Tested Applications
| Positive WB detected in | A431 cells, mouse placenta tissue, mouse brain tissue, A549 cells, HepG2 cells, HT-29 cells, MCF-7 cells, T-47D cells, SK-BR-3 cells |
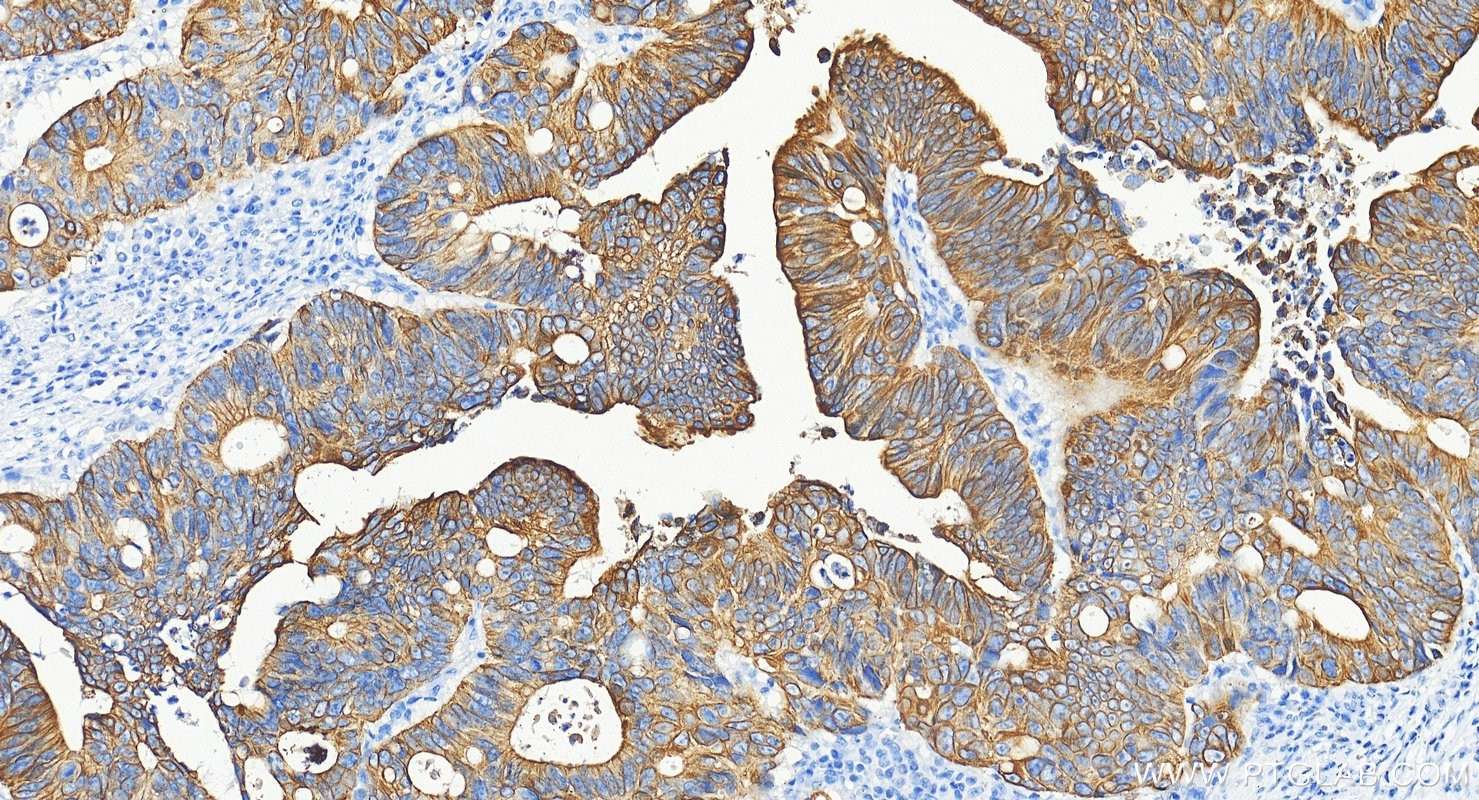
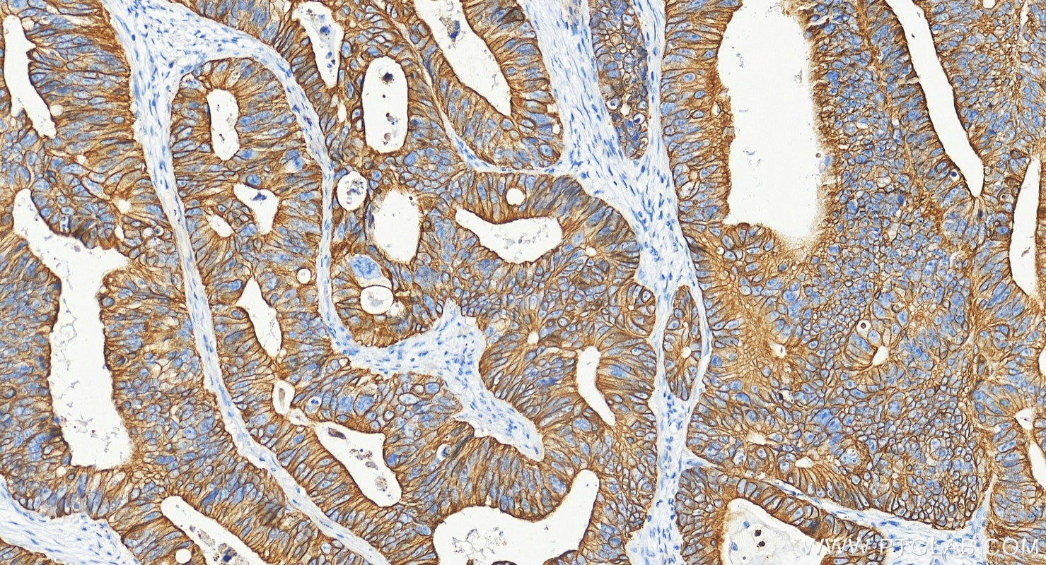
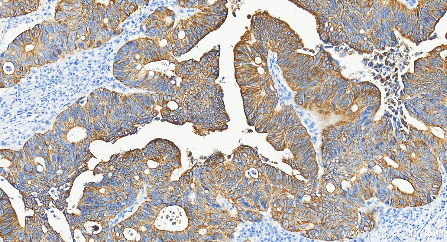
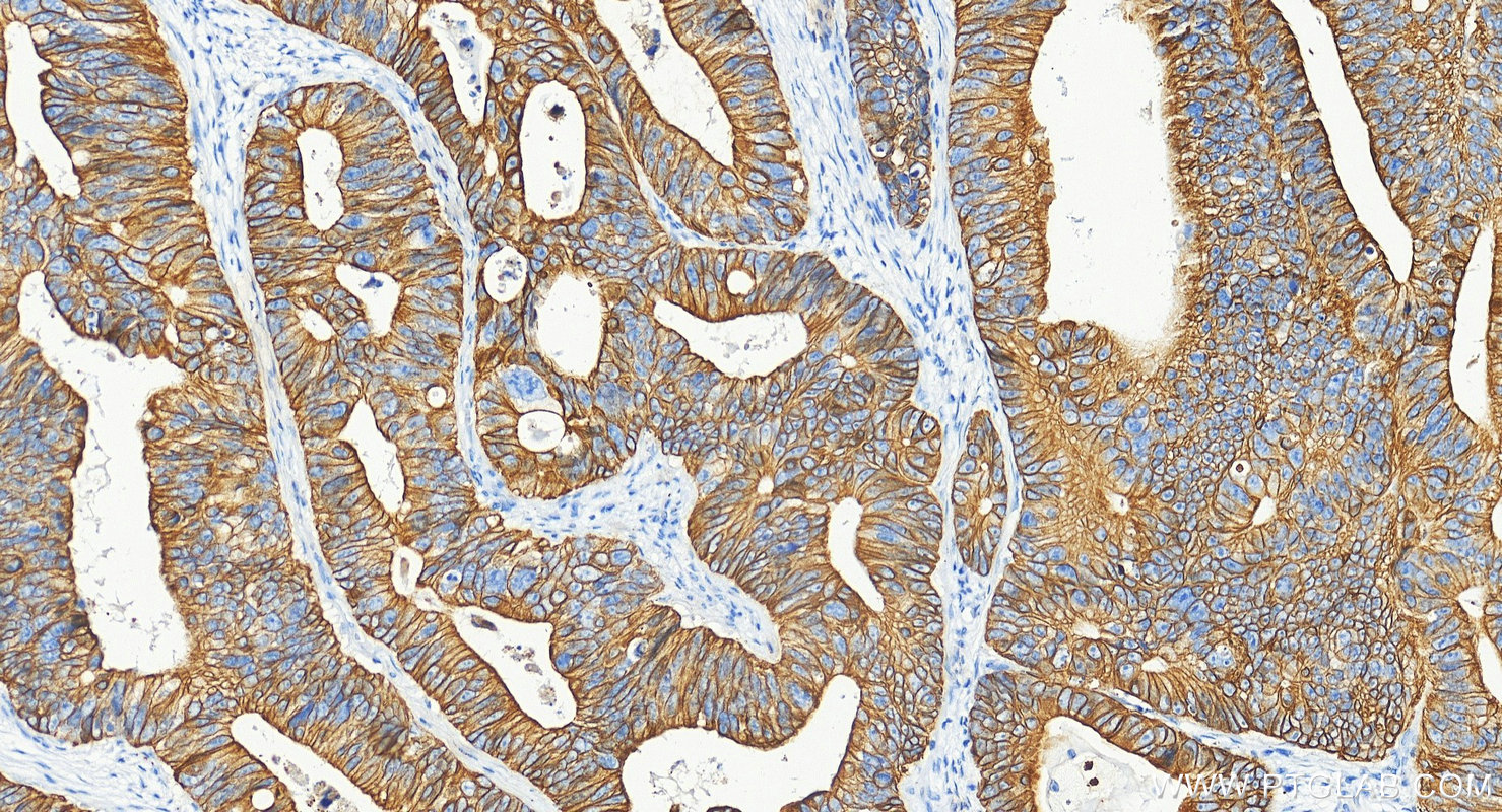
| Positive IHC detected in | human colon tissue, human breast cancer tissue, human colon cancer tissue, human lung cancer tissue, human oesophagus cancer tissue, human pancreas tissue, human skin tissue, human stomach cancer tissue, human thyroid cancer tissue, mouse colon tissue, mouse pancreas tissue, mouse skin tissue Note: suggested antigen retrieval with TE buffer pH 9.0; (*) Alternatively, antigen retrieval may be performed with citrate buffer pH 6.0 |
| Positive IF-P detected in | Retinal organoids, mouse pancreas tissue |
| Positive IF/ICC detected in | HaCaT cells, HeLa cells, HepG2 cells |
| Positive FC (Intra) detected in | MCF-7 cells |
Recommended dilution
| Application | Dilution |
|---|---|
| Western Blot (WB) | WB : 1:20000-1:100000 |
| Immunohistochemistry (IHC) | IHC : 1:3000-1:12000 |
| Immunofluorescence (IF)-P | IF-P : 1:10-1:100 |
| Immunofluorescence (IF)/ICC | IF/ICC : 1:200-1:800 |
| Flow Cytometry (FC) (INTRA) | FC (INTRA) : 0.80 ug per 10^6 cells in a 100 µl suspension |
| It is recommended that this reagent should be titrated in each testing system to obtain optimal results. | |
| Sample-dependent, Check data in validation data gallery. | |
Published Applications
| WB | See 30 publications below |
| IHC | See 75 publications below |
| IF | See 87 publications below |
Product Information
10712-1-AP targets Cytokeratin 19 in WB, IHC, IF/ICC, IF-P, FC (Intra), ELISA applications and shows reactivity with human, mouse samples.
| Tested Reactivity | human, mouse |
| Cited Reactivity | human, mouse, rat, pig, canine, goat |
| Host / Isotype | Rabbit / IgG |
| Class | Polyclonal |
| Type | Antibody |
| Immunogen |
CatNo: Ag1085 Product name: Recombinant human CK19 protein Source: e coli.-derived, PGEX-4T Tag: GST Domain: 80-400 aa of BC007628 Sequence: EKLTMQNLNDRLASYLDKVRALEAANGELEVKIRDWYQKQGPGPSRDYSHYYTTIQDLRDKILGATIENSRIVLQIDNARLAADDFRTKFETEQALRMSVEADINGLRRVLDELTLARTDLEMQIEGLKEELAYLKKNHEEEISTLRGQVGGQVSVEVDSAPGTDLAKILSDMRSQYEVMAEQNRKDAEAWFTSRTEELNREVAGHTEQLQMSRSEVTDLRRTLQGLEIELQSQLSMKAALEDTLAETEARFGAQLAHIQALISGIEAQLGDVRADSERQNQEYQRLMDIKSRLEQEIATYRSLLEGQEDHYNNLSASKVL Predict reactive species |
| Full Name | keratin 19 |
| Calculated Molecular Weight | 40 kDa |
| Observed Molecular Weight | 44-50 kDa |
| GenBank Accession Number | BC007628 |
| Gene Symbol | Cytokeratin 19 |
| Gene ID (NCBI) | 3880 |
| RRID | AB_2133325 |
| Conjugate | Unconjugated |
| Form | Liquid |
| Purification Method | Antigen affinity purification |
| UNIPROT ID | P08727 |
| Storage Buffer | PBS with 0.02% sodium azide and 50% glycerol, pH 7.3. |
| Storage Conditions | Store at -20°C. Stable for one year after shipment. Aliquoting is unnecessary for -20oC storage. 20ul sizes contain 0.1% BSA. |
Background Information
Cytokeratin 19 (CK19 or KRT19) is a type I (acidic) cytokeratin. It is an intermediate filament protein providing structural rigidity and multipurpose scaffolds in epithelial cells. CK19 is often overexpressed in various cancers (e.g., hepatocellular carcinoma [HCC], pancreatic adenocarcinoma, lung cancer) and serves as a biomarker for hepatic progenitor cells (HPCs) associated with poor prognosis in HCC patients . Additionally, CK19 expression is common in pancreatic and gastrointestinal adenocarcinomasand has been studied as a potential diagnostic and prognostic marker for pancreatic neuroendocrine tumors (PNETs), where positive CK19 expression correlates with poor prognosis. Serum CK19 fragments (e.g., CYFRA 21-1, CK19-2G2) have been investigated as tumor markers for lung and breast cancer, with preoperative levels associated with metastasis and survival.
Protocols
| Product Specific Protocols | |
|---|---|
| FC protocol for Cytokeratin 19 antibody 10712-1-AP | Download protocol |
| IF protocol for Cytokeratin 19 antibody 10712-1-AP | Download protocol |
| IHC protocol for Cytokeratin 19 antibody 10712-1-AP | Download protocol |
| WB protocol for Cytokeratin 19 antibody 10712-1-AP | Download protocol |
| Standard Protocols | |
|---|---|
| Click here to view our Standard Protocols |
Publications
| Species | Application | Title |
|---|---|---|
ACS Nano Inflammation and Acinar Cell Dual-Targeting Nanomedicines for Synergistic Treatment of Acute Pancreatitis via Ca2+ Homeostasis Regulation and Pancreas Autodigestion Inhibition | ||
Nat Commun Interventional hydrogel microsphere vaccine as an immune amplifier for activated antitumour immunity after ablation therapy | ||
Sci Transl Med PTEN status determines chemosensitivity to proteasome inhibition in cholangiocarcinoma. | ||
Adv Sci (Weinh) Vitamin D Binding Protein, a Ligand of Integrin beta 1, Motivates Both Tumor Cells and Schwann Cells to Promote Perineural Invasion in Pancreatic Ductal Adenocarcinoma | ||
Nat Commun Reversal of pancreatic desmoplasia by re-educating stellate cells with a tumour microenvironment-activated nanosystem. |
Reviews
The reviews below have been submitted by verified Proteintech customers who received an incentive for providing their feedback.
FH Kis (Verified Customer) (02-21-2025) | got nice results in IF analysis in mouse live tissues sections.
|
FH Alessandro (Verified Customer) (07-27-2022) | No aspecific staining, great outcome
|













































































