Tested Applications
| Positive WB detected in | CHO cells, HEK-293 cells, mouse liver tissue, rat liver tissue |
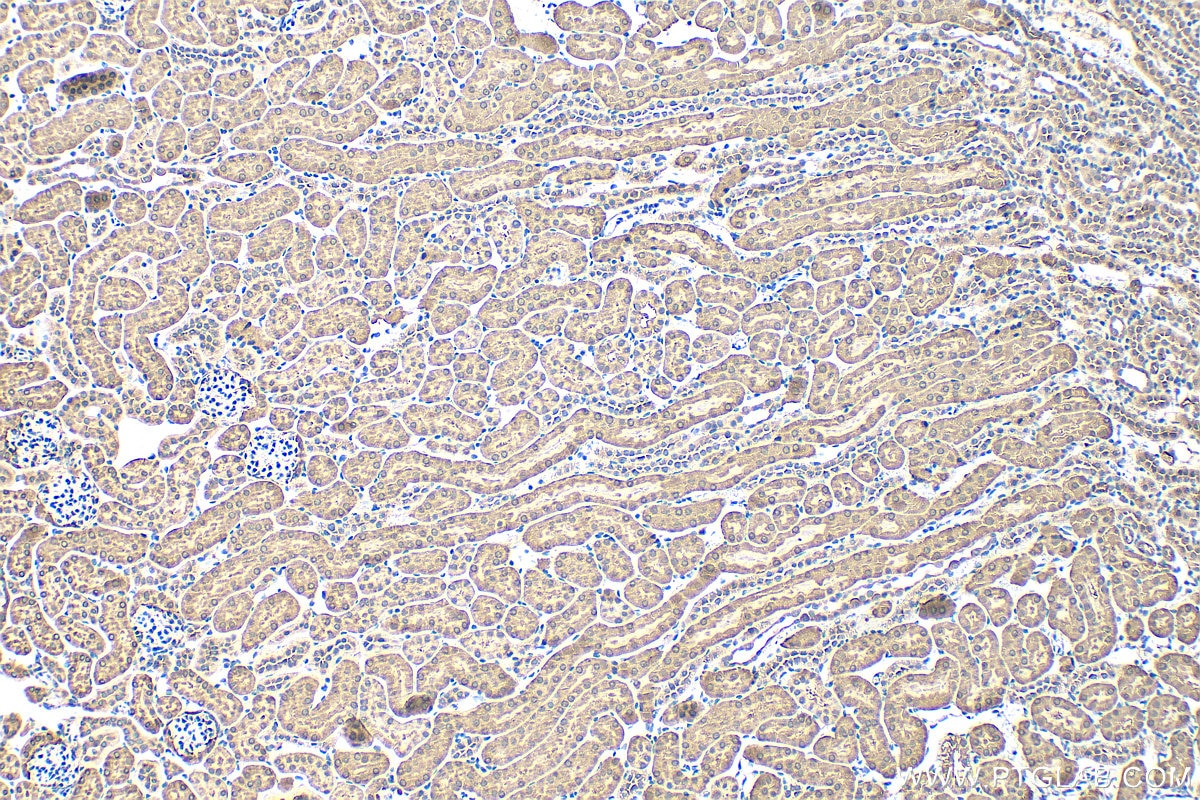
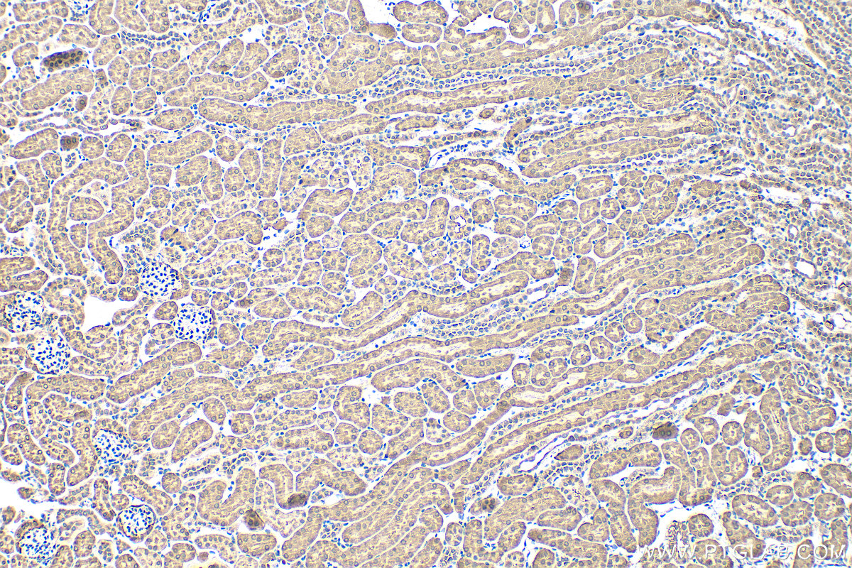
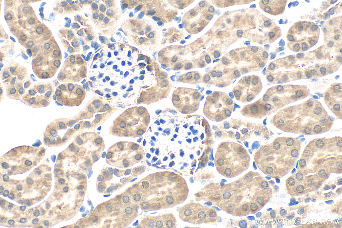
| Positive IHC detected in | human kidney tissue, mouse kidney tissue Note: suggested antigen retrieval with TE buffer pH 9.0; (*) Alternatively, antigen retrieval may be performed with citrate buffer pH 6.0 |
| Positive IF/ICC detected in | MDCK cells |
Recommended dilution
| Application | Dilution |
|---|---|
| Western Blot (WB) | WB : 1:1000-1:4000 |
| Immunohistochemistry (IHC) | IHC : 1:100-1:400 |
| Immunofluorescence (IF)/ICC | IF/ICC : 1:50-1:500 |
| It is recommended that this reagent should be titrated in each testing system to obtain optimal results. | |
| Sample-dependent, Check data in validation data gallery. | |
Published Applications
| WB | See 25 publications below |
| IHC | See 4 publications below |
| IF | See 3 publications below |
Product Information
15712-1-AP targets GSS in WB, IHC, IF/ICC, ELISA applications and shows reactivity with human, mouse, rat, pig, canine, hamster samples.
| Tested Reactivity | human, mouse, rat, pig, canine, hamster |
| Cited Reactivity | human, mouse, rat, pig, chicken |
| Host / Isotype | Rabbit / IgG |
| Class | Polyclonal |
| Type | Antibody |
| Immunogen |
CatNo: Ag8338 Product name: Recombinant human GSS protein Source: e coli.-derived, PGEX-4T Tag: GST Domain: 125-474 aa of BC007927 Sequence: RSDYMFQRSADGSPALKQIEINTISASFGGLASRTPAVHRHVLSVLSKTKEAGKILSNNPSKGLALGIAKAWELYGSPNALVLLIAQEKERNIFDQRAIENELLARNIHVIRRTFEDISEKGSLDQDRRLFVDGQEIAVVYFRDGYMPRQYSLQNWEARLLLERSHAAKCPDIATQLAGTKKVQQELSRPGMLEMLLPGQPEAVARLRATFAGLYSLDVGEEGDQAIAEALAAPSRFVLKPQREGGGNNLYGEEMVQALKQLKDSEERASYILMEKIEPEPFENCLLRPGSPARVVQCISELGIFGVYVRQEKTLVMNKHVGHLLRTKAIEHADGGVAAGVAVLDNPYPV Predict reactive species |
| Full Name | glutathione synthetase |
| Calculated Molecular Weight | 474 aa, 52 kDa |
| Observed Molecular Weight | 52 kDa |
| GenBank Accession Number | BC007927 |
| Gene Symbol | GSS |
| Gene ID (NCBI) | 2937 |
| RRID | AB_2878171 |
| Conjugate | Unconjugated |
| Form | Liquid |
| Purification Method | Antigen affinity purification |
| UNIPROT ID | P48637 |
| Storage Buffer | PBS with 0.02% sodium azide and 50% glycerol, pH 7.3. |
| Storage Conditions | Store at -20°C. Stable for one year after shipment. Aliquoting is unnecessary for -20oC storage. 20ul sizes contain 0.1% BSA. |
Protocols
| Product Specific Protocols | |
|---|---|
| IF protocol for GSS antibody 15712-1-AP | Download protocol |
| IHC protocol for GSS antibody 15712-1-AP | Download protocol |
| WB protocol for GSS antibody 15712-1-AP | Download protocol |
| Standard Protocols | |
|---|---|
| Click here to view our Standard Protocols |
Publications
| Species | Application | Title |
|---|---|---|
ACS Nano Engineered Extracellular Vesicle-Delivered CRISPR/Cas9 for Radiotherapy Sensitization of Glioblastoma | ||
Adv Sci (Weinh) Paracrine Orchestration of Tumor Microenvironment Remodeling Induced by GLO1 Potentiates Lymph Node Metastasis in Breast Cancer | ||
Oxid Med Cell Longev IMCA Induces Ferroptosis Mediated by SLC7A11 through the AMPK/mTOR Pathway in Colorectal Cancer. | ||
Redox Biol γ-glutamylcysteine exhibits anti-inflammatory effects by increasing cellular glutathione level. | ||
Pharmacol Res Phyto-sesquiterpene lactones DET and DETD-35 induce ferroptosis in vemurafenib sensitive and resistant melanoma via GPX4 inhibition and metabolic reprogramming. | ||
FASEB J Taurine treatment prevents derangement of the hepatic γ-glutamyl cycle and methylglyoxal metabolism in a mouse model of classical homocystinuria: regulatory crosstalk between thiol and sulfinic acid metabolism. |
Reviews
The reviews below have been submitted by verified Proteintech customers who received an incentive for providing their feedback.
FH Hua (Verified Customer) (08-05-2021) | This is the second tube I purchased from ProteinTech. I got my first tube of this antibody in 2016 and it worked well. However, it suddenly stopped working last year. There is no signal at all on the membrane. Thus, I purchased the second tube in May 2021 and I just used it on my experiments as my previous record showing it is working well in WB. Unfortunately, I couldn't get any signal at all. I ran two tests with this antibody and it shows it stopping work with mouse liver.
|













