Tested Applications
| Positive WB detected in | Raji cells, HL-60 cells, human brain tissue, HeLa cells |
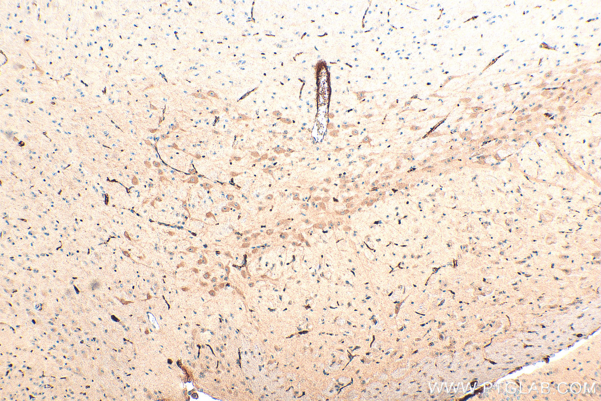
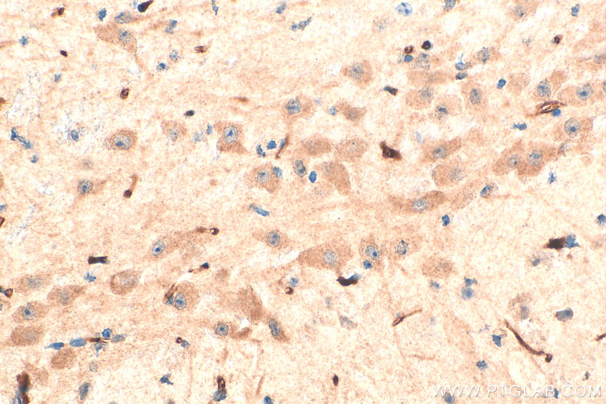
| Positive IHC detected in | mouse brain tissue, human breast cancer tissue Note: suggested antigen retrieval with TE buffer pH 9.0; (*) Alternatively, antigen retrieval may be performed with citrate buffer pH 6.0 |
| Positive IF-P detected in | mouse brain tissue |
Recommended dilution
| Application | Dilution |
|---|---|
| Western Blot (WB) | WB : 1:500-1:1000 |
| Immunohistochemistry (IHC) | IHC : 1:1000-1:4000 |
| Immunofluorescence (IF)-P | IF-P : 1:50-1:500 |
| It is recommended that this reagent should be titrated in each testing system to obtain optimal results. | |
| Sample-dependent, Check data in validation data gallery. | |
Published Applications
| KD/KO | See 3 publications below |
| WB | See 67 publications below |
| IHC | See 12 publications below |
| IF | See 17 publications below |
| IP | See 3 publications below |
| CoIP | See 1 publications below |
Product Information
21574-1-AP targets TNFR1/CD120a in WB, IHC, IF-P, IP, CoIP, ELISA applications and shows reactivity with human, mouse samples.
| Tested Reactivity | human, mouse |
| Cited Reactivity | human, mouse, rat, pig |
| Host / Isotype | Rabbit / IgG |
| Class | Polyclonal |
| Type | Antibody |
| Immunogen |
CatNo: Ag16112 Product name: Recombinant human TNFR1 protein Source: e coli.-derived, PGEX-4T Tag: GST Domain: 235-455 aa of BC010140 Sequence: RYQRWKSKLYSIVCGKSTPEKEGELEGTTTKPLAPNPSFSPTPGFTPTLGFSPVPSSTFTSSSTYTPGDCPNFAAPRREVAPPYQGADPILATALASDPIPNPLQKWEDSAHKPQSLDTDDPATLYAVVENVPPLRWKEFVRRLGLSDHEIDRLELQNGRCLREAQYSMLATWRRRTPRREATLELLGRVLRDMDLLGCLEDIEEALCGPAALPPAPSLLR Predict reactive species |
| Full Name | tumor necrosis factor receptor superfamily, member 1A |
| Calculated Molecular Weight | 455 aa, 50 kDa |
| Observed Molecular Weight | 50 kDa |
| GenBank Accession Number | BC010140 |
| Gene Symbol | TNFR1 |
| Gene ID (NCBI) | 7132 |
| RRID | AB_10734433 |
| Conjugate | Unconjugated |
| Form | Liquid |
| Purification Method | Antigen affinity purification |
| UNIPROT ID | P19438 |
| Storage Buffer | PBS with 0.02% sodium azide and 50% glycerol, pH 7.3. |
| Storage Conditions | Store at -20°C. Stable for one year after shipment. Aliquoting is unnecessary for -20oC storage. 20ul sizes contain 0.1% BSA. |
Background Information
Tumor necrosis factor (TNF) is a multifunctional cytokine that plays a key role in regulating inflammation, immune functions, host defense, and apoptosis (PMID: 16407280). TNF exists in soluble and membrane-bound forms. TNF signals through two distinct cell surface receptors, TNFR1 (TNFRSF1A, CD120a) and TNFR2 (TNFRSF1B, CD120b). Whereas TNFR1 is widely expressed, expression of TNFR2 is limited to cells of the immune system, endothelial cells, and nerve cells (PMID: 22053109). TNFR1, which contains a death domain (DD) within its intracytoplasmic region, is thought to be the key receptor for TNF signaling (PMID: 16407280). This receptor can activate NF-kappaB, mediate apoptosis, and function as a regulator of inflammation. Antiapoptotic protein BCL2-associated athanogene 4 (BAG4/SODD) and adaptor proteins TRADD and TRAF2 have been shown to interact with this receptor, and thus play regulatory roles in the signal transduction mediated by the receptor.
Protocols
| Product Specific Protocols | |
|---|---|
| IF protocol for TNFR1/CD120a antibody 21574-1-AP | Download protocol |
| IHC protocol for TNFR1/CD120a antibody 21574-1-AP | Download protocol |
| WB protocol for TNFR1/CD120a antibody 21574-1-AP | Download protocol |
| Standard Protocols | |
|---|---|
| Click here to view our Standard Protocols |
Publications
| Species | Application | Title |
|---|---|---|
Cancer Commun (Lond) Targeting autophagy overcomes cancer-intrinsic resistance to CAR-T immunotherapy in B-cell malignancies | ||
Adv Healthc Mater Hyaluronic Acid-based ROS-responsive Multifunctional Injectable Hydrogel Platform Accelerating Diabetic Wound Healing | ||
Aging Dis MiR-29a-3p Improves Acute Lung Injury by Reducing Alveolar Epithelial Cell PANoptosis. | ||
PLoS Biol A unique death pathway keeps RIPK1 D325A mutant mice in check at embryonic day 10.5. | ||
Cancer Lett Up-regulation of OLR1 expression by TBC1D3 through activation of TNFα/NF-κB pathway promotes the migration of human breast cancer cells. |
Reviews
The reviews below have been submitted by verified Proteintech customers who received an incentive for providing their feedback.
FH Xinda (Verified Customer) (08-16-2024) | It gave very nice and specific bands.
|
FH Tinne (Verified Customer) (08-14-2023) | This AB worked quite well - not the strongest signal - might be worth increasing the concentration. I got the best results when I did not permeabilise the cells.
![]() |




















