50 (under 10x lens). This data was developed using the same antibody clone with 16364-1-PBS in a different storage buffer formulation.
IHC staining of human heart using 16364-1-AP (same clone as 16364-1-PBS)
Immunohistochemical analysis of  paraffin-embedded human heart using 16364-1-AP (VAV1 antibody) at dilution of 1:50 (under 40x lens). This data was developed using the same antibody clone with 16364-1-PBS in a different storage buffer formulation.
IHC staining of human kidney using 16364-1-AP (same clone as 16364-1-PBS)
Immunohistochemical analysis of  paraffin-embedded human kidney using 16364-1-AP (VAV1 antibody) at dilution of 1:50 (under 10x lens). This data was developed using the same antibody clone with 16364-1-PBS in a different storage buffer formulation.
IHC staining of human kidney using 16364-1-AP (same clone as 16364-1-PBS)
Immunohistochemical analysis of  paraffin-embedded human kidney using 16364-1-AP (VAV1 antibody) at dilution of 1:50 (under 40x lens). This data was developed using the same antibody clone with 16364-1-PBS in a different storage buffer formulation.
IHC staining of human brain using 16364-1-AP (same clone as 16364-1-PBS)
Immunohistochemical analysis of  paraffin-embedded human brain using 16364-1-AP (VAV1 antibody) at dilution of 1:50 (under 10x lens). This data was developed using the same antibody clone with 16364-1-PBS in a different storage buffer formulation.
IHC staining of human brain using 16364-1-AP (same clone as 16364-1-PBS)
Immunohistochemical analysis of  paraffin-embedded human brain using 16364-1-AP (VAV1 antibody) at dilution of 1:50 (under 40x lens). This data was developed using the same antibody clone with 16364-1-PBS in a different storage buffer formulation.
IHC staining of human liver using 16364-1-AP (same clone as 16364-1-PBS)
Immunohistochemical analysis of  paraffin-embedded human liver using 16364-1-AP (VAV1 antibody) at dilution of 1:50 (under 10x lens). This data was developed using the same antibody clone with 16364-1-PBS in a different storage buffer formulation.
IHC staining of human liver using 16364-1-AP (same clone as 16364-1-PBS)
Immunohistochemical analysis of  paraffin-embedded human liver using 16364-1-AP (VAV1 antibody) at dilution of 1:50 (under 40x lens). This data was developed using the same antibody clone with 16364-1-PBS in a different storage buffer formulation.
IHC staining of human spleen using 16364-1-AP (same clone as 16364-1-PBS)
Immunohistochemical analysis of  paraffin-embedded human spleen using 16364-1-AP (VAV1 antibody) at dilution of 1:50 (under 10x lens). This data was developed using the same antibody clone with 16364-1-PBS in a different storage buffer formulation.
IHC staining of human spleen using 16364-1-AP (same clone as 16364-1-PBS)
Immunohistochemical analysis of  paraffin-embedded human spleen using 16364-1-AP (VAV1 antibody) at dilution of 1:50 (under 40x lens). This data was developed using the same antibody clone with 16364-1-PBS in a different storage buffer formulation.