Tested Applications
| Positive WB detected in | HEK-293 cells, HepG2 cells, U2OS cells, A431 cells, HeLa cells, MCF-7 cells, K-562 cells |
| Positive IP detected in | HEK-293 cells |
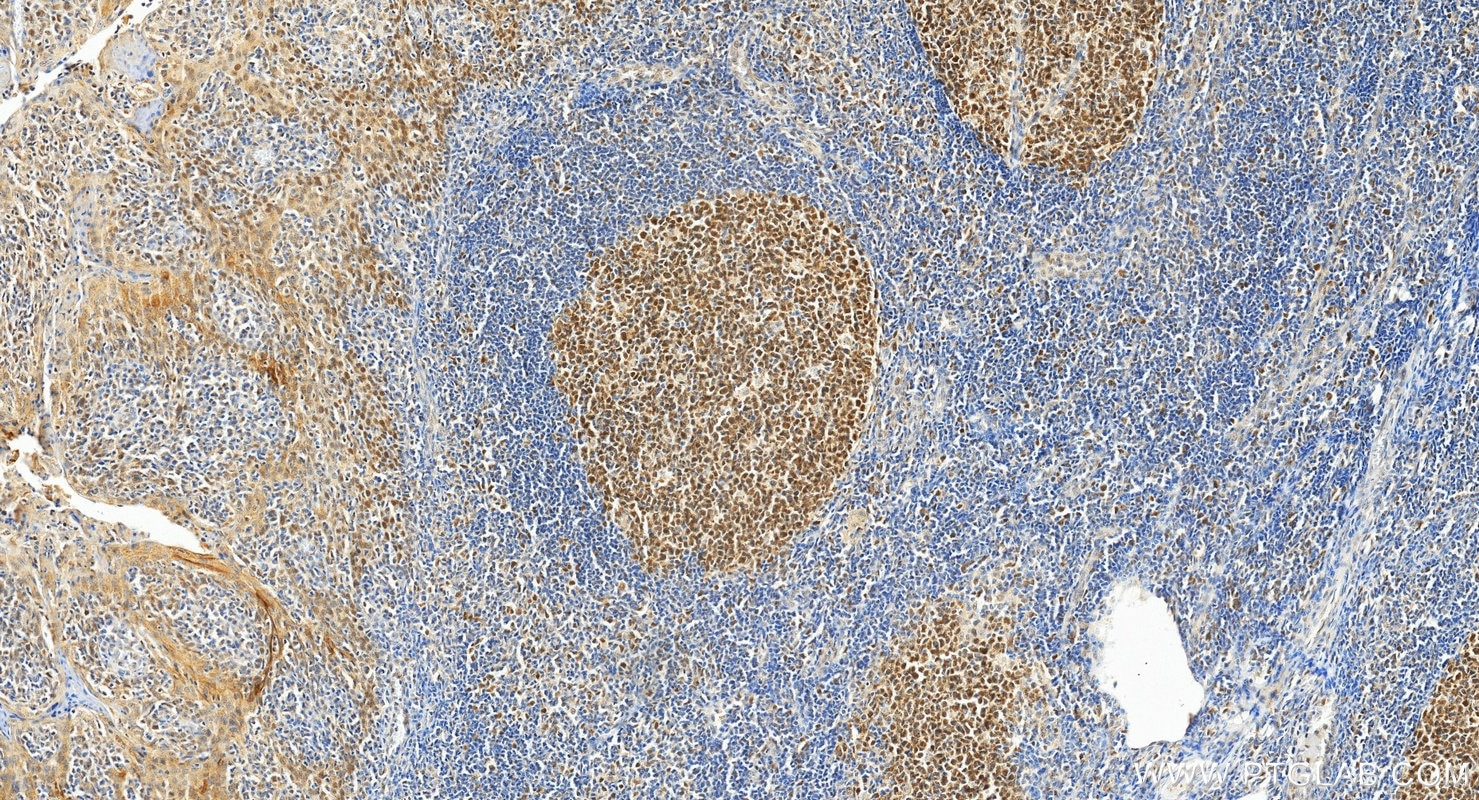
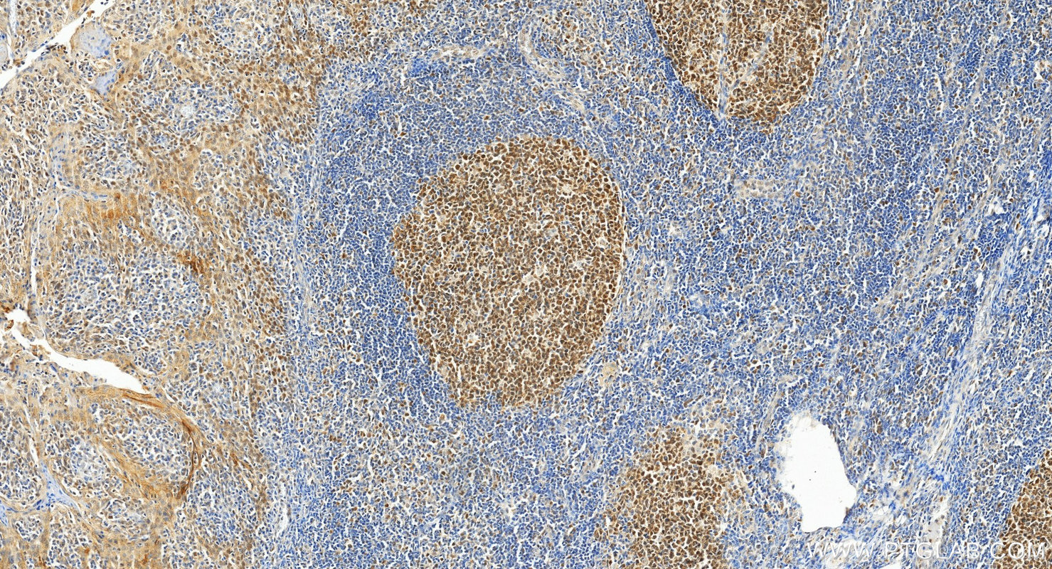
| Positive IHC detected in | human colon cancer tissue, human tonsillitis tissue, Ramos cells Note: suggested antigen retrieval with TE buffer pH 9.0; (*) Alternatively, antigen retrieval may be performed with citrate buffer pH 6.0 |
| Positive IF/ICC detected in | U2OS cells |
| Positive FC (Intra) detected in | HEK-293 cells |
Recommended dilution
| Application | Dilution |
|---|---|
| Western Blot (WB) | WB : 1:500-1:2000 |
| Immunoprecipitation (IP) | IP : 0.5-4.0 ug for 1.0-3.0 mg of total protein lysate |
| Immunohistochemistry (IHC) | IHC : 1:500-1:2000 |
| Immunofluorescence (IF)/ICC | IF/ICC : 1:500-1:2000 |
| Flow Cytometry (FC) (INTRA) | FC (INTRA) : 0.40 ug per 10^6 cells in a 100 µl suspension |
| It is recommended that this reagent should be titrated in each testing system to obtain optimal results. | |
| Sample-dependent, Check data in validation data gallery. | |
Published Applications
| WB | See 3 publications below |
| IHC | See 8 publications below |
Product Information
66172-1-Ig targets MSH6 in WB, IHC, IF/ICC, FC (Intra), IP, ELISA applications and shows reactivity with human, mouse samples.
| Tested Reactivity | human, mouse |
| Cited Reactivity | human, mouse |
| Host / Isotype | Mouse / IgG2a |
| Class | Monoclonal |
| Type | Antibody |
| Immunogen |
CatNo: Ag12645 Product name: Recombinant human MSH6 protein Source: e coli.-derived, PET28a Tag: 6*His Domain: 1-400 aa of BC004246 Sequence: MSRQSTLYSFFPKSPALSDANKASARASREGGRAAAAPGASPSPGGDAAWSEAGPGPRPLARSASPPKAKNLNGGLRRSVAPAAPTSCDFSPGDLVWAKMEGYPWWPCLVYNHPFDGTFIREKGKSVRVHVQFFDDSPTRGWVSKRLLKPYTGSKSKEAQKGGHFYSAKPEILRAMQRADEALNKDKIKRLELAVCDEPSEPEEEEEMEVGTTYVTDKSEEDNEIESEEEVQPKTQGSRRSSRQIKKRRVISDSESDIGGSDVEFKPDTKEEGSSDEISSGVGDSESEGLNSPVKVARKRKRMVTGNGSLKRKSSRKETPSATKQATSISSETKNTLRAFSAPQNSESQAHVSGGGDDSSRPTVWYHETLEWLKEEKRRDEHRRRPDHPDFDASTLYVPE Predict reactive species |
| Full Name | mutS homolog 6 (E. coli) |
| Calculated Molecular Weight | 153 kDa |
| Observed Molecular Weight | 160 kDa |
| GenBank Accession Number | BC004246 |
| Gene Symbol | MSH6 |
| Gene ID (NCBI) | 2956 |
| RRID | AB_2881567 |
| Conjugate | Unconjugated |
| Form | Liquid |
| Purification Method | Protein A purification |
| UNIPROT ID | P52701 |
| Storage Buffer | PBS with 0.02% sodium azide and 50% glycerol, pH 7.3. |
| Storage Conditions | Store at -20°C. Stable for one year after shipment. Aliquoting is unnecessary for -20oC storage. 20ul sizes contain 0.1% BSA. |
Background Information
MSH6, also named as DNA mismatch repair protein Msh6 or GTMBP, is a 1360 amino acid protein, which contains one PWWP domain and belongs to the DNA mismatch repair MutS family. MSH6 localizes in the nucleus and is a component of the post-replicative DNA mismatch repair system. Msh2 and Msh6 form a protein complex required to repair mismatches generated during DNA replication.
Protocols
| Product Specific Protocols | |
|---|---|
| FC protocol for MSH6 antibody 66172-1-Ig | Download protocol |
| IF protocol for MSH6 antibody 66172-1-Ig | Download protocol |
| IHC protocol for MSH6 antibody 66172-1-Ig | Download protocol |
| IP protocol for MSH6 antibody 66172-1-Ig | Download protocol |
| WB protocol for MSH6 antibody 66172-1-Ig | Download protocol |
| Standard Protocols | |
|---|---|
| Click here to view our Standard Protocols |
Publications
| Species | Application | Title |
|---|---|---|
Cell Metab Nicotinamide metabolism face-off between macrophages and fibroblasts manipulates the microenvironment in gastric cancer | ||
Cancer Lett Inhibition of KIF20A enhances the immunotherapeutic effect of hepatocellular carcinoma by enhancing c-Myc ubiquitination | ||
Cancer Immunol Res Remodeling Chondroitin-6-Sulfate-Mediated Immune Exclusion Enhances Anti-PD-1 Response in Colorectal Cancer with Microsatellite Stability. | ||
J Med Chem CJ2: A Novel Potent Platinum(IV) Prodrug Enhances Chemo-Immunotherapy by Facilitating PD-L1 Degradation in the Cytoplasm and Cytomembrane | ||
Respir Res TMPRSS2 is a tumor suppressor and its downregulation promotes antitumor immunity and immunotherapy response in lung adenocarcinoma | ||































