Product Information
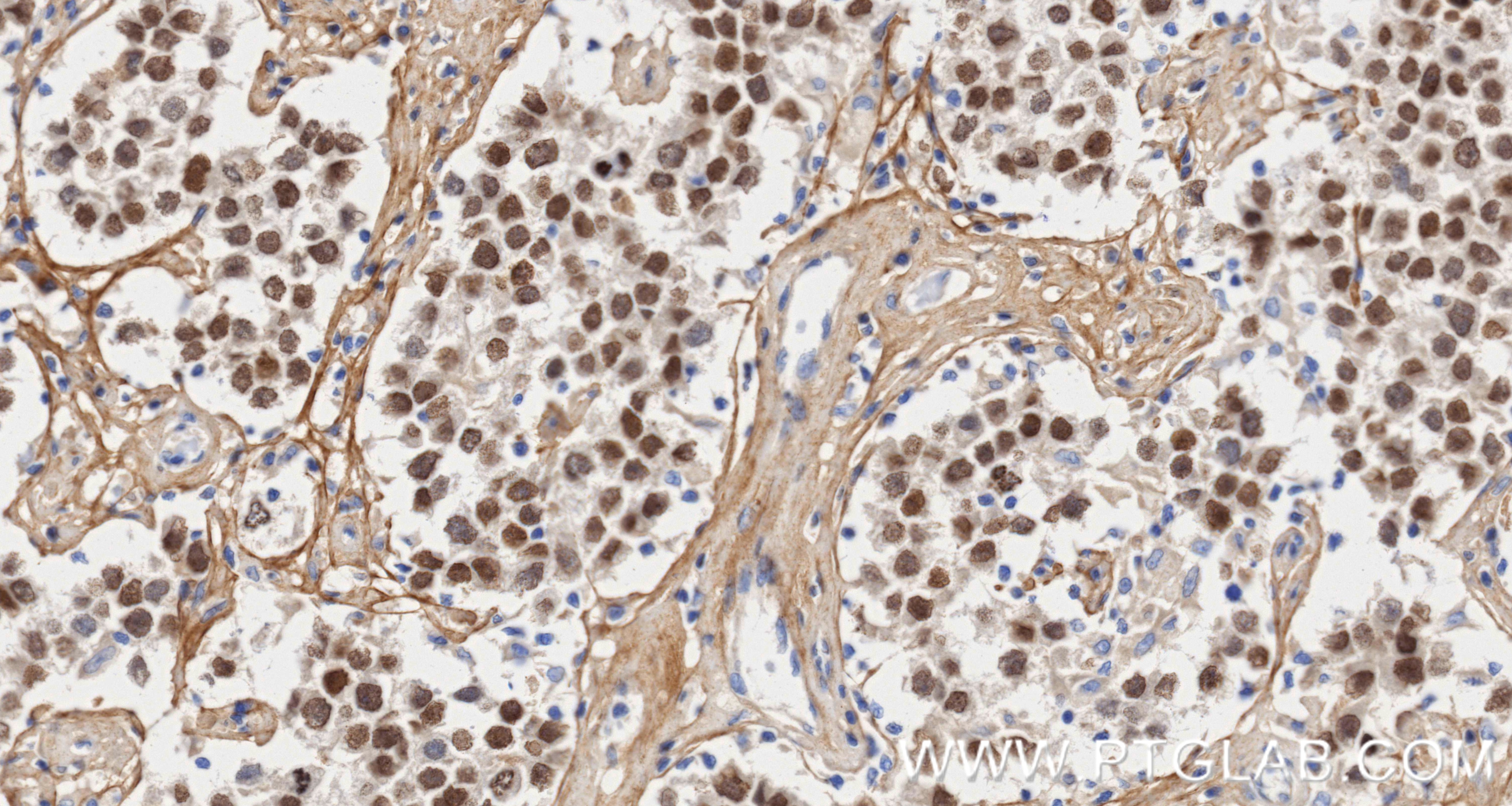
83039-4-PBS targets SALL4 in IHC, IF/ICC, Indirect ELISA applications and shows reactivity with human samples.
| Tested Reactivity | human |
| Host / Isotype | Rabbit / IgG |
| Class | Recombinant |
| Type | Antibody |
| Immunogen |
CatNo: Ag16076 Product name: Recombinant human SALL4 protein Source: e coli.-derived, PGEX-4T Tag: GST Domain: 1-350 aa of BC111714 Sequence: MSRRKQAKPQHINSEEDQGEQQPQQQTPEFADAAPAAPAAGELGAPVNHPGNDEVASEDEATVKRLRREETHVCEKCCAEFFSISEFLEHKKNCTKNPPVLIMNDSEGPVPSEDFSGAVLSHQPTSPGSKDCHRENGGSSEDMKEKPDAESVVYLKTETALPPTPQDISYLAKGKVANTNVTLQALRGTKVAVNQRSADALPAPVPGANSIPWVLEQILCLQQQQLQQIQLTEQIRIQVNMWASHALHSSGAGADTLKTLGSHMSQQVSAAVALLSQKAGSQGLSLDALKQAKLPHANIPSATSSLSPGLAPFTLKPDGTRVLPNVMSRLPSALLPQAPGSVLFQSPFST Predict reactive species |
| Full Name | sal-like 4 (Drosophila) |
| Calculated Molecular Weight | 1053 aa, 112 kDa |
| GenBank Accession Number | BC111714 |
| Gene Symbol | SALL4 |
| Gene ID (NCBI) | 57167 |
| Conjugate | Unconjugated |
| Form | Liquid |
| Purification Method | Protein A purification |
| UNIPROT ID | Q9UJQ4 |
| Storage Buffer | PBS only, pH 7.3. |
| Storage Conditions | Store at -80°C. |
Background Information
SALL4, also named Sal-like protein 4 or Zinc finger protein 797, Contains 7 C2H2-type zinc fingers and belongs to the sal C2H2-type zinc-finger protein family. SALL4 is constitutively expressed in acute myeloid leukemia. The constitutive expression of SALL4 in mice is sufficient to induce MDS-like symptoms and transformation to AML that is transplantable. SALL4 is able to bind beta-catenin and activate the Wnt/beta-catenin signaling pathway. Sequence analysis of the larger cDNA fragment isolated revealed a single, large open-reading frame, designated as SALL4A, that started from a strong consensus initiation sequence and was expected to encode 1053 amino acids. The other splicing variant of SALL4, designated SALL4B, lacked the region corresponding to amino acids 385 to 820 of the full-length SALL4A. The putative protein encoded by SALL4B cDNA was expected to consist of 617 amino acids.









