Tested Applications
| Positive WB detected in | HeLa cells, K-562 cells, mouse liver tissue, rat liver tissue |
| Positive IP detected in | K-562 cells |
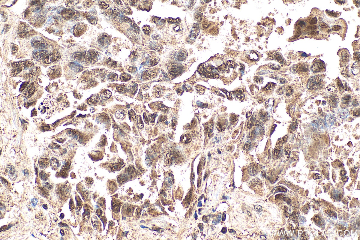
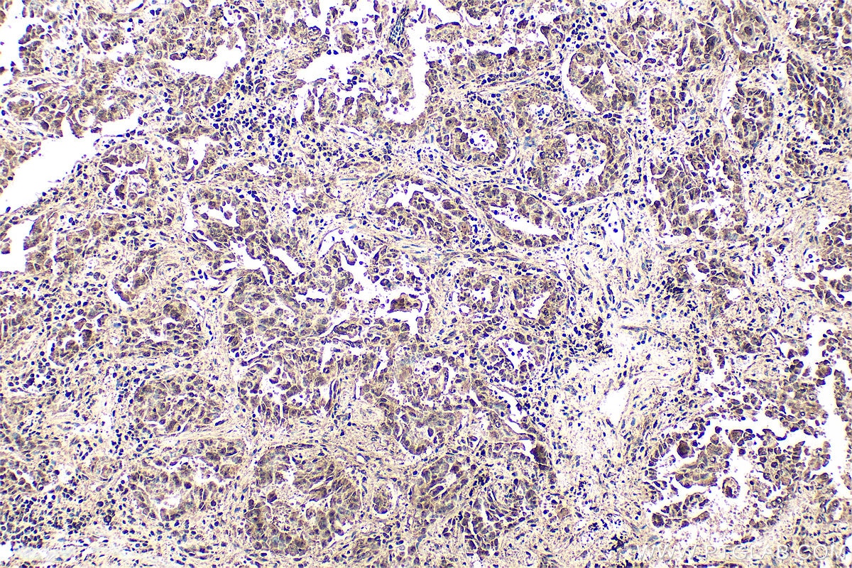
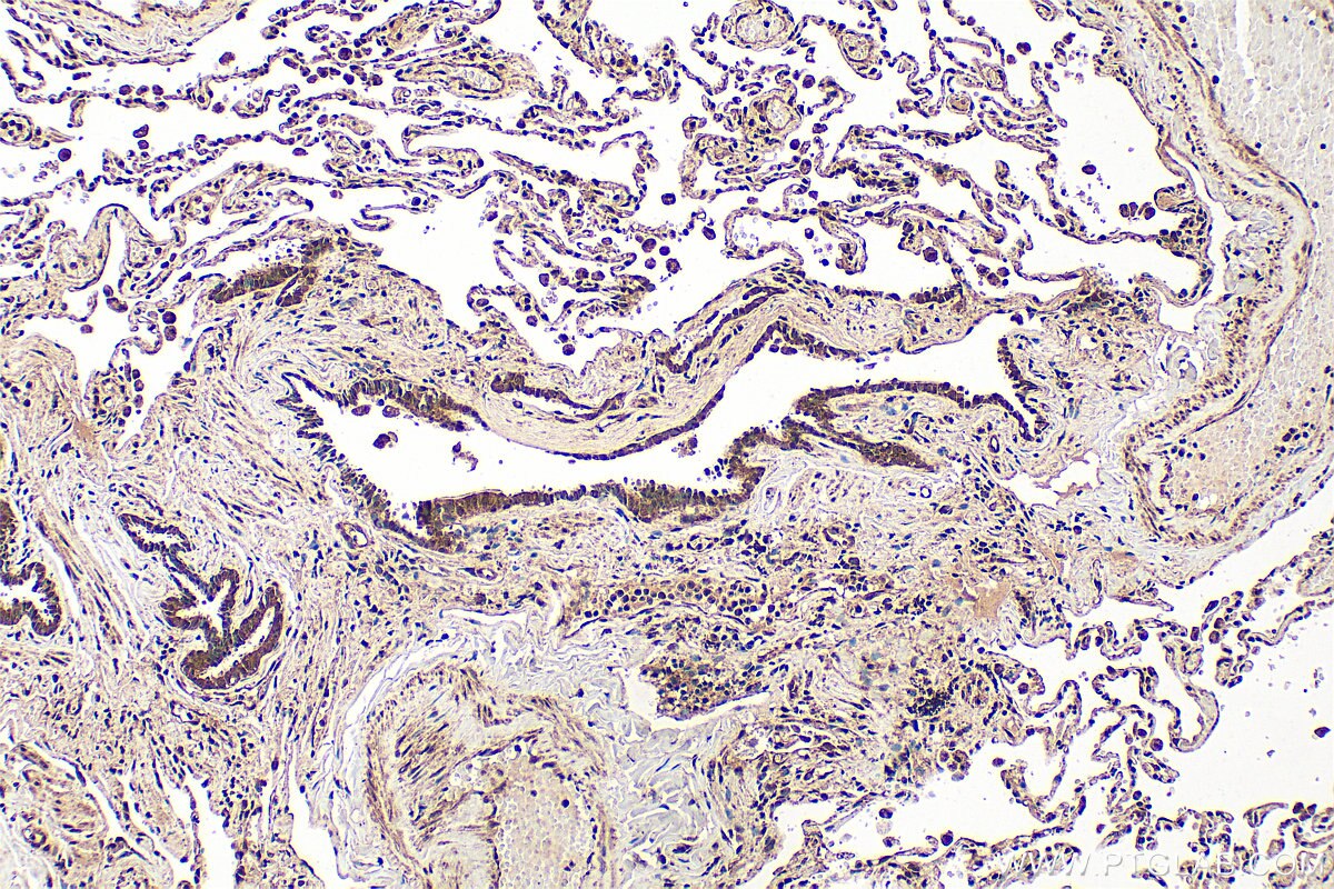
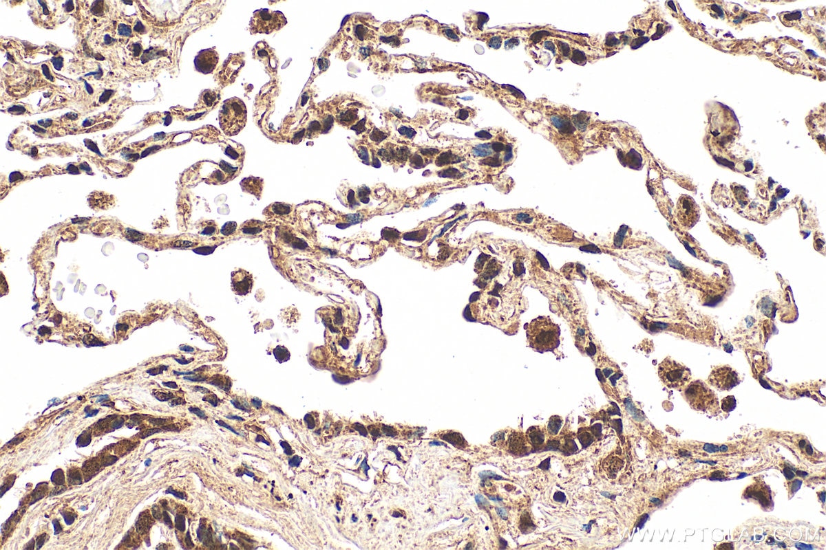
| Positive IHC detected in | human lung cancer tissue, human colon cancer tissue, human lung tissue, mouse liver tissue, rat kidney tissue Note: suggested antigen retrieval with TE buffer pH 9.0; (*) Alternatively, antigen retrieval may be performed with citrate buffer pH 6.0 |
| Positive IF/ICC detected in | HepG2 cells |
Recommended dilution
| Application | Dilution |
|---|---|
| Western Blot (WB) | WB : 1:500-1:3000 |
| Immunoprecipitation (IP) | IP : 0.5-4.0 ug for 1.0-3.0 mg of total protein lysate |
| Immunohistochemistry (IHC) | IHC : 1:50-1:500 |
| Immunofluorescence (IF)/ICC | IF/ICC : 1:10-1:100 |
| It is recommended that this reagent should be titrated in each testing system to obtain optimal results. | |
| Sample-dependent, Check data in validation data gallery. | |
Published Applications
| KD/KO | See 1 publications below |
| WB | See 3 publications below |
| IF | See 3 publications below |
| IP | See 1 publications below |
| CoIP | See 3 publications below |
Product Information
16034-1-AP targets PSMD7 in WB, IHC, IF/ICC, IP, CoIP, ELISA applications and shows reactivity with human, mouse, rat samples.
| Tested Reactivity | human, mouse, rat |
| Cited Reactivity | human, mouse |
| Host / Isotype | Rabbit / IgG |
| Class | Polyclonal |
| Type | Antibody |
| Immunogen |
CatNo: Ag8905 Product name: Recombinant human PSMD7 protein Source: e coli.-derived, PGEX-4T Tag: GST Domain: 1-319 aa of BC012606 Sequence: MPELAVQKVVVHPLVLLSVVDHFNRIGKVGNQKRVVGVLLGSWQKKVLDVSNSFAVPFDEDDKDDSVWFLDHDYLENMYGMFKKVNARERIVGWYHTGPKLHKNDIAINELMKRYCPNSVLVIIDVKPKDLGLPTEAYISVEEVHDDGTPTSKTFEHVTSEIGAEEAEEVGVEHLLRDIKDTTVGTLSQRITNQVHGLKGLNSKLLDIRSYLEKVATGKLPINHQIIYQLQDVFNLLPDVSLQEFVKAFYLKTNDQMVVVYLASLIRSVVALHNLINNKIANRDAEKKEGQEKEESKKDRKEDKEKDKDKEKSDVKKEE Predict reactive species |
| Full Name | proteasome (prosome, macropain) 26S subunit, non-ATPase, 7 |
| Calculated Molecular Weight | 324 aa, 37 kDa |
| Observed Molecular Weight | 37 kDa |
| GenBank Accession Number | BC012606 |
| Gene Symbol | PSMD7 |
| Gene ID (NCBI) | 5713 |
| RRID | AB_2170797 |
| Conjugate | Unconjugated |
| Form | Liquid |
| Purification Method | Antigen affinity purification |
| UNIPROT ID | P51665 |
| Storage Buffer | PBS with 0.02% sodium azide and 50% glycerol, pH 7.3. |
| Storage Conditions | Store at -20°C. Stable for one year after shipment. Aliquoting is unnecessary for -20oC storage. 20ul sizes contain 0.1% BSA. |
Background Information
Proteasome 26S subunit, non-ATPase 7 (PSMD7), an ATP-independent component of the 19S regulatory subunit, is a member of the JAMM/MPN domain-associated metallopeptidase (JAMM) DUB family. PSMD7, as a core component of the 26S proteasome, is critical for the degradation of ubiquitinated proteins in the proteasome. PSMD7 arrests cell cycle in the G2/M phase during HIV infection. The molecular weight of PSMD7 is 37 kDa. (PMID: 34512150, 34234864)
Protocols
| Product Specific Protocols | |
|---|---|
| IF protocol for PSMD7 antibody 16034-1-AP | Download protocol |
| IHC protocol for PSMD7 antibody 16034-1-AP | Download protocol |
| IP protocol for PSMD7 antibody 16034-1-AP | Download protocol |
| WB protocol for PSMD7 antibody 16034-1-AP | Download protocol |
| Standard Protocols | |
|---|---|
| Click here to view our Standard Protocols |
Publications
| Species | Application | Title |
|---|---|---|
Int J Biol Sci Deubiquitinase PSMD7 promotes the proliferation, invasion, and cisplatin resistance of gastric cancer cells by stabilizing RAD23B.
| ||
EMBO Rep YOD1 sustains NOD2-mediated protective signaling in colitis by stabilizing RIPK2 | ||
EMBO Mol Med Deubiquitination of RIPK3 by OTUB2 potentiates neuronal necroptosis after ischemic stroke | ||
Cell Biosci Deubiquitinase PSMD7 facilitates pancreatic cancer progression through activating Nocth1 pathway via modifying SOX2 degradation | ||
Cell Signal Deubiquitinating enzyme PSMD7 promotes bladder cancer development: Involvement of RAB1A stabilization |



























