Filter:
  • Western Blot (WB) analysis of various lysates using Lamin B1 Polyclonal antibody (12987-1-AP)

    WB analysis using 12987-1-AP

    Various lysates were subjected to SDS PAGE followed by western blot with 12987-1-AP (Lamin B1 antibody) at dilution of 1:20000 incubated at room temperature for 1.5 hours.

  • Western Blot (WB) analysis of various lysates using Lamin B1 Polyclonal antibody (12987-1-AP)

    WB analysis using 12987-1-AP

    Various lysates were subjected to SDS PAGE followed by western blot with 12987-1-AP (Lamin B1 antibody) at dilution of 1:20000 incubated at room temperature for 1.5 hours.

  • Western Blot (WB) analysis of various lysates using Lamin B1 Polyclonal antibody (12987-1-AP)

    WB analysis using 12987-1-AP

    Various lysates were subjected to SDS PAGE followed by western blot with 12987-1-AP (Lamin B1 antibody) at dilution of 1:10000 incubated at room temperature for 1.5 hours.

  • Immunoprecipitation (IP) experiment of HeLa cells using Lamin B1 Polyclonal antibody (12987-1-AP)

    IP experiment of HeLa using 12987-1-AP

    IP result of anti-Lamin B1 (IP:12987-1-AP, 4ug; Detection:12987-1-AP 1:50000) with HeLa cells lysate 1320 ug.

  • Immunohistochemistry (IHC) staining of mouse kidney tissue using Lamin B1 Polyclonal antibody (12987-1-AP)

    IHC staining of mouse kidney using 12987-1-AP

    Immunohistochemical analysis of paraffin-embedded mouse kidney tissue slide using 12987-1-AP (Lamin B1 antibody) at dilution of 1:1000 (under 10x lens). Heat mediated antigen retrieval with Tris-EDTA buffer (pH 9.0).

  • Immunohistochemistry (IHC) staining of mouse heart tissue using Lamin B1 Polyclonal antibody (12987-1-AP)

    IHC staining of mouse heart using 12987-1-AP

    Immunohistochemical analysis of paraffin-embedded mouse heart tissue slide using 12987-1-AP (Lamin B1 antibody) at dilution of 1:2000 (under 10x lens). Heat mediated antigen retrieval with Tris-EDTA buffer (pH 9.0).

  • Immunohistochemistry (IHC) staining of mouse heart tissue using Lamin B1 Polyclonal antibody (12987-1-AP)

    IHC staining of mouse heart using 12987-1-AP

    Immunohistochemical analysis of paraffin-embedded mouse heart tissue slide using 12987-1-AP (Lamin B1 antibody) at dilution of 1:2000 (under 40x lens). Heat mediated antigen retrieval with Tris-EDTA buffer (pH 9.0).

  • Immunohistochemistry (IHC) staining of human colon cancer tissue using Lamin B1 Polyclonal antibody (12987-1-AP)

    IHC staining of human colon cancer using 12987-1-AP

    Immunohistochemical analysis of paraffin-embedded human colon cancer tissue slide using 12987-1-AP (Lamin B1 antibody) at dilution of 1:2000 (under 40x lens). Heat mediated antigen retrieval with Tris-EDTA buffer (pH 9.0).

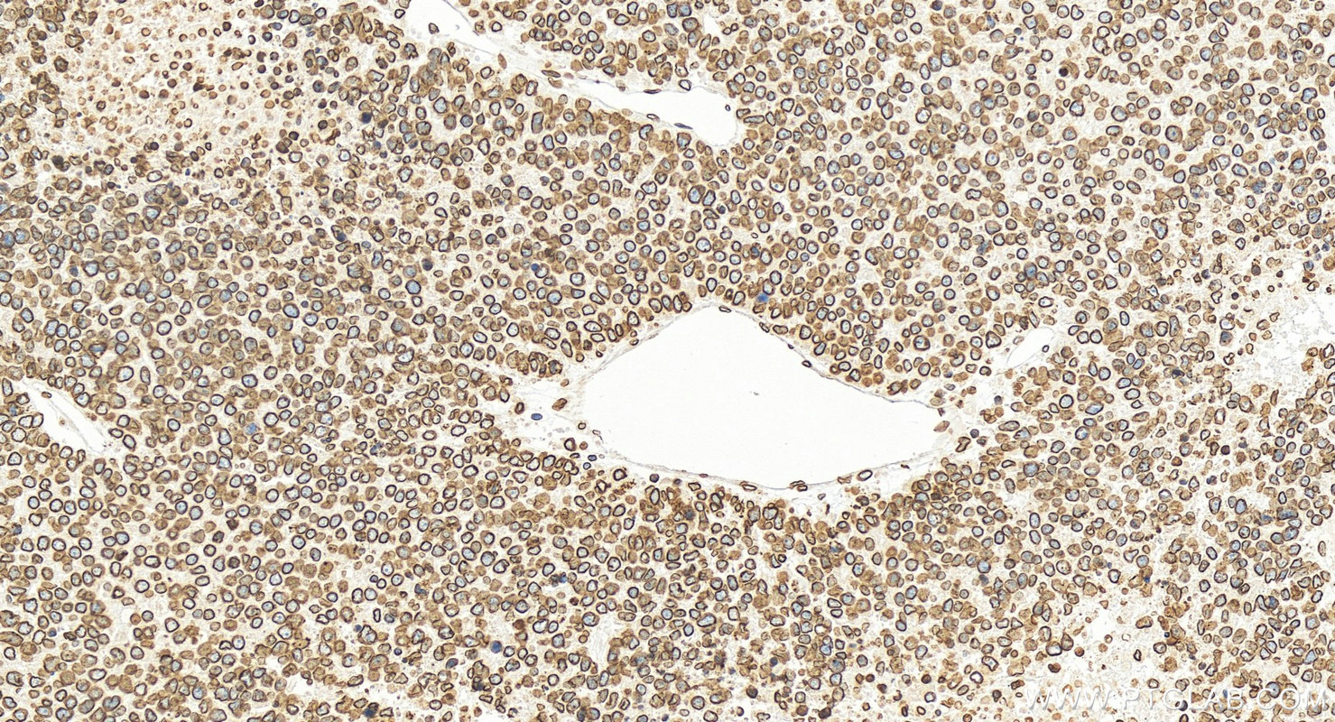
  • Immunohistochemistry (IHC) staining of human hepatocellular carcinoma using Lamin B1 Polyclonal antibody (12987-1-AP)

    IHC staining of human hepatocellular carcinoma using 12987-1-AP

    Immunohistochemical analysis of paraffin-embedded human hepatocellular carcinoma slide using 12987-1-AP (Lamin B1 antibody) at dilution of 1:2000 (under 20x lens). Heat mediated antigen retrieval with Sodium Citrate buffer (pH 6.0).

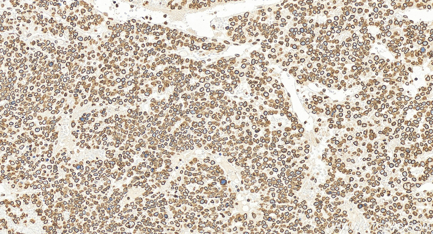
  • Immunohistochemistry (IHC) staining of human hepatocellular carcinoma using Lamin B1 Polyclonal antibody (12987-1-AP)

    IHC staining of human hepatocellular carcinoma using 12987-1-AP

    Immunohistochemical analysis of paraffin-embedded human hepatocellular carcinoma slide using 12987-1-AP (Lamin B1 antibody) at dilution of 1:2000 (under 20x lens). Heat mediated antigen retrieval with Sodium Citrate buffer (pH 6.0).

  • Immunohistochemistry (IHC) staining of human colon tissue using Lamin B1 Polyclonal antibody (12987-1-AP)

    IHC staining of human colon using 12987-1-AP

    Immunohistochemical analysis of paraffin-embedded human normal colon slide using 12987-1-AP (Lamin B1 antibody) at dilution of 1:4000 (under 20x lens). Heat mediated antigen retrieval with Tris-EDTA buffer (pH 9.0).

  • Immunohistochemistry (IHC) staining of human colon tissue using Lamin B1 Polyclonal antibody (12987-1-AP)

    IHC staining of human colon using 12987-1-AP

    Immunohistochemical analysis of paraffin-embedded human normal colon slide using 12987-1-AP (Lamin B1 antibody) at dilution of 1:4000 (under 20x lens). Heat mediated antigen retrieval with Tris-EDTA buffer (pH 9.0).

  • Immunofluorescence (IF) / fluorescent staining of human skin cancer tissue using Lamin B1 Polyclonal antibody (12987-1-AP)

    IF Staining of human skin cancer using 12987-1-AP

    Immunofluorescent analysis of (4% PFA) fixed human skin cancer tissue using 12987-1-AP (Lamin B1 antibody) at dilution of 1:50 and Alexa Fluor 488-conjugated AffiniPure Goat Anti-Rabbit IgG(H+L).

  • Immunofluorescence (IF) / fluorescent staining of HepG2 cells using Lamin B1 Polyclonal antibody (12987-1-AP)

    IF Staining of HepG2 using 12987-1-AP

    Immunofluorescent analysis of (-20℃ Ethanol) fixed HepG2 cells using 12987-1-AP (Lamin B1 antibody) at dilution of 1:200 and Alexa Fluor 488-conjugated AffiniPure Goat Anti-Rabbit IgG(H+L).

  • Immunofluorescence (IF) / fluorescent staining of HepG2 cells using Lamin B1 Polyclonal antibody (12987-1-AP)

    IF Staining of HepG2 using 12987-1-AP

    Immunofluorescent analysis of (-20°C Ethanol) fixed HepG2 cells using Lamin B1 antibody (12987-1-AP) at dilution of 1:400 and CoraLite®488-Conjugated AffiniPure Goat Anti-Rabbit IgG(H+L), CL594-Phalloidin (red).

  • Immunofluorescence (IF) / fluorescent staining of NIH/3T3 cells using Lamin B1 Polyclonal antibody (12987-1-AP)

    IF Staining of NIH/3T3 using 12987-1-AP

    Immunofluorescent analysis of (-20°C Ethanol) fixed NIH/3T3 cells using 12987-1-AP (Lamin B1 antibody) at dilution of 1:100 and Alexa Fluor 488-conjugated AffiniPure Goat Anti-Rabbit IgG(H+L).

  • Flow cytometry (FC) experiment of HEK-293 cells using Lamin B1 Polyclonal antibody (12987-1-AP)

    FC experiment of HEK-293 using 12987-1-AP

    1X10^6 HEK-293 cells were intracellularly stained with 0.4 ug Anti-Human Lamin B1 (12987-1-AP) and CoraLite®488-Conjugated AffiniPure Goat Anti-Rabbit IgG(H+L) at dilution 1:1000 (red), or 0.4 ug Isotype Control. Cells were fixed with 4% PFA and permeabilized with Flow Cytometry Perm Buffer.

"Lamin B1 Antibodies" Comparison

View side-by-side comparison of Lamin B1 antibodies from other vendors to find the one that best suits your research needs.
  • Featured Product
  • KD/KO Validated

Lamin B1 Polyclonal antibody

The Lamin B1 polyclonal antibody (12987-1-AP) is one of the most highly cited Lamin B1 antibodies in the market. It is suitable for WB, IHC, IF/ICC, IF-P, FC (Intra), IP, ELISA and has been referenced in over 1,358 publications.
Cat No. 12987-1-AP
Publications(1358)

Host / Isotype

Rabbit / IgG

Reactivity

human, mouse, rat and More (7)

Applications

WB, IHC, IF/ICC, IF-P, FC (Intra), IP, CoIP, ChIP, ELISA

LMNB1, laminB1, Lamin-B1, LMN2, LMNB

Formulation:  PBS, Azide, Glycerol
PBS, Azide, Glycerol
PBS Only
Conjugate:  Unconjugated
Unconjugated
Size/Concentration: 

-/ -

Freight/Packing: -

Quantity

Please visit your regions distributor:


Tested Applications

Positive WB detected inHeLa cells, HepG2 cells, Jurkat cells, MCF-7 cells, NIH/3T3 cells, K-562 cells, RAW 264.7 cells
Positive IP detected inHeLa cells
Positive IHC detected inmouse heart tissue, human colon tissue, human colon cancer tissue, human hepatocellular carcinoma, mouse kidney tissue
Note: suggested antigen retrieval with TE buffer pH 9.0; (*) Alternatively, antigen retrieval may be performed with citrate buffer pH 6.0
Positive IF-P detected inhuman skin cancer tissue
Positive IF/ICC detected inHepG2 cells, NIH/3T3 cells
Positive FC (Intra) detected inHEK-293 cells

Recommended dilution

ApplicationDilution
Western Blot (WB)WB : 1:5000-1:50000
Immunoprecipitation (IP)IP : 0.5-4.0 ug for 1.0-3.0 mg of total protein lysate
Immunohistochemistry (IHC)IHC : 1:1000-1:4000
Immunofluorescence (IF)-PIF-P : 1:50-1:500
Immunofluorescence (IF)/ICCIF/ICC : 1:200-1:800
Flow Cytometry (FC) (INTRA)FC (INTRA) : 0.40 ug per 10^6 cells in a 100 µl suspension
It is recommended that this reagent should be titrated in each testing system to obtain optimal results.
Sample-dependent, Check data in validation data gallery.

Product Information

12987-1-AP targets Lamin B1 in WB, IHC, IF/ICC, IF-P, FC (Intra), IP, CoIP, ChIP, ELISA applications and shows reactivity with human, mouse, rat samples.

Tested Reactivity human, mouse, rat
Cited Reactivityhuman, mouse, rat, pig, canine, monkey, chicken, hamster, escherichia coli, bombyx mori
Host / Isotype Rabbit / IgG
Class Polyclonal
Type Antibody
Immunogen

CatNo: Ag3631

Product name: Recombinant human Lamin B1 protein

Source: e coli.-derived, PGEX-4T

Tag: GST

Domain: 237-587 aa of BC012295

Sequence: EYEYKLAQALHEMREQHDAQVRLYKEELEQTYHAKLENARLSSEMNTSTVNSAREELMESRMRIESLSSQLSNLQKESRACLERIQELEDLLAKEKDNSRRMLTDKEREMAEIRDQMQQQLNDYEQLLDVKLALDMEISAYRKLLQGEEERLKLSPSPSSRVTVSRASSSRSVRTTRGKRKRVDVEESEASSSVSISHSASATGNVCIEEIDVDGKFIRLKNTSEQDQPMGGWEMIRKIGDTSVSYKYTSRYVLKAGQTVTIWAANAGVTASPPTDLIWKNQNSWGTGEDVKVILKNSQGEEVAQRSTVFKTTIPEEEEEEEEAAGVVVEEELFHQQGTPRASNRSCAIM

Predict reactive species
Full Name lamin B1
Calculated Molecular Weight 66 kDa
Observed Molecular Weight 66-70 kDa
GenBank Accession NumberBC012295
Gene Symbol Lamin B1
Gene ID (NCBI) 4001
ENSEMBL Gene IDENSG00000113368
RRIDAB_2136290
Conjugate Unconjugated
FormLiquid
Purification MethodAntigen affinity purification
UNIPROT IDP20700
Storage Buffer PBS with 0.02% sodium azide and 50% glycerol, pH 7.3.
Storage ConditionsStore at -20°C. Stable for one year after shipment. Aliquoting is unnecessary for -20oC storage. 20ul sizes contain 0.1% BSA.

Background Information

Lamins are components of the nuclear lamina, a fibrous layer on the nucleoplasmic side of the inner nuclear membrane, which is thought to provide a framework for the nuclear envelope and may also interact with chromatin. The nuclear lamina consists of a two-dimensional matrix of proteins located next to the inner nuclear membrane. The lamin family of proteins make up the matrix and are highly conserved in evolution. During mitosis, the lamina matrix is reversibly disassembled as the lamin proteins are phosphorylated. Vertebrate lamins consist of two types, A and B. This gene encodes one of the two B type proteins, B1. Expression of uncleavable mutant lamin A or B caused significant delays in the onset of chromatin condensation and nuclear shrinkage during apoptosis (PMID:11953316). This protein is not suitable for samples where the nuclear envelope has been removed.

Protocols

Product Specific Protocols
FC protocol for Lamin B1 antibody 12987-1-APDownload protocol
IF protocol for Lamin B1 antibody 12987-1-APDownload protocol
IHC protocol for Lamin B1 antibody 12987-1-APDownload protocol
IP protocol for Lamin B1 antibody 12987-1-APDownload protocol
WB protocol for Lamin B1 antibody 12987-1-APDownload protocol
Standard Protocols
Click here to view our Standard Protocols

Publications

SpeciesApplicationTitle
humanWB,IF

Nat Biotechnol

Drag-and-drop genome insertion of large sequences without double-strand DNA cleavage using CRISPR-directed integrases

Authors - Matthew T N Yarnall
mouseWB

Cell Res

Disruption of ER ion homeostasis maintained by an ER anion channel CLCC1 contributes to ALS-like pathologies

Authors - Liang Guo
humanIF

Nature

Chromothripsis drives the evolution of gene amplification in cancer.

Authors - Ofer Shoshani
WB

Nature

Stella safeguards the oocyte methylome by preventing de novo methylation mediated by DNMT1.

Authors - Yingfeng Li
humanWB

Mol Cancer

Diversifying the anthracycline class of anti-cancer drugs identifies aclarubicin for superior survival of acute myeloid leukemia patients

Authors - Xiaohang Qiao
mouseWB

Immunity

25-Hydroxycholesterol regulates lysosome AMP kinase activation and metabolic reprogramming to educate immunosuppressive macrophages

Authors - Jun Xiao

Reviews

The reviews below have been submitted by verified Proteintech customers who received an incentive for providing their feedback.


FH

Rajkumar (Verified Customer) (04-18-2025)

I used this antibody for HRP-based detection and it worked very well at the suggested dilution. The signal was strong. Highly recommend for similar applications.

  • Applications: Western Blot
  • Primary Antibody Dilution: 1:1000
  • Cell Tissue Type: adrenal cancer cells
FH

Mi (Verified Customer) (02-21-2023)

Works great in human adipocytes.

  • Applications: Western Blot
  • Primary Antibody Dilution: 1:2000
  • Cell Tissue Type: adipocytes
FH

Ning (Verified Customer) (01-28-2023)

Excellent antibody to probe lamin B1.

  • Applications: Western Blot
  • Primary Antibody Dilution: 1:2000
  • Cell Tissue Type: mouse cortex lysate
Lamin B1 Antibody Western Blot validation (1:2000 dilution) in mouse cortex lysate (Cat no:12987-1-AP)
FH

Tsimafei (Verified Customer) (12-04-2022)

20µg of total protein were loaded. Incubation for 2h at room temperature. Excellent antibody

  • Applications: Western Blot
  • Primary Antibody Dilution: 1:10000
  • Cell Tissue Type: mESCs
Lamin B1 Antibody Western Blot validation (1:10000 dilution) in mESCs (Cat no:12987-1-AP)
FH

Alejandro (Verified Customer) (08-07-2022)

Works fine for flow cytometry

  • Applications: Flow Cytometry
  • Primary Antibody Dilution: 1/100
  • Cell Tissue Type: Mouse bone marrow derived macrophages
FH

Iram (Verified Customer) (09-04-2020)

Very sharp bands for nuclear protein

  • Applications: Western Blot
  • Primary Antibody Dilution: 1:2000 for western
  • Cell Tissue Type: Human colon cancer
FH

Chun (Verified Customer) (12-05-2019)

Excellent antibody

  • Applications: Western Blot,
  • Primary Antibody Dilution: 1:5,000
  • Cell Tissue Type: HEK293 and HaCaT cells
FH

Marco (Verified Customer) (09-02-2019)

good staining in conjunction with Alexa Fluor Plus 488 secondary

  • Applications: Immunofluorescence,
  • Primary Antibody Dilution: 1:100
  • Cell Tissue Type: human mesenchymal stem cells
Loading...
||
New chat Able
正在加载,请稍候...