Tested Applications
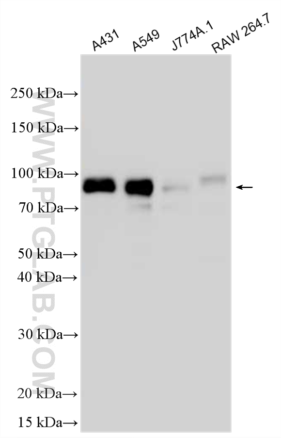
| Positive WB detected in | A431 cells, A549 cells, J774A.1 cells, RAW 264.7 cells |
| Positive IP detected in | A431 cells |
Recommended dilution
| Application | Dilution |
|---|---|
| Western Blot (WB) | WB : 1:1000-1:4000 |
| Immunoprecipitation (IP) | IP : 0.5-4.0 ug for 1.0-3.0 mg of total protein lysate |
| It is recommended that this reagent should be titrated in each testing system to obtain optimal results. | |
| Sample-dependent, Check data in validation data gallery. | |
Product Information
26468-1-AP targets ERF in WB, IP, ELISA applications and shows reactivity with human, mouse samples.
| Tested Reactivity | human, mouse |
| Host / Isotype | Rabbit / IgG |
| Class | Polyclonal |
| Type | Antibody |
| Immunogen |
CatNo: Ag24189 Product name: Recombinant human ERF protein Source: e coli.-derived, PET28a Tag: 6*His Domain: 138-323 aa of BC022231 Sequence: GGSHFRFPPSTPSEVLSPTEDPRSPPACSSSSSSLFSAVVARRLGRGSVSDCSDGTSELEEPLGEDPRARPPGPPDLGAFRGPPLARLPHDPGVFRVYPRPRGGPEPLSPFPVSPLAGPGSLLPPQLSPALPMTPTHLAYTPSPTLSPMYPSGGGGPSGSGGGSHFSFSPEDMKRYLQAHTQSVYN Predict reactive species |
| Full Name | Ets2 repressor factor |
| Calculated Molecular Weight | 548 aa, 59 kDa |
| Observed Molecular Weight | 90 kDa |
| GenBank Accession Number | BC022231 |
| Gene Symbol | ERF |
| Gene ID (NCBI) | 2077 |
| RRID | AB_3669537 |
| Conjugate | Unconjugated |
| Form | Liquid |
| Purification Method | Antigen affinity purification |
| UNIPROT ID | P50548 |
| Storage Buffer | PBS with 0.02% sodium azide and 50% glycerol, pH 7.3. |
| Storage Conditions | Store at -20°C. Stable for one year after shipment. Aliquoting is unnecessary for -20oC storage. 20ul sizes contain 0.1% BSA. |
Background Information
ERF (Ets2 repressor factor) is also named as PE-2. Erf is a gene for a ubiquitously expressed Ets DNA-binding domain-containing transcriptional repressor regulated by Erk-dependent phosphorylation (PMID: 28694332, PMID: 35258130). Erf is involved in T cell maturation, acting as a positive regulator during CD4 and eventually CD8 lineage commitment, while negatively regulates the production of γδ T cells (PMID: 35258130). Erf is required for both primitive and erythromyeloid progenitor waves of hematopoietic stem cell (HSC)-independent hematopoiesis as well as for the normal function of HSCs (PMID: 28694332). ETS2 repressor factor (ERF) insufficiency causes craniosynostosis (CRS4) in humans and mice. ERF is an ETS domain transcriptional repressor regulated by Erk1/2 phosphorylation via nucleo-cytoplasmic shuttling (PMID: 37175668).
Protocols
| Product Specific Protocols | |
|---|---|
| IP protocol for ERF antibody 26468-1-AP | Download protocol |
| WB protocol for ERF antibody 26468-1-AP | Download protocol |
| Standard Protocols | |
|---|---|
| Click here to view our Standard Protocols |



