Tested Applications
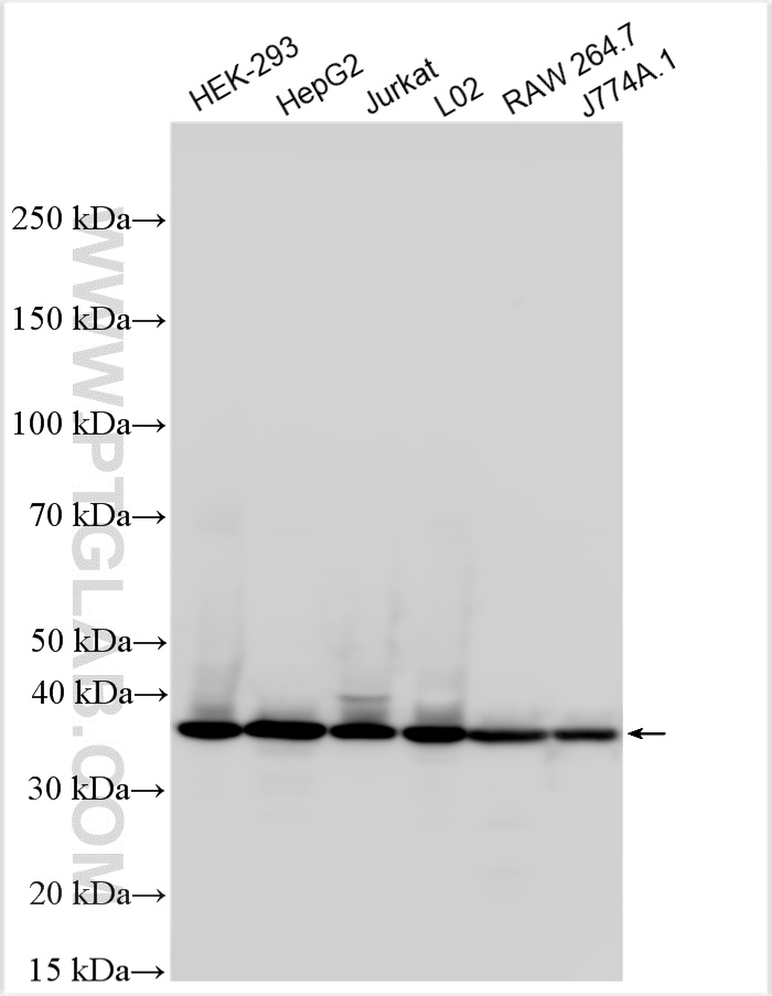
| Positive WB detected in | HEK-293 cells, HepG2 cells, Jurkat cells, L02 cells, RAW 264.7 cells, J774A.1 cells |
| Positive IP detected in | HepG2 cells |
| Positive IHC detected in | mouse brain tissue, mouse liver tissue Note: suggested antigen retrieval with TE buffer pH 9.0; (*) Alternatively, antigen retrieval may be performed with citrate buffer pH 6.0 |
| Positive IF-Fro detected in | mouse brain tissue |
| Positive IF/ICC detected in | HepG2 cells |
Recommended dilution
| Application | Dilution |
|---|---|
| Western Blot (WB) | WB : 1:5000-1:50000 |
| Immunoprecipitation (IP) | IP : 0.5-4.0 ug for 1.0-3.0 mg of total protein lysate |
| Immunohistochemistry (IHC) | IHC : 1:200-1:800 |
| Immunofluorescence (IF)-FRO | IF-FRO : 1:50-1:500 |
| Immunofluorescence (IF)/ICC | IF/ICC : 1:500-1:2000 |
| It is recommended that this reagent should be titrated in each testing system to obtain optimal results. | |
| Sample-dependent, Check data in validation data gallery. | |
Published Applications
| KD/KO | See 1 publications below |
| WB | See 19 publications below |
| IF | See 1 publications below |
Product Information
15397-1-AP targets SEC13 in WB, IHC, IF/ICC, IF-Fro, IP, ELISA applications and shows reactivity with human, mouse, rat samples.
| Tested Reactivity | human, mouse, rat |
| Cited Reactivity | human, mouse, rat |
| Host / Isotype | Rabbit / IgG |
| Class | Polyclonal |
| Type | Antibody |
| Immunogen |
CatNo: Ag7610 Product name: Recombinant human SEC13 protein Source: e coli.-derived, PGEX-4T Tag: GST Domain: 1-325 aa of BC002634 Sequence: MGKMVSVINTVDTSHEDMIHDAQMDYYGTRLATCSSDRSVKIFDVRNGGQILIADLRGHEGPVWQVAWAHPMYGNILASCSYDRKVIIWREENGTWEKSHEHAGHDSSVNSVCWAPHDYGLILACGSSDGAISLLTYTGEGQWEVKKINNAHTIGCNAVSWAPAVVPGSLIDHPSGQKPNYIKRFASGGCDNLIKLWKEEEDGQWKEEQKLEAHSDWVRDVAWAPSIGLPTSTIASCSQDGRVFIWTCDDASSNTWSPKLLHKFNDVVWHVSWSITANILAVSGGDNKVTLWKESVDGQWVCISDVNKGQGSVSASVTEGQQNEQ Predict reactive species |
| Full Name | SEC13 homolog (S. cerevisiae) |
| Calculated Molecular Weight | 36 kDa |
| Observed Molecular Weight | 36 kDa |
| GenBank Accession Number | BC002634 |
| Gene Symbol | SEC13 |
| Gene ID (NCBI) | 6396 |
| RRID | AB_2186234 |
| Conjugate | Unconjugated |
| Form | Liquid |
| Purification Method | Antigen affinity purification |
| UNIPROT ID | P55735 |
| Storage Buffer | PBS with 0.02% sodium azide and 50% glycerol, pH 7.3. |
| Storage Conditions | Store at -20°C. Stable for one year after shipment. Aliquoting is unnecessary for -20oC storage. 20ul sizes contain 0.1% BSA. |
Background Information
SEC13 is a component of the nuclear pore complex (NPC) and the COPII coat. It is required for esicle biogenesis from endoplasmic reticulum during the transport of proteins. Shuttling of SEC13 between the nucleus and the cytoplasm may couple and regulate functions between these two compartments. (PMID: 14517296; 16407955)
Protocols
| Product Specific Protocols | |
|---|---|
| IF protocol for SEC13 antibody 15397-1-AP | Download protocol |
| IHC protocol for SEC13 antibody 15397-1-AP | Download protocol |
| IP protocol for SEC13 antibody 15397-1-AP | Download protocol |
| WB protocol for SEC13 antibody 15397-1-AP | Download protocol |
| Standard Protocols | |
|---|---|
| Click here to view our Standard Protocols |
Publications
| Species | Application | Title |
|---|---|---|
Nat Commun Intracellular galectin-3 is a lipopolysaccharide sensor that promotes glycolysis through mTORC1 activation | ||
Dev Cell Nucleoporin Seh1 controls murine neocortical development via transcriptional repression of p21 in neural stem cells | ||
Redox Biol Selenoprotein K contributes to CD36 subcellular trafficking in hepatocytes by accelerating nascent COPII vesicle formation and aggravates hepatic steatosis | ||
Proc Natl Acad Sci U S A TFG facilitates outer coat disassembly on COPII transport carriers to promote tethering and fusion with ER-Golgi intermediate compartments. | ||
Proc Natl Acad Sci U S A Atlastin-mediated membrane tethering is critical for cargo mobility and exit from the endoplasmic reticulum. |
Reviews
The reviews below have been submitted by verified Proteintech customers who received an incentive for providing their feedback.
FH Subir (Verified Customer) (09-27-2019) | clean and specific
![]() |




















