Tested Applications
| Positive WB detected in | A375 cells, HepG2 cells, HT-1080 cells |
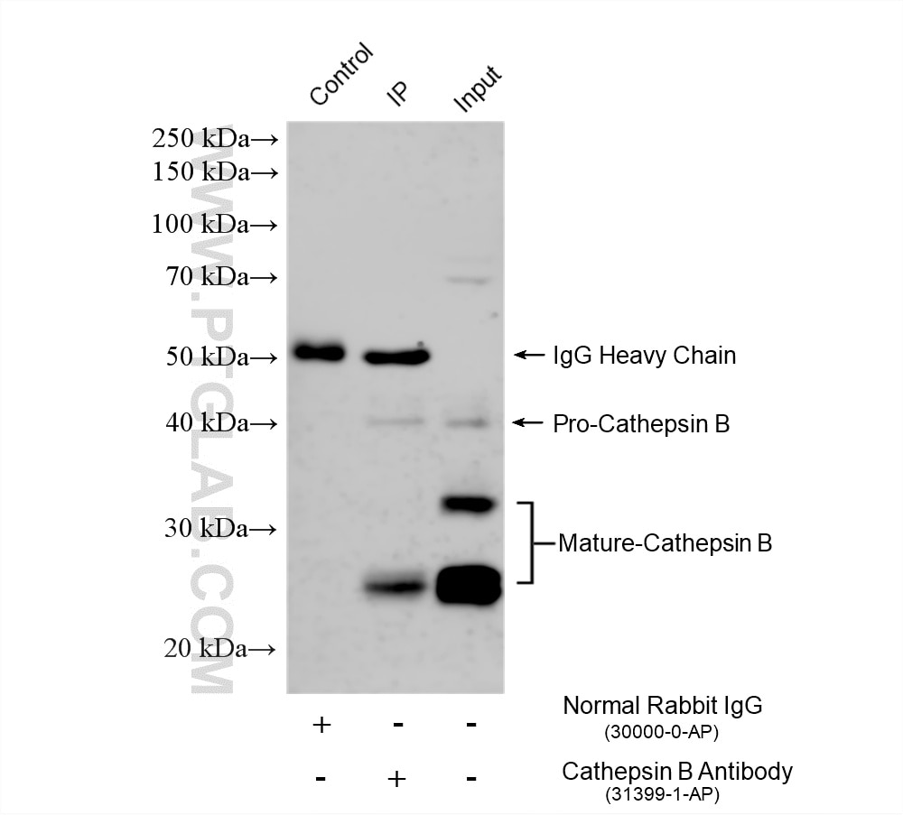
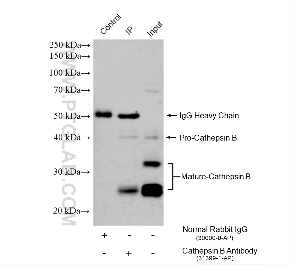
| Positive IP detected in | HepG2 cells |
| Positive IHC detected in | human ovary tumor tissue, human breast cancer tissue Note: suggested antigen retrieval with TE buffer pH 9.0; (*) Alternatively, antigen retrieval may be performed with citrate buffer pH 6.0 |
| Positive IF/ICC detected in | A375 cells |
| Positive FC (Intra) detected in | MCF-7 cells |
Recommended dilution
| Application | Dilution |
|---|---|
| Western Blot (WB) | WB : 1:1000-1:4000 |
| Immunoprecipitation (IP) | IP : 0.5-4.0 ug for 1.0-3.0 mg of total protein lysate |
| Immunohistochemistry (IHC) | IHC : 1:50-1:500 |
| Immunofluorescence (IF)/ICC | IF/ICC : 1:200-1:800 |
| Flow Cytometry (FC) (INTRA) | FC (INTRA) : 0.20 ug per 10^6 cells in a 100 µl suspension |
| It is recommended that this reagent should be titrated in each testing system to obtain optimal results. | |
| Sample-dependent, Check data in validation data gallery. | |
Published Applications
| KD/KO | See 1 publications below |
| WB | See 73 publications below |
| IHC | See 9 publications below |
| IF | See 22 publications below |
Product Information
12216-1-AP targets Cathepsin B in WB, IHC, IF/ICC, FC (Intra), IP, ELISA applications and shows reactivity with human samples.
| Tested Reactivity | human |
| Cited Reactivity | human, mouse, rat, pig, zebrafish, bovine, frog |
| Host / Isotype | Rabbit / IgG |
| Class | Polyclonal |
| Type | Antibody |
| Immunogen |
CatNo: Ag2898 Product name: Recombinant human Cathepsin B protein Source: e coli.-derived, PGEX-4T Tag: GST Domain: 1-339 aa of BC010240 Sequence: MWQLWASLCCLLVLANARSRPSFHPVSDELVNYVNKRNTTWQAGHNFYNVDMGYLKRLCGTFLGGPKPPQRVMFTEDLKLPASFDAREQWPQCPTIKEIRDQGSCGSCWAFGAVEAISDRICIHTNAHVSVEVSAEDLLTCCGSMCGDGCNGGYPAEAWNFWTRKGLVSGGLYESHVGCRPYSIPPCEHHVNGSRPPCTGEGDTPKCSKICEPGYSPTYKQDKHYGYNSYSVSNSEKDIMAEIYKNGPVEGAFSVYSDFLLYKSGVYQHVTGEMMGGHAIRILGWGVENGTPYWLVANSWNTDWGDNGFFKILRGQDHCGIESEVVAGIPRTDQYWEKI Predict reactive species |
| Full Name | cathepsin B |
| Calculated Molecular Weight | 339 aa, 38 kDa |
| Observed Molecular Weight | 25 kDa, 31 kDa, 43 kDa |
| GenBank Accession Number | BC010240 |
| Gene Symbol | Cathepsin B |
| Gene ID (NCBI) | 1508 |
| RRID | AB_2086929 |
| Conjugate | Unconjugated |
| Form | Liquid |
| Purification Method | Antigen affinity purification |
| UNIPROT ID | P07858 |
| Storage Buffer | PBS with 0.02% sodium azide and 50% glycerol, pH 7.3. |
| Storage Conditions | Store at -20°C. Stable for one year after shipment. Aliquoting is unnecessary for -20oC storage. 20ul sizes contain 0.1% BSA. |
Background Information
CTSB(Cathepsin B) is also named as CPSB and belongs to the peptidase C1 family. It participates in intracellular degradation and turnover of proteins. Cathepsin B precursors found in human malignant ascites fluid do not possess mannose-rich carbohydrates suggesting that a defect in the post translational processing of carbohydrate moieties on tumor. Cathepsin B exists as both glycosylated and unglycosylated forms(PMID:1637335). In rat macrophages and hepatocytes pro- cathepsin B is 39 kDa (unglycosylated =35 kDa), whereas in human fibroblasts procathepsin B is 44.5-46kDa (unglycosylated=39kDa)(PMID:2097084). It can be detected the 43 kDa form of pro-CTSB, 31 kDa and 25 kDa mature forms in mouse brain by western blot(PMID:20616152).
Protocols
| Product Specific Protocols | |
|---|---|
| FC protocol for Cathepsin B antibody 12216-1-AP | Download protocol |
| IF protocol for Cathepsin B antibody 12216-1-AP | Download protocol |
| IHC protocol for Cathepsin B antibody 12216-1-AP | Download protocol |
| IP protocol for Cathepsin B antibody 12216-1-AP | Download protocol |
| WB protocol for Cathepsin B antibody 12216-1-AP | Download protocol |
| Standard Protocols | |
|---|---|
| Click here to view our Standard Protocols |
Publications
| Species | Application | Title |
|---|---|---|
Cell Death Differ NLRX1 mediated impaired microglial phagocytosis of NETs in cerebral ischemia and reperfusion injury | ||
Autophagy Atractylenolide I inhibits angiogenesis and reverses sunitinib resistance in clear cell renal cell carcinoma through ATP6V0D2-mediated autophagic degradation of EPAS1/HIF2α | ||
Cell Death Differ Lysine methylation of PPP1CA by the methyltransferase SUV39H2 disrupts TFEB-dependent autophagy and promotes intervertebral disc degeneration | ||
Aging Cell Growth differentiation factor 11 accelerates liver senescence through the inhibition of autophagy | ||
Redox Biol Inhibition of STAT3-ferroptosis negative regulatory axis suppresses tumor growth and alleviates chemoresistance in gastric cancer. |
Reviews
The reviews below have been submitted by verified Proteintech customers who received an incentive for providing their feedback.
FH Weihao (Verified Customer) (02-03-2022) | Works well for mouse BMDM and human macrophages, recommend it
|















