Tested Applications
| Positive WB detected in | HeLa cells, Jurkat cells, THP-1 cells, HEK-293T cells |
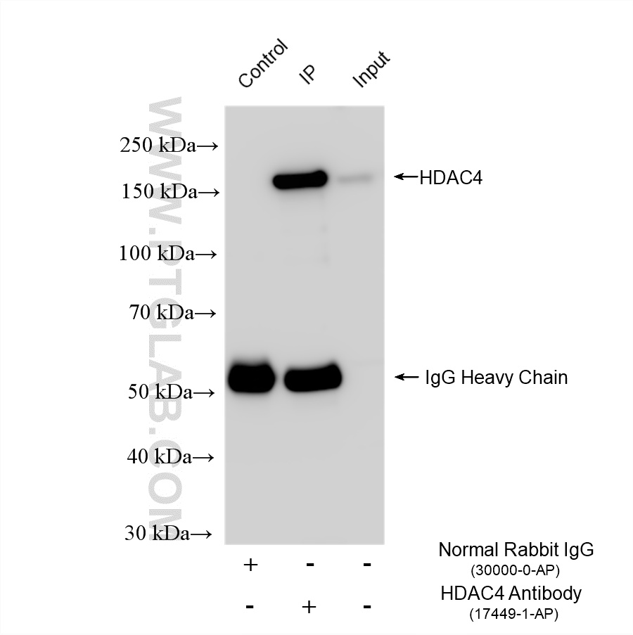
| Positive IP detected in | Jurkat cells, HeLa cells |
| Positive IHC detected in | human kidney tissue, human cervical cancer tissue Note: suggested antigen retrieval with TE buffer pH 9.0; (*) Alternatively, antigen retrieval may be performed with citrate buffer pH 6.0 |
| Positive IF-P detected in | mouse liver tissue |
This antibody is not recommended for WB assays of mouse samples.
Recommended dilution
| Application | Dilution |
|---|---|
| Western Blot (WB) | WB : 1:1000-1:4000 |
| Immunoprecipitation (IP) | IP : 0.5-4.0 ug for 1.0-3.0 mg of total protein lysate |
| Immunohistochemistry (IHC) | IHC : 1:20-1:200 |
| Immunofluorescence (IF)-P | IF-P : 1:200-1:800 |
| It is recommended that this reagent should be titrated in each testing system to obtain optimal results. | |
| Sample-dependent, Check data in validation data gallery. | |
Published Applications
| KD/KO | See 7 publications below |
| WB | See 31 publications below |
| IHC | See 8 publications below |
| IF | See 6 publications below |
| CoIP | See 1 publications below |
| ChIP | See 2 publications below |
Product Information
17449-1-AP targets HDAC4 in WB, IHC, IF-P, IP, CoIP, chIP, ELISA applications and shows reactivity with human, mouse samples.
| Tested Reactivity | human, mouse |
| Cited Reactivity | human, mouse |
| Host / Isotype | Rabbit / IgG |
| Class | Polyclonal |
| Type | Antibody |
| Immunogen |
CatNo: Ag11572 Product name: Recombinant human HDAC4 protein Source: e coli.-derived, PGEX-4T Tag: GST Domain: 623-972 aa of BC039904 Sequence: SKKLLGSLASVFVRLPCGGVGVDSDTIWNEVHSAGAARLAVGCVVELVFKVATGELKNGFAVVRPPGHHAEESTPMGFCYFNSVAVAAKLLQQRLSVSKILIVDWDVHHGNGTQQAFYSDPSVLYMSLHRYDDGNFFPGSGAPDEVGTGPGVGFNVNMAFTGGLDPPMGDAEYLAAFRTVVMPIASEFAPDVVLVSSGFDAVEGHPTPLGGYNLSARCFGYLTKQLMGLAGGRIVLALEGGHDLTAICDASEACVSALLGNELDPLPEKVLQQRPNANAVRSMEKVMEIHSKYWRCLQRTTSTAGRSLIEAQTCENEEAETVTAMASLSVGVKPAEKRPDEEPMEEEPPL Predict reactive species |
| Full Name | histone deacetylase 4 |
| Calculated Molecular Weight | 972 aa, 106 kDa |
| Observed Molecular Weight | 119-140 kDa |
| GenBank Accession Number | BC039904 |
| Gene Symbol | HDAC4 |
| Gene ID (NCBI) | 9759 |
| RRID | AB_2118864 |
| Conjugate | Unconjugated |
| Form | Liquid |
| Purification Method | Antigen affinity purification |
| UNIPROT ID | P56524 |
| Storage Buffer | PBS with 0.02% sodium azide and 50% glycerol, pH 7.3. |
| Storage Conditions | Store at -20°C. Stable for one year after shipment. Aliquoting is unnecessary for -20oC storage. 20ul sizes contain 0.1% BSA. |
Background Information
HDAC4, also named as HDACA, belongs to the histone deacetylase family. HDAC4 is responsible for the deacetylation of lysine residues on the N-terminal part of the core histones (H2A, H2B, H3 and H4). Histone deacetylation gives a tag for epigenetic repression and plays an important role in transcriptional regulation, cell cycle progression and developmental events. Histone deacetylases act via the formation of large multiprotein complexes. HDAC4 is Involved in muscle maturation via its interaction with the myocyte enhancer factors such as MEF2A, MEF2C and MEF2D. This antibody is a rabbit polyclonal antibody raised against an internal region of human HDAC4. The calculated molecular weight of HDAC4 is 106 kDa, but modified HDAC4 is about 140 kDa.
Protocols
| Product Specific Protocols | |
|---|---|
| IF protocol for HDAC4 antibody 17449-1-AP | Download protocol |
| IHC protocol for HDAC4 antibody 17449-1-AP | Download protocol |
| IP protocol for HDAC4 antibody 17449-1-AP | Download protocol |
| WB protocol for HDAC4 antibody 17449-1-AP | Download protocol |
| Standard Protocols | |
|---|---|
| Click here to view our Standard Protocols |
Publications
| Species | Application | Title |
|---|---|---|
Cell MicroRNA Directly Enhances Mitochondrial Translation during Muscle Differentiation.
| ||
Hepatology Histone Deacetylase 4 promotes cholestatic liver injury in the absence of Prohibitin-1.
| ||
Kidney Int Histone deacetylase 4 selectively contributes to podocyte injury in diabetic nephropathy.
| ||
Mol Ther Nucleic Acids Transcriptional Factor Yin Yang 1 Promotes the Stemness of Breast Cancer Cells by Suppressing miR-873-5p Transcriptional Activity. | ||
J Virol IFI16 recruits HDAC1 and HDAC2 to deacetylate the Kaposi's sarcoma-associated herpesvirus (KSHV) latency-associated nuclear antigen (LANA), facilitating latency | ||
J Cell Mol Med Low levels of AMPK promote epithelial-mesenchymal transition in lung cancer primarily through HDAC4- and HDAC5-mediated metabolic reprogramming.
|



















