Tested Applications
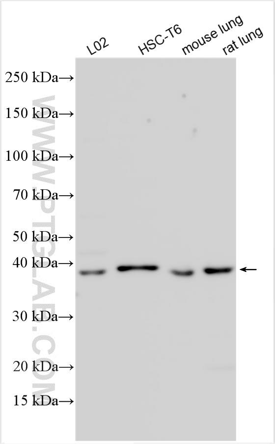
| Positive WB detected in | L02 cells, HeLa cells, MCF-7 cells, HSC-T6 cells, mouse lung tissue, rat lung tissue |
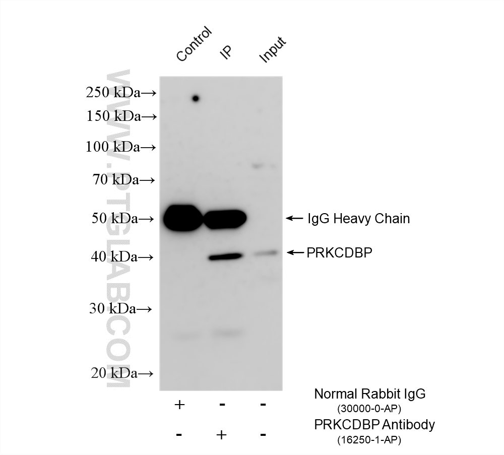
| Positive IP detected in | A549 cells |
| Positive IHC detected in | human normal colon Note: suggested antigen retrieval with TE buffer pH 9.0; (*) Alternatively, antigen retrieval may be performed with citrate buffer pH 6.0 |
| Positive IF/ICC detected in | MCF-7 cells |
Recommended dilution
| Application | Dilution |
|---|---|
| Western Blot (WB) | WB : 1:1000-1:4000 |
| Immunoprecipitation (IP) | IP : 0.5-4.0 ug for 1.0-3.0 mg of total protein lysate |
| Immunohistochemistry (IHC) | IHC : 1:50-1:500 |
| Immunofluorescence (IF)/ICC | IF/ICC : 1:10-1:100 |
| It is recommended that this reagent should be titrated in each testing system to obtain optimal results. | |
| Sample-dependent, Check data in validation data gallery. | |
Published Applications
| KD/KO | See 4 publications below |
| WB | See 21 publications below |
| IHC | See 4 publications below |
| IF | See 7 publications below |
| IP | See 1 publications below |
Product Information
16250-1-AP targets PRKCDBP in WB, IHC, IF/ICC, IP, ELISA applications and shows reactivity with human, mouse, rat samples.
| Tested Reactivity | human, mouse, rat |
| Cited Reactivity | human, mouse, rat, pig |
| Host / Isotype | Rabbit / IgG |
| Class | Polyclonal |
| Type | Antibody |
| Immunogen |
CatNo: Ag9209 Product name: Recombinant human PRKCDBP protein Source: e coli.-derived, PGEX-4T Tag: GST Domain: 1-261 aa of BC011585 Sequence: MRESALEPGPVPEAPAGGPVHAVTVVTLLEKLASMLETLRERQGGLARRQGGLAGSVRRIQSGLGALSRSHDTTSNTLAQLLAKAERVSSHANAAQERAVRRAAQVQRLEANHGLLVARGKLHVLLFKEEGEVPASAFQKAPEPLGPADQSELGPEQLEAEVGESSDEEPVESRAQRLRRTGLQKVQSLRRALSGRKGPAAPPPTPVKPPRLGPGRSAEAQPEAQPALEPTLEPEPPQDTEEDPGRPGAAEEALLQMESVA Predict reactive species |
| Full Name | protein kinase C, delta binding protein |
| Calculated Molecular Weight | 261 aa, 28 kDa |
| Observed Molecular Weight | 35-40 kDa |
| GenBank Accession Number | BC011585 |
| Gene Symbol | PRKCDBP |
| Gene ID (NCBI) | 112464 |
| RRID | AB_2171894 |
| Conjugate | Unconjugated |
| Form | Liquid |
| Purification Method | Antigen affinity purification |
| UNIPROT ID | Q969G5 |
| Storage Buffer | PBS with 0.02% sodium azide and 50% glycerol, pH 7.3. |
| Storage Conditions | Store at -20°C. Stable for one year after shipment. Aliquoting is unnecessary for -20oC storage. 20ul sizes contain 0.1% BSA. |
Background Information
Protein kinase C delta-binding protein (PRKCDBP) is a putative tumor suppressor in which alteration has been observed in several human cancers. It is a BRCA1-interacting protein, and may also be involved in DNA damage response and participate in BRCA1-mediated tumor suppression pathways. PKCdelta binds to the C-terminal half of PRKCDBP through the regulatory domain and phosphorylates it in vitro. In COS1 cells, the phosphorylation of over-expressed PRKCDBP is stimulated by 12-O-tetradecanoylphorbol-13-acetate and further enhanced by the over-expression of PKCdelta
Protocols
| Product Specific Protocols | |
|---|---|
| IF protocol for PRKCDBP antibody 16250-1-AP | Download protocol |
| IHC protocol for PRKCDBP antibody 16250-1-AP | Download protocol |
| IP protocol for PRKCDBP antibody 16250-1-AP | Download protocol |
| WB protocol for PRKCDBP antibody 16250-1-AP | Download protocol |
| Standard Protocols | |
|---|---|
| Click here to view our Standard Protocols |
Publications
| Species | Application | Title |
|---|---|---|
ACS Nano Engineering Extracellular Vesicles Restore the Impaired Cellular Uptake and Attenuate Intervertebral Disc Degeneration. | ||
PLoS Biol Endocytic crosstalk: cavins, caveolins, and caveolae regulate clathrin-independent endocytosis. | ||
Nat Commun Identification of intracellular cavin target proteins reveals cavin-PP1alpha interactions regulate apoptosis.
| ||
Dev Cell Caveolae sense oxidative stress through membrane lipid peroxidation and cytosolic release of CAVIN1 to regulate NRF2 | ||
Elife Deciphering caveolar functions by syndapin III KO-mediated impairment of caveolar invagination.
|











