Tested Applications
| Positive WB detected in | mouse kidney tissue, A549 cells |
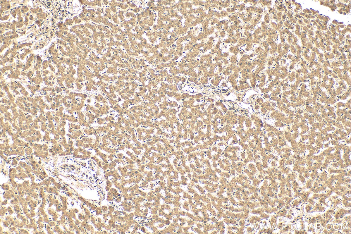
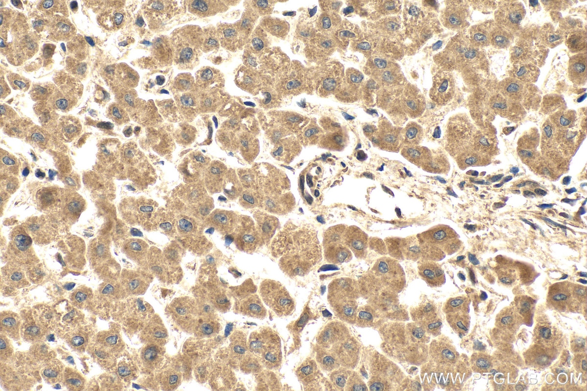
| Positive IHC detected in | human small intestine tissue, human liver tissue Note: suggested antigen retrieval with TE buffer pH 9.0; (*) Alternatively, antigen retrieval may be performed with citrate buffer pH 6.0 |
| Positive IF/ICC detected in | A549 cells |
Recommended dilution
| Application | Dilution |
|---|---|
| Western Blot (WB) | WB : 1:500-1:1000 |
| Immunohistochemistry (IHC) | IHC : 1:50-1:500 |
| Immunofluorescence (IF)/ICC | IF/ICC : 1:50-1:500 |
| It is recommended that this reagent should be titrated in each testing system to obtain optimal results. | |
| Sample-dependent, Check data in validation data gallery. | |
Published Applications
| KD/KO | See 3 publications below |
| WB | See 6 publications below |
| IHC | See 2 publications below |
Product Information
23185-1-AP targets P4HA3 in WB, IHC, IF/ICC, ELISA applications and shows reactivity with human, mouse samples.
| Tested Reactivity | human, mouse |
| Cited Reactivity | human, mouse, rat |
| Host / Isotype | Rabbit / IgG |
| Class | Polyclonal |
| Type | Antibody |
| Immunogen |
CatNo: Ag19716 Product name: Recombinant human P4HA3 protein Source: e coli.-derived, PGEX-4T Tag: GST Domain: 28-256 aa of BC126170 Sequence: GDTFSALTSVARALAPERRLLGLLRRYLRGEEARLRDLTRFYDKVLSLHEDSTTPVANPLLAFTLIKRLQSDWRNVVHSLEASENIRALKDGYEKVEQDLPAFEDLEGAARALMRLQDVYMLNVKGLARGVFQRVTGSAITDLYSPKRLFSLTGDDCFQVGKVAYDMGDYYHAIPWLEEAVSLFRGSYGEWKTEDEASLEDALDHLAFAYFRAGNVSCALSLSREFLLY Predict reactive species |
| Full Name | prolyl 4-hydroxylase, alpha polypeptide III |
| Calculated Molecular Weight | 544 aa, 61 kDa |
| Observed Molecular Weight | 30 kDa, 61 kDa |
| GenBank Accession Number | BC126170 |
| Gene Symbol | P4HA3 |
| Gene ID (NCBI) | 283208 |
| RRID | AB_2879228 |
| Conjugate | Unconjugated |
| Form | Liquid |
| Purification Method | Antigen affinity purification |
| UNIPROT ID | Q7Z4N8 |
| Storage Buffer | PBS with 0.02% sodium azide and 50% glycerol, pH 7.3. |
| Storage Conditions | Store at -20°C. Stable for one year after shipment. Aliquoting is unnecessary for -20oC storage. 20ul sizes contain 0.1% BSA. |
Background Information
Collagen prolyl 4-hydroxylases catalyze the hydroxylation of proline in x-pro-gly triplets in collagens and in proteins with collagen-like sequences. Collagen prolyl 4-hydroxylases are tetramers of 2 alpha subunits, such as P4HA3, and 2 beta subunits(P4HB). P4HA3 has 3 isoforms produced by alternative splicing with the MW of 61 kDa, 29 kDa and 67 kDa.
Protocols
| Product Specific Protocols | |
|---|---|
| IF protocol for P4HA3 antibody 23185-1-AP | Download protocol |
| IHC protocol for P4HA3 antibody 23185-1-AP | Download protocol |
| WB protocol for P4HA3 antibody 23185-1-AP | Download protocol |
| Standard Protocols | |
|---|---|
| Click here to view our Standard Protocols |
Publications
| Species | Application | Title |
|---|---|---|
J Mol Cell Cardiol Ascorbate starvation alters endoplasmic reticulum-resident enzymes in cardiac fibroblasts, priming them for increased procollagen secretion. | ||
Commun Biol TGF-β-dependent reprogramming of amino acid metabolism induces epithelial-mesenchymal transition in non-small cell lung cancers.
| ||
J Dent Sci Thrombospondin-1 and prolyl 4-hydroxylase subunit alpha 3 as potential biomarkers of salivary gland fibrosis | ||
Commun Biol Protein disulfide isomerase is essential for osteoblast differentiation in mice | ||
Mol Cell Biochem Transcriptome sequencing identifies prognostic genes involved in gastric adenocarcinoma
| ||
Heliyon Collagen synthase P4HA3 as a novel biomarker for colorectal cancer correlates with prognosis and immune infiltration |













