Tested Applications
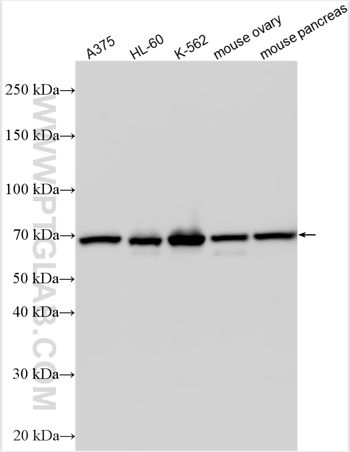
| Positive WB detected in | A375 cells, HL-60 cells, K-562 cells, mouse ovary tissue, mouse pancreas tissue |
Recommended dilution
| Application | Dilution |
|---|---|
| Western Blot (WB) | WB : 1:1000-1:6000 |
| It is recommended that this reagent should be titrated in each testing system to obtain optimal results. | |
| Sample-dependent, Check data in validation data gallery. | |
Published Applications
| KD/KO | See 4 publications below |
| WB | See 10 publications below |
| IHC | See 1 publications below |
| IF | See 3 publications below |
Product Information
14242-1-AP targets PIAS4 in WB, IHC, IF, ELISA applications and shows reactivity with human, mouse samples.
| Tested Reactivity | human, mouse |
| Cited Reactivity | human, mouse |
| Host / Isotype | Rabbit / IgG |
| Class | Polyclonal |
| Type | Antibody |
| Immunogen |
CatNo: Ag5498 Product name: Recombinant human PIAS4 protein Source: e coli.-derived, PET28a Tag: 6*His Domain: 210-510 aa of BC029874 Sequence: PNIAVKVNHSYCSVPGYYPSNKPGVEPKRPCRPINLTHLMYLSSATNRITVTWGNYGKSYSVALYLVRQLTSSELLQRLKTIGVKHPELCKALVKEKLRLDPDSEIATTGVRVSLICPLVKMRLSVPCRAETCAHLQCFDAVFYLQMNEKKPTWMCPVCDKPAPYDQLIIDGLLSKILSECEDADEIEYLVDGSWCPIRAEKERSCSPQGAILVLGPSDANGLLPAPSVNGSGALGSTGGGGPVGSMENGKPGADVVDLTLDSSSSSEDEEEEEEEEEDEDEEGPRPKRRCPFQKGLVPAC Predict reactive species |
| Full Name | protein inhibitor of activated STAT, 4 |
| Calculated Molecular Weight | 57 kDa |
| Observed Molecular Weight | 57-70 kDa |
| GenBank Accession Number | BC029874 |
| Gene Symbol | PIAS4 |
| Gene ID (NCBI) | 51588 |
| RRID | AB_2164365 |
| Conjugate | Unconjugated |
| Form | Liquid |
| Purification Method | Antigen affinity purification |
| UNIPROT ID | Q8N2W9 |
| Storage Buffer | PBS with 0.02% sodium azide and 50% glycerol, pH 7.3. |
| Storage Conditions | Store at -20°C. Stable for one year after shipment. Aliquoting is unnecessary for -20oC storage. 20ul sizes contain 0.1% BSA. |
Background Information
PIAS4(protein inhibitor of activated STAT protein 4) is also named as PIASG, PIASy and belongs to the PIAS family. It enhanced the conjugation of SUMO2 to GATA2 through its E3 SUMO ligase activity. TGF-b can up-regulates PLAS4 expression in MCs to down-regulatea-SMA gene transcription by the interaction with E12 and PLAS4 predominantly acts as E3 ligases for E12 in MCs among PIAS family members (PMID:22829926). This protein can be sumoylated and Lys-35 is the main site of sumoylation(PMID:15831457).
Protocols
| Product Specific Protocols | |
|---|---|
| WB protocol for PIAS4 antibody 14242-1-AP | Download protocol |
| Standard Protocols | |
|---|---|
| Click here to view our Standard Protocols |
Publications
| Species | Application | Title |
|---|---|---|
Nat Commun Rad18-dependent SUMOylation of human specialized DNA polymerase eta is required to prevent under-replicated DNA.
| ||
PLoS Biol DPPA2/4 and SUMO E3 ligase PIAS4 opposingly regulate zygotic transcriptional program.
| ||
PLoS One Protein inhibitor of activated STAT, PIASy regulates α-smooth muscle actin expression by interacting with E12 in mesangial cells.
| ||
Front Nutr Hengshun Aromatic Vinegar Ameliorates Vascular Endothelial Injury via Regulating PKCζ-Mediated Oxidative Stress and Apoptosis. | ||
Oncol Rep MITF regulates the subcellular location of HIF1α through SUMOylation to promote the invasion and metastasis of daughter cells derived from polyploid giant cancer cells |









