Tested Applications
| Positive WB detected in | HeLa cells, Raji cells, HepG2 cells |
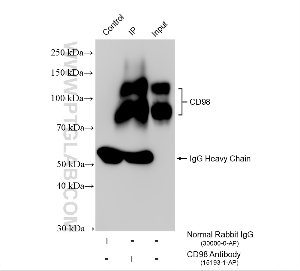
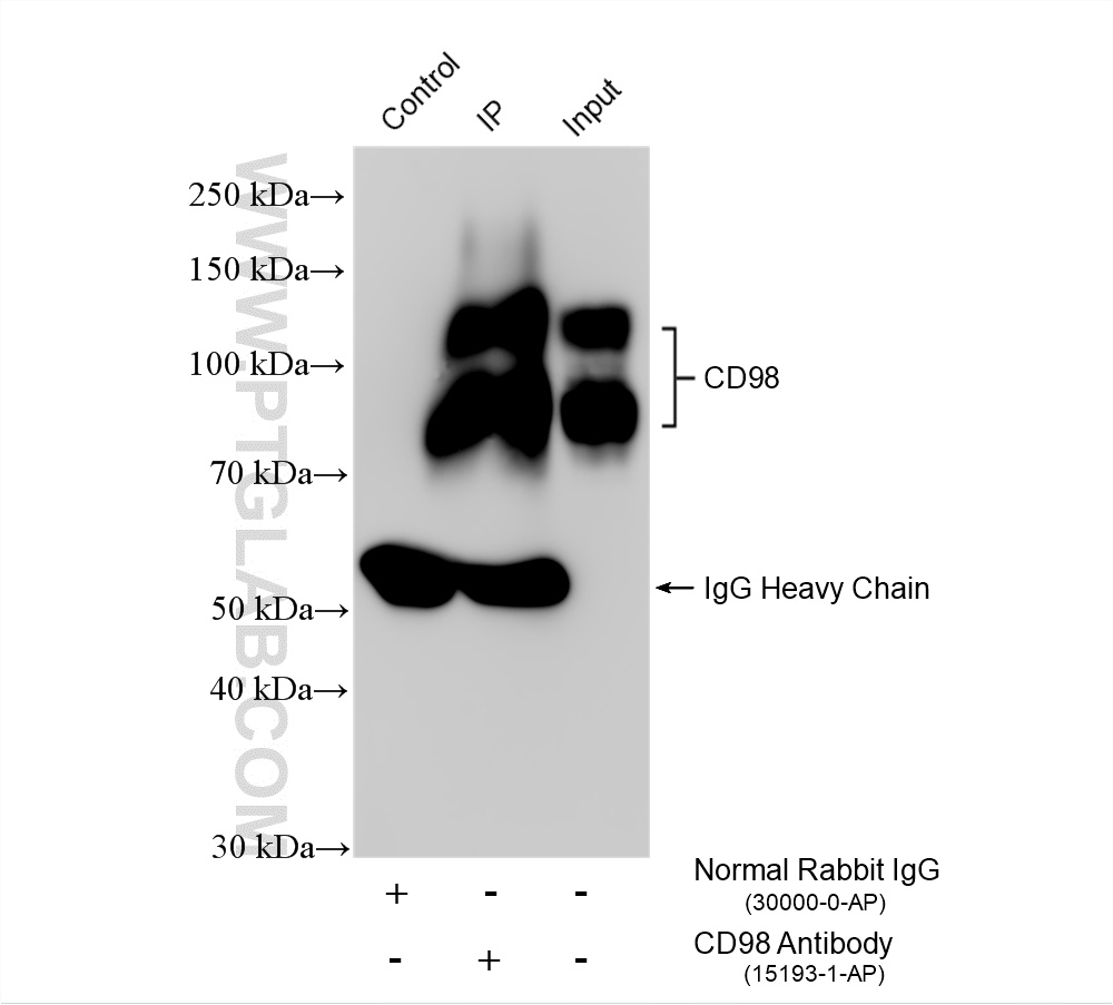
| Positive IP detected in | HeLa cells |
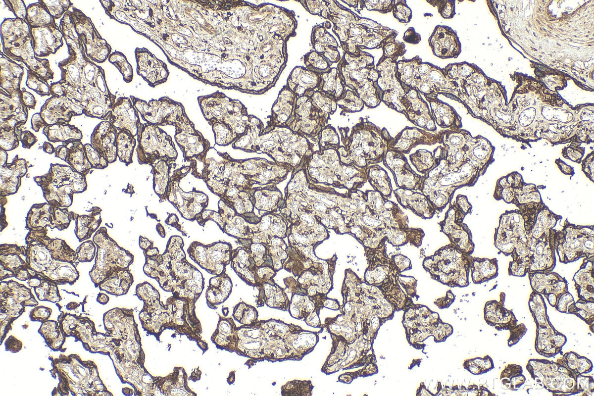
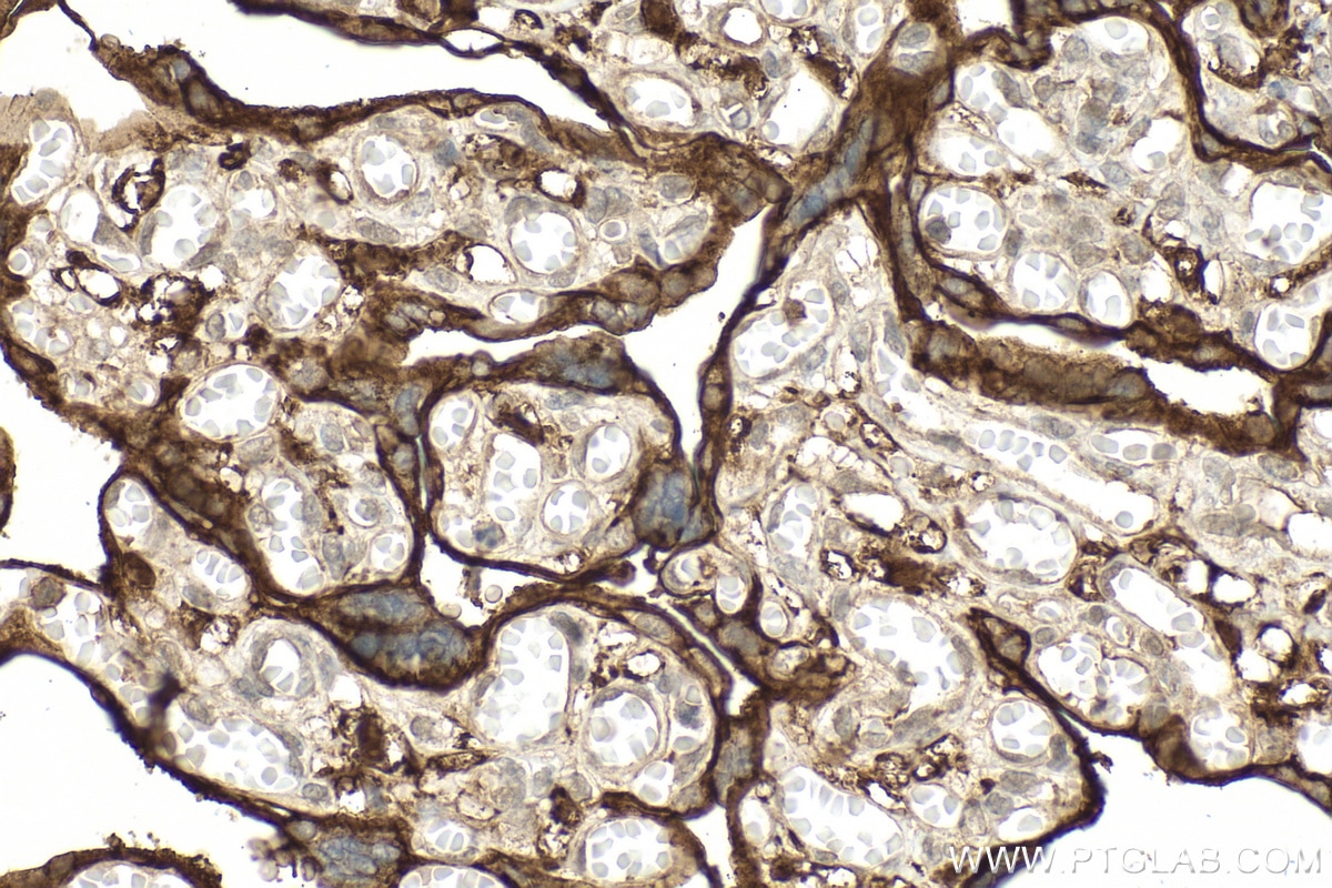
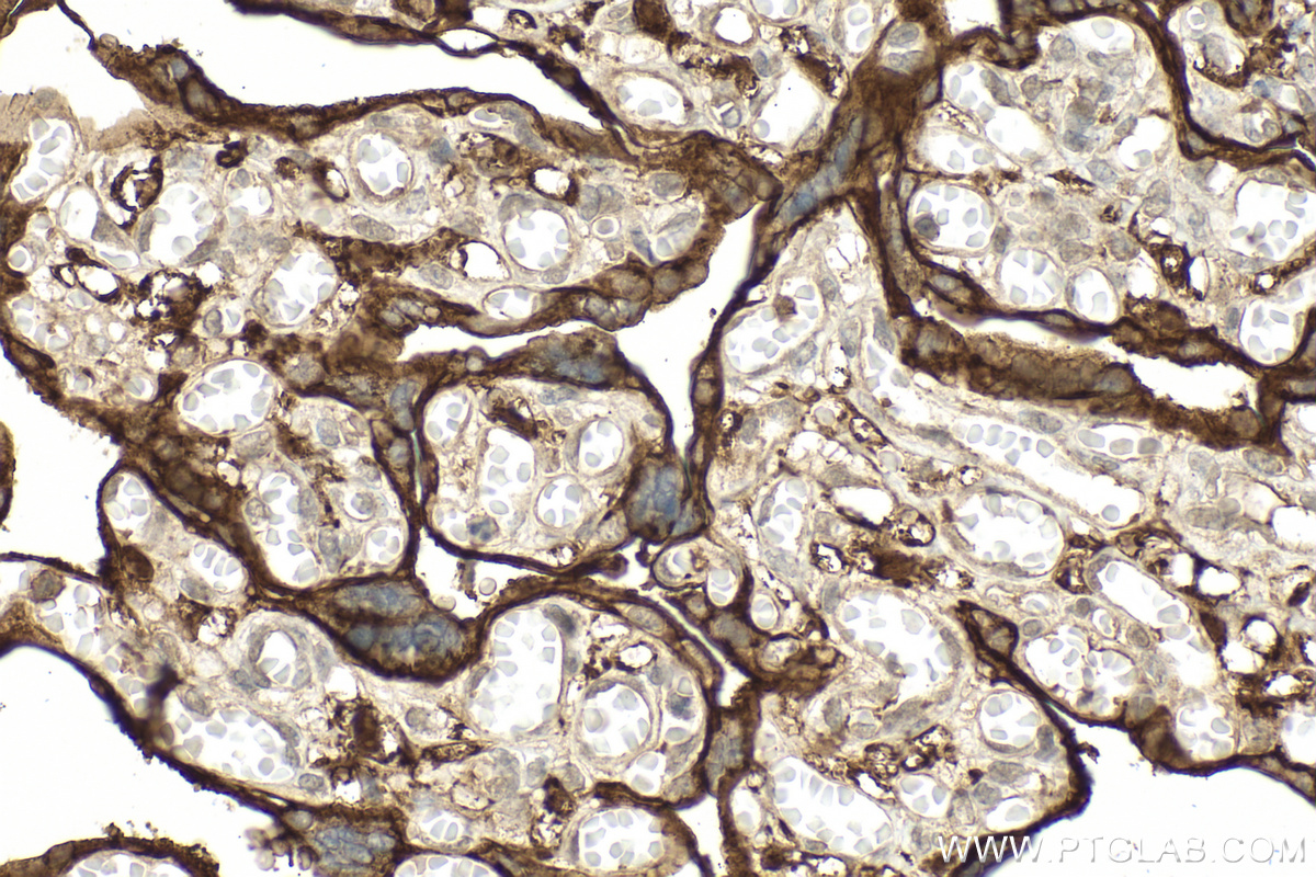
| Positive IHC detected in | human placenta tissue Note: suggested antigen retrieval with TE buffer pH 9.0; (*) Alternatively, antigen retrieval may be performed with citrate buffer pH 6.0 |
| Positive IF/ICC detected in | HepG2 cells |
Recommended dilution
| Application | Dilution |
|---|---|
| Western Blot (WB) | WB : 1:5000-1:50000 |
| Immunoprecipitation (IP) | IP : 0.5-4.0 ug for 1.0-3.0 mg of total protein lysate |
| Immunohistochemistry (IHC) | IHC : 1:200-1:800 |
| Immunofluorescence (IF)/ICC | IF/ICC : 1:200-1:800 |
| It is recommended that this reagent should be titrated in each testing system to obtain optimal results. | |
| Sample-dependent, Check data in validation data gallery. | |
Published Applications
| KD/KO | See 6 publications below |
| WB | See 53 publications below |
| IHC | See 11 publications below |
| IF | See 15 publications below |
| IP | See 2 publications below |
| CoIP | See 1 publications below |
Product Information
15193-1-AP targets CD98/SLC3A2 in WB, IHC, IF/ICC, IP, CoIP, ELISA applications and shows reactivity with human samples.
| Tested Reactivity | human |
| Cited Reactivity | human, bovine, sheep |
| Host / Isotype | Rabbit / IgG |
| Class | Polyclonal |
| Type | Antibody |
| Immunogen |
CatNo: Ag7280 Product name: Recombinant human SLC3A2 protein Source: e coli.-derived, PGEX-4T Tag: GST Domain: 269-630 aa of BC001061 Sequence: KDDVAQTDLLQIDPNFGSKEDFDSLLQSAKKKSIRVILDLTPNYRGENSWFSTQVDTVATKVKDALEFWLQAGVDGFQVRDIENLKDASSFLAEWQNITKGFSEDRLLIAGTNSSDLQQILSLLESNKDLLLTSSYLSDSGSTGEHTKSLVTQYLNATGNRWCSWSLSQARLLTSFLPAQLLRLYQLMLFTLPGTPVFSYGDEIGLDAAALPGQPMEAPVMLWDESSFPDIPGAVSANMTVKGQSEDPGSLLSLFRRLSDQRSKERSLLHGDFHAFSAGPGLFSYIRHWDQNERFLVVLNFGDVGLSAGLQASDLPASASLPAKADLLLSTQPGREEGSPLELERLKLEPHEGLLLRFPYAA Predict reactive species |
| Full Name | solute carrier family 3 (activators of dibasic and neutral amino acid transport), member 2 |
| Calculated Molecular Weight | 68 kDa |
| Observed Molecular Weight | 85-94 kDa, 120-130 kDa |
| GenBank Accession Number | BC001061 |
| Gene Symbol | CD98 |
| Gene ID (NCBI) | 6520 |
| RRID | AB_2254909 |
| Conjugate | Unconjugated |
| Form | Liquid |
| Purification Method | Antigen affinity purification |
| UNIPROT ID | P08195 |
| Storage Buffer | PBS with 0.02% sodium azide and 50% glycerol, pH 7.3. |
| Storage Conditions | Store at -20°C. Stable for one year after shipment. Aliquoting is unnecessary for -20oC storage. 20ul sizes contain 0.1% BSA. |
Background Information
CD98 is a cell-surface heterodimer consisting of a heavy chain (CD98hc) and a light chain. CD98hc also interacts with certain integrin b-subunits to regulate cell migration, survival, proliferation, and adhesion/polarity. CD98hc is overexpressed on the cell surface of many cancers and increased CD98hc expression is associated with the development and progression of tumors.(PMID:25084765). This protein has 4 isoforms with the molecular mass of 58-71 kDa and can be detected 85-94 kDa due to glycosylation. The glycosylated CD98hc can links to a non-glycosylated light chain (~40 kDa) via a disulfide bond to form a heterodimeric CD98 antigen with molecular mass of 120-130 kDa (PMID: 14770309).
Protocols
| Product Specific Protocols | |
|---|---|
| IF protocol for CD98/SLC3A2 antibody 15193-1-AP | Download protocol |
| IHC protocol for CD98/SLC3A2 antibody 15193-1-AP | Download protocol |
| IP protocol for CD98/SLC3A2 antibody 15193-1-AP | Download protocol |
| WB protocol for CD98/SLC3A2 antibody 15193-1-AP | Download protocol |
| Standard Protocols | |
|---|---|
| Click here to view our Standard Protocols |
Publications
| Species | Application | Title |
|---|---|---|
ACS Nano Engineering MMP-2 Activated Nanoparticles Carrying B7-H3 Bispecific Antibodies for Ferroptosis-Enhanced Glioblastoma Immunotherapy | ||
Sci Transl Med Selective targeting of multiple myeloma cells with a monoclonal antibody recognizing the ubiquitous protein CD98 heavy chain. | ||
Nat Commun Kir2.1-mediated membrane potential promotes nutrient acquisition and inflammation through regulation of nutrient transporters. | ||
J Allergy Clin Immunol Mast cell surfaceome characterization reveals CD98hc is critical for optimal cell function. | ||
JACC Basic Transl Sci CircBTBD7-420aa Encoded by hsa_circ_0000563 Regulates the Progression of Atherosclerosis and Construction of circBTBD7-420aa Engineered Exosomes | ||
J Hazard Mater ZnO NPs delay the recovery of psoriasis-like skin lesions through promoting nuclear translocation of p-NFκB p65 and cysteine deficiency in keratinocytes. |











