Tested Applications
| Positive WB detected in | mouse lung tissue, rat lung tissue | 
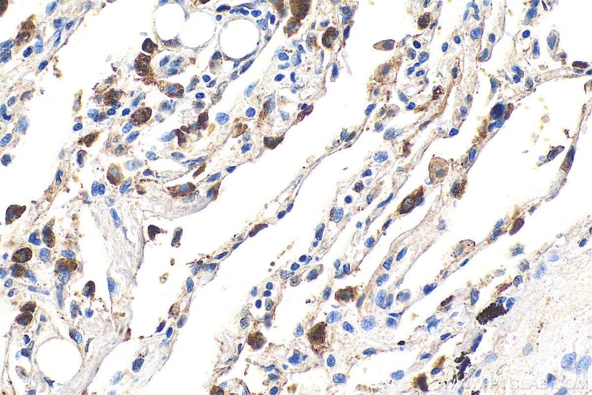
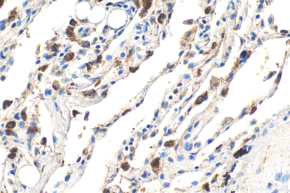
| Positive IHC detected in | human lung tissue Note: suggested antigen retrieval with TE buffer pH 9.0; (*) Alternatively, antigen retrieval may be performed with citrate buffer pH 6.0  | 
| Positive IF-P detected in | mouse lung tissue | 
Recommended dilution
| Application | Dilution | 
|---|---|
| Western Blot (WB) | WB : 1:500-1:2000 | 
| Immunohistochemistry (IHC) | IHC : 1:500-1:2000 | 
| Immunofluorescence (IF)-P | IF-P : 1:50-1:500 | 
| It is recommended that this reagent should be titrated in each testing system to obtain optimal results. | |
| Sample-dependent, Check data in validation data gallery. | |
Published Applications
| WB | See 29 publications below | 
| IHC | See 10 publications below | 
| IF | See 38 publications below | 
Product Information
10774-1-AP targets SFTPC in WB, IHC, IF-P, ELISA applications and shows reactivity with human, mouse, rat samples.
| Tested Reactivity | human, mouse, rat | 
| Cited Reactivity | human, mouse, rat, pig | 
| Host / Isotype | Rabbit / IgG | 
| Class | Polyclonal | 
| Type | Antibody | 
| Immunogen | 
                                             CatNo: Ag1159 Product name: Recombinant human SFTPC protein Source: e coli.-derived, PGEX-4T Tag: GST Domain: 1-197 aa of BC005913 Sequence: MDVGSKEVLMESPPDYSAAPRGRFGIPCCPVHLKRLLIVVVVVVLIVVVIVGALLMGLHMSQKHTEMVLEMSIGAPEAQQRLALSEHLVTTATFSIGSTGLVVYDYQQLLIAYKPAPGTCCYIMKIAPESIPSLEALNRKVHNFQMECSLQAKPAVPTSKLGQAEGRDAGSAPSGGDPAFLGMAVNTLCGEVPLYYI Predict reactive species | 
                                    
| Full Name | surfactant protein C | 
| Calculated Molecular Weight | 21 kDa | 
| Observed Molecular Weight | 21-25 kDa | 
| GenBank Accession Number | BC005913 | 
| Gene Symbol | SFTPC | 
| Gene ID (NCBI) | 6440 | 
| RRID | AB_2185497 | 
| Conjugate | Unconjugated | 
| Form | Liquid | 
| Purification Method | Antigen affinity purification | 
| UNIPROT ID | P11686 | 
| Storage Buffer | PBS with 0.02% sodium azide and 50% glycerol, pH 7.3. | 
| Storage Conditions | Store at -20°C. Stable for one year after shipment. Aliquoting is unnecessary for -20oC storage. 20ul sizes contain 0.1% BSA. | 
Background Information
SFTPC (surfactant protein C), also named as SFTP2, SP5 and SP-C, is a pulmonary surfactant associated proteins promote alveolar stability by lowering the surface tension at the air-liquid interface in the peripheral air spaces. Defects in SFTPC are the cause of pulmonary surfactant metabolism dysfunction type 2 (SMDP2). Genetic variations in SFTPC are associated with respiratory distress syndrome in premature infants (RDS). Two isoforms of the human protein are produced by alternative splicing. One previous study reported that SFTPC deletion was observed in NSCLC tissues, implying that SFTPC downregulation might be involved in the progression of lung cancer. (PMID: 35081981, PMID: 31379200)
Protocols
| Product Specific Protocols | |
|---|---|
| IF protocol for SFTPC antibody 10774-1-AP | Download protocol | 
| IHC protocol for SFTPC antibody 10774-1-AP | Download protocol | 
| WB protocol for SFTPC antibody 10774-1-AP | Download protocol | 
| Standard Protocols | |
|---|---|
| Click here to view our Standard Protocols | 
Publications
| Species | Application | Title | 
|---|---|---|
Sci Adv Inhalable SPRAY nanoparticles by modular peptide assemblies reverse alveolar inflammation in lethal Gram-negative bacteria infection | ||
Sci Total Environ Protein lysine acetylation played an important role in NH3-induced AEC2 damage and pulmonary fibrosis in piglets | ||
Oncogene HAO1-mediated oxalate metabolism promotes lung pre-metastatic niche formation by inducing neutrophil extracellular traps. | ||
Int J Mol Sci Kub3 Deficiency Causes Aberrant Late Embryonic Lung Development in Mice by the FGF Signaling Pathway. | ||
J Pathol Overexpression of the SARS-CoV-2 receptor ACE2 is induced by cigarette smoke in bronchial and alveolar epithelia. | 
Reviews
The reviews below have been submitted by verified Proteintech customers who received an incentive for providing their feedback.
FH Prince (Verified Customer) (10-02-2025)  | 
  | 
FH David (Verified Customer) (03-29-2022)  | ICC on ALIs without antigen retrieval. 
  | 











