Tested Applications
| Positive WB detected in | HeLa cells, A549 cells, HEK-293 cells, human brain tissue, human kidney tissue, mouse kidney tissue, rat kidney tissue, rat liver tissue, mouse brain tissue, rat brain tissue |
| Positive IP detected in | HeLa cells, HGC-27 cells, MKN-45 cells, mouse brain tissue |
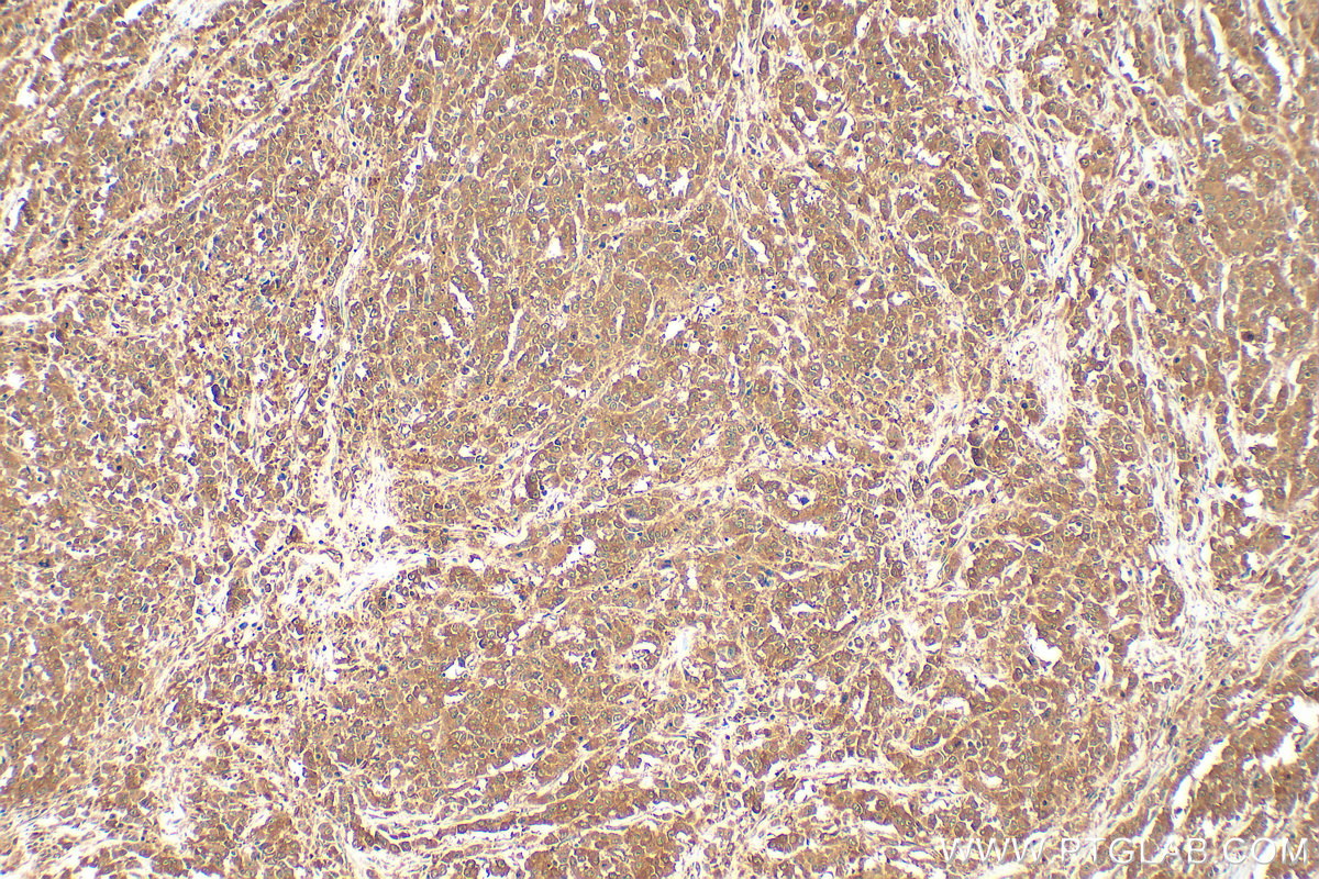
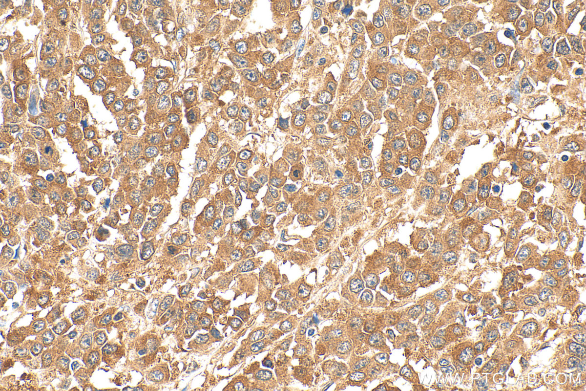
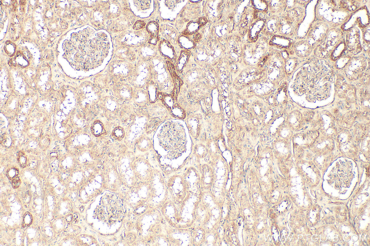
| Positive IHC detected in | human lung cancer tissue, human colon cancer tissue, human kidney tissue, human pancreas cancer tissue, mouse kidney tissue, mouse liver tissue Note: suggested antigen retrieval with TE buffer pH 9.0; (*) Alternatively, antigen retrieval may be performed with citrate buffer pH 6.0 |
| Positive IF/ICC detected in | HeLa cells |
| Positive FC (Intra) detected in | HeLa cells |
Recommended dilution
| Application | Dilution |
|---|---|
| Western Blot (WB) | WB : 1:5000-1:50000 |
| Immunoprecipitation (IP) | IP : 0.5-4.0 ug for 1.0-3.0 mg of total protein lysate |
| Immunohistochemistry (IHC) | IHC : 1:400-1:1600 |
| Immunofluorescence (IF)/ICC | IF/ICC : 1:200-1:800 |
| Flow Cytometry (FC) (INTRA) | FC (INTRA) : 0.40 ug per 10^6 cells in a 100 µl suspension |
| It is recommended that this reagent should be titrated in each testing system to obtain optimal results. | |
| Sample-dependent, Check data in validation data gallery. | |
Published Applications
| KD/KO | See 15 publications below |
| WB | See 144 publications below |
| IHC | See 23 publications below |
| IF | See 13 publications below |
| IP | See 1 publications below |
Product Information
12063-1-AP targets KRAS in WB, IHC, IF/ICC, FC (Intra), IP, ELISA applications and shows reactivity with human, mouse, rat samples.
| Tested Reactivity | human, mouse, rat |
| Cited Reactivity | human, mouse, rat, chicken, zebrafish |
| Host / Isotype | Rabbit / IgG |
| Class | Polyclonal |
| Type | Antibody |
| Immunogen |
CatNo: Ag2700 Product name: Recombinant human KRAS protein Source: e coli.-derived, PGEX-4T Tag: GST Domain: 1-188 aa of BC013572 Sequence: MTEYKLVVVGAGGVGKSALTIQLIQNHFVDEYDPTIEDSYRKQVVIDGETCLLDILDTAGHEEYSAMRDQYMRTGEGFLCVFAINNTKSFEDIHHYREQIKRVKDSEDVPMVLVGNKCDLPSRTVDTKQAQDLARSYGIPFIETSAKTRQGVDDAFYTLVREIRKHKEKMSKDGKKKKKKSKTKCVIM Predict reactive species |
| Full Name | v-Ki-ras2 Kirsten rat sarcoma viral oncogene homolog |
| Calculated Molecular Weight | 188 aa, 21 kDa |
| Observed Molecular Weight | 21 kDa |
| GenBank Accession Number | BC013572 |
| Gene Symbol | KRAS |
| Gene ID (NCBI) | 3845 |
| RRID | AB_878040 |
| Conjugate | Unconjugated |
| Form | Liquid |
| Purification Method | Antigen affinity purification |
| UNIPROT ID | P01116 |
| Storage Buffer | PBS with 0.02% sodium azide and 50% glycerol, pH 7.3. |
| Storage Conditions | Store at -20°C. Stable for one year after shipment. Aliquoting is unnecessary for -20oC storage. 20ul sizes contain 0.1% BSA. |
Background Information
KRAS, also called p21, is a member of the Ras superfamily of proteins. It is located on human chromosome 12, and contains four coding exons and a 5' non-coding exon (PMID: 12778136). KRAS is a membrane-anchored guanosine triphosphate/guanosine diphosphate (GTP/GDP)-binding protein and is widely expressed in most human cells. Like other members of the Ras family, the KRAS protein is a GTPase, and it is involved in intracellular signal transduction and mainly responsible for EGFR-signaling activation (PMID: 19117687). KRAS mutations have been found in various malignancies, including lung adenocarcinoma, mucinous adenoma, ductal carcinoma of the pancreas and colorectal carcinoma.
Protocols
| Product Specific Protocols | |
|---|---|
| FC protocol for KRAS antibody 12063-1-AP | Download protocol |
| IF protocol for KRAS antibody 12063-1-AP | Download protocol |
| IHC protocol for KRAS antibody 12063-1-AP | Download protocol |
| IP protocol for KRAS antibody 12063-1-AP | Download protocol |
| WB protocol for KRAS antibody 12063-1-AP | Download protocol |
| Standard Protocols | |
|---|---|
| Click here to view our Standard Protocols |
Publications
| Species | Application | Title |
|---|---|---|
Nat Biotechnol Conformation-locking antibodies for the discovery and characterization of KRAS inhibitors. | ||
Cancer Discov Systematic functional interrogation of rare cancer variants identifies oncogenic alleles. | ||
Mol Cell The oncomicropeptide APPLE promotes hematopoietic malignancy by enhancing translation initiation. | ||
Reviews
The reviews below have been submitted by verified Proteintech customers who received an incentive for providing their feedback.
FH Sehbanul (Verified Customer) (07-24-2025) | The KRAS antibody (12063-1-AP, Proteintech) shows excellent specificity and strong performance in Western blot. It reliably detects endogenous KRAS with minimal cross-reactivity, making it a valuable tool for RAS pathway studies.
|
FH Sehbanul (Verified Customer) (07-24-2025) | The KRAS antibody (12063-1-AP, Proteintech) shows excellent specificity and strong performance in Western blot. It reliably detects endogenous KRAS with minimal cross-reactivity, making it a valuable tool for RAS pathway studies.
|
FH Anne (Verified Customer) (07-24-2025) | no comments
|
FH Sophy (Verified Customer) (12-22-2022) | I have tried the KRas antibody from a lot of companies and this one from proteintech definitely has been working the best for me.
|
FH Jonas (Verified Customer) (07-29-2022) | Antibody works as expected, dilution with 1:2000 was perfect and could even be increased to 1:5000; delivery was very fast, would recommend!!
![]() |
FH Usman Shah (Verified Customer) (11-29-2021) | Enables specific detection of KRAS in WBs.
|
FH Kishor (Verified Customer) (12-13-2018) | I am very much satisfied with this antibody. I got good results for cells and rat liver tissue protein.
|
FH Christopher (Verified Customer) (12-11-2018) | Antibody is much better than comparable antibodies. Because of weak expression an very low differences between K-Ras/H-Ras/N-Ras it's quite difficult to detect only K-Ras in a specific way. That is also the problem of this antibody. Please look at my attached blot. 1. Fermentas prestained marker2. PANC-1 whole cell lysate3. PANC-1/EGFP-K-Ras4. HEK293/EGFP-K-Ras5. HEK293/EGFP-H-Ras6.HEK293/EGFP-N-Ras7. 20 ng recombinant K-Ras (His-tagged)Unfortunately, K-Ras (12063-1-AP) recognizes also H-Ras and in less amounts N-Ras. Looking at endogenous K-Ras detection, you have to keep in mind, that the upper band is K-Ras and the lower one H-Ras. Because of the fact, that N-Ras is only recognized in very low amounts (probably almost not on endogenous level) this antibody is great detecting endogenous K-Ras in whole cell lysates with some little problems
![]() |





























































