Tested Applications
| Positive WB detected in | A431 cells, DU 145 cells, mouse testis tissue, HCT 116 cells, MCF-7 cells, T-47D cells |
| Positive IP detected in | A431 cells |
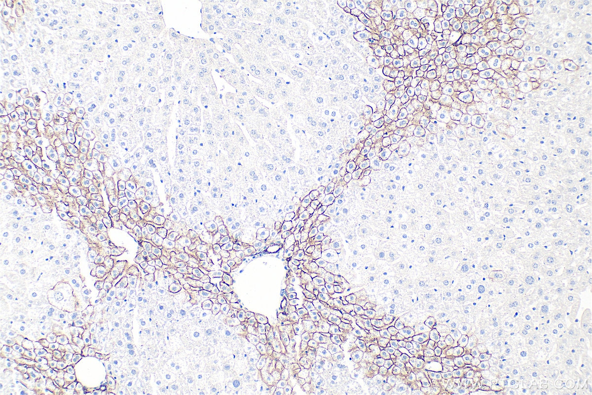
| Positive IHC detected in | mouse colon tissue, human breast cancer tissue, human colon tissue, human prostate cancer tissue, mouse liver tissue, mouse skin tissue, rat colon tissue, rat stomach tissue Note: suggested antigen retrieval with TE buffer pH 9.0; (*) Alternatively, antigen retrieval may be performed with citrate buffer pH 6.0 |
| Positive IF-P detected in | mouse colon tissue, human breast cancer tissue, mouse small intestine tissue, mouse pancreas tissue |
| Positive IF-Fro detected in | mouse colon tissue, mouse breast cancer |
| Positive IF/ICC detected in | MCF-7 cells, A431 cells |
Some bands between 80 and 120 kDa may be observed due to proteolytic cleavage.
Recommended dilution
| Application | Dilution |
|---|---|
| Western Blot (WB) | WB : 1:20000-1:200000 |
| Immunoprecipitation (IP) | IP : 0.5-4.0 ug for 1.0-3.0 mg of total protein lysate |
| Immunohistochemistry (IHC) | IHC : 1:5000-1:20000 |
| Immunofluorescence (IF)-P | IF-P : 1:200-1:800 |
| Immunofluorescence (IF)-FRO | IF-FRO : 1:50-1:500 |
| Immunofluorescence (IF)/ICC | IF/ICC : 1:200-1:800 |
| It is recommended that this reagent should be titrated in each testing system to obtain optimal results. | |
| Sample-dependent, Check data in validation data gallery. | |
Published Applications
| KD/KO | See 3 publications below |
| WB | See 2230 publications below |
| IHC | See 415 publications below |
| IF | See 472 publications below |
| IP | See 1 publications below |
| CoIP | See 7 publications below |
Product Information
20874-1-AP targets E-cadherin in WB, IHC, IF/ICC, IF-P, IF-Fro, IP, CoIP, ELISA applications and shows reactivity with human, mouse, rat samples.
| Tested Reactivity | human, mouse, rat |
| Cited Reactivity | human, mouse, rat, pig, canine, zebrafish, bovine |
| Host / Isotype | Rabbit / IgG |
| Class | Polyclonal |
| Type | Antibody |
| Immunogen |
CatNo: Ag14973 Product name: Recombinant human E-cadherin protein Source: e coli.-derived, PGEX-4T Tag: GST Domain: 373-622 aa of BC141838 Sequence: PIFNPTTYKGQVPENEANVVITTLKVTDADAPNTPAWEAVYTILNDDGGQFVVTTNPVNNDGILKTAKGLDFEAKQQYILHVAVTNVVPFEVSLTTSTATVTVDVLDVNEAPIFVPPEKRVEVSEDFGVGQEITSYTAQEPDTFMEQKITYRIWRDTANWLEINPDTGAISTRAELDREDFEHVKNSTYTALIIATDNGSPVATGTGTLLLILSDVNDNAPIPEPRTIFFCERNPKPQVINIIDADLPPI Predict reactive species |
| Full Name | cadherin 1, type 1, E-cadherin (epithelial) |
| Calculated Molecular Weight | 882 aa, 97 kDa |
| Observed Molecular Weight | 120-125 kDa |
| GenBank Accession Number | BC141838 |
| Gene Symbol | E-cadherin |
| Gene ID (NCBI) | 999 |
| RRID | AB_10697811 |
| Conjugate | Unconjugated |
| Form | Liquid |
| Purification Method | Antigen affinity purification |
| UNIPROT ID | P12830 |
| Storage Buffer | PBS with 0.02% sodium azide and 50% glycerol, pH 7.3. |
| Storage Conditions | Store at -20°C. Stable for one year after shipment. Aliquoting is unnecessary for -20oC storage. 20ul sizes contain 0.1% BSA. |
Background Information
Cadherins are a family of transmembrane glycoproteins that mediate calcium-dependent cell-cell adhesion and play an important role in the maintenance of normal tissue architecture. E-cadherin (epithelial cadherin), also known as CDH1 (cadherin 1) or CAM 120/80, is a classical member of the cadherin superfamily which also include N-, P-, R-, and B-cadherins. E-cadherin is expressed on the cell surface in most epithelial tissues. The extracellular region of E-cadherin establishes calcium-dependent homophilic trans binding, providing specific interaction with adjacent cells, while the cytoplasmic domain is connected to the actin cytoskeleton through the interaction with p120-, α-, β-, and γ-catenin (plakoglobin). E-cadherin is important in the maintenance of the epithelial integrity, and is involved in mechanisms regulating proliferation, differentiation, and survival of epithelial cell. E-cadherin may also play a role in tumorigenesis. It is considered to be an invasion suppressor protein and its loss is an indicator of high tumor aggressiveness. E-cadherin is sensitive to trypsin digestion in the absence of Ca2+. This polyclonal antibody recognizes 120-125 kDa intact E-cadherin and its cleaved fragments of 80-120 kDa.
Protocols
| Product Specific Protocols | |
|---|---|
| IF protocol for E-cadherin antibody 20874-1-AP | Download protocol |
| IHC protocol for E-cadherin antibody 20874-1-AP | Download protocol |
| IP protocol for E-cadherin antibody 20874-1-AP | Download protocol |
| WB protocol for E-cadherin antibody 20874-1-AP | Download protocol |
| Standard Protocols | |
|---|---|
| Click here to view our Standard Protocols |
Publications
| Species | Application | Title |
|---|---|---|
Science Reversible reprogramming of cardiomyocytes to a fetal state drives heart regeneration in mice. | ||
Mol Cancer lncRNA ZNRD1-AS1 promotes malignant lung cell proliferation, migration, and angiogenesis via the miR-942/TNS1 axis and is positively regulated by the m6A reader YTHDC2 | ||
Adv Mater Supramolecular Hydrogel with Ultra-Rapid Cell-Mediated Network Adaptation for Enhancing Cellular Metabolic Energetics and Tissue Regeneration | ||
Adv Mater Glycated ECM Derived Carbon Dots Inhibit Tumor Vasculogenic Mimicry by Disrupting RAGE Nuclear Translocation and Its Interaction With HMGB1 | ||
Nat Aging Single-cell and spatial RNA sequencing identify divergent microenvironments and progression signatures in early- versus late-onset prostate cancer | ||
Reviews
The reviews below have been submitted by verified Proteintech customers who received an incentive for providing their feedback.
FH P (Verified Customer) (03-22-2026) | Works for cells and mouse tissue
|
FH Sai Sindhura (Verified Customer) (12-22-2025) | E-cadherin is working well.
|
FH ray (Verified Customer) (12-11-2025) | Reliable polyclonal anti-E-cadherin antibody with strong performance in Western blot, IF/ICC, IHC, and more, delivering clear, specific detection across human, mouse, and rat samples. Widely cited in publications and dependable for adhesion-related studies.
|
FH Dhanwini (Verified Customer) (09-24-2025) | GOOD
|
FH Robert (Verified Customer) (09-24-2025) | Works as intended!
|
FH Sneha (Verified Customer) (09-24-2025) | GOOD
|
FH Zeeshan (Verified Customer) (09-18-2025) | Work great
|
FH Michael (Verified Customer) (09-18-2025) | Works perfectly for western blots
|
FH Henry (Verified Customer) (09-12-2025) | Excellent product Perfect bands
|
FH Jimmy (Verified Customer) (05-20-2025) | Great results for western blot application
|
FH Davide (Verified Customer) (11-22-2022) | The antibody works optimally at 1:100. By the strenght of the signal it could probably also work at 1:50. Optimal product. E-CAD in red in the picture (abundant background signal due to non optimal blocking)
![]() |
FH Sophie (Verified Customer) (02-07-2022) | Highly efficient staining when used at 1/1000 overnight for IF on paraffin embedded tissues
|
FH Kishor (Verified Customer) (01-30-2019) | This antibody working very good for human cancer cells in western blotting (1:1000)
|
FH Martin (Verified Customer) (12-13-2017) |
|






































































