Tested Applications
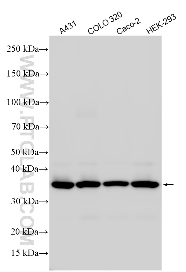
| Positive WB detected in | A431 cells, COLO 320 cells, HEK-293 cells, HeLa cells, HepG2 cells, Jurkat cells, K-562 cells, Caco-2 cells |
| Positive IHC detected in | human colon tissue, human kidney tissue Note: suggested antigen retrieval with TE buffer pH 9.0; (*) Alternatively, antigen retrieval may be performed with citrate buffer pH 6.0 |
| Positive IF/ICC detected in | HeLa cells |
Recommended dilution
| Application | Dilution |
|---|---|
| Western Blot (WB) | WB : 1:5000-1:50000 |
| Immunohistochemistry (IHC) | IHC : 1:50-1:500 |
| Immunofluorescence (IF)/ICC | IF/ICC : 1:50-1:500 |
| It is recommended that this reagent should be titrated in each testing system to obtain optimal results. | |
| Sample-dependent, Check data in validation data gallery. | |
Published Applications
| WB | See 3 publications below |
| IF | See 1 publications below |
| IP | See 1 publications below |
Product Information
25292-1-AP targets EXOSC7 in WB, IHC, IF/ICC, IP, ELISA applications and shows reactivity with human, mouse samples.
| Tested Reactivity | human, mouse |
| Cited Reactivity | human, yeast |
| Host / Isotype | Rabbit / IgG |
| Class | Polyclonal |
| Type | Antibody |
| Immunogen |
CatNo: Ag18212 Product name: Recombinant human EXOSC7 protein Source: e coli.-derived, PGEX-4T Tag: GST Domain: 1-291 aa of BC012831 Sequence: MASVTLSEAEKVYIVHGVQEDLRVDGRGCEDYRCVEVETDVVSNTSGSARVKLGHTDILVGVKAEMGTPKLEKPNEGYLEFFVDCSASATPEFEGRGGDDLGTEIANTLYRIFNNKSSVDLKTLCISPREHCWVLYVDVLLLECGGNLFDAISIAVKAALFNTRIPRVRVLEDEEGSKDIELSDDPYDCIRLSVENVPCIVTLCKIGYRHVVDATLQEEACSLASLLVSVTSKGVVTCMRKVGKGSLDPESIFEMMETGKRVGKVLHASLQSVLHKEESLGPKRQKVGFLG Predict reactive species |
| Full Name | exosome component 7 |
| Calculated Molecular Weight | 291 aa, 32 kDa |
| Observed Molecular Weight | 37 kDa |
| GenBank Accession Number | BC012831 |
| Gene Symbol | EXOSC7 |
| Gene ID (NCBI) | 23016 |
| RRID | AB_2880011 |
| Conjugate | Unconjugated |
| Form | Liquid |
| Purification Method | Antigen affinity purification |
| UNIPROT ID | Q15024 |
| Storage Buffer | PBS with 0.02% sodium azide and 50% glycerol, pH 7.3. |
| Storage Conditions | Store at -20°C. Stable for one year after shipment. Aliquoting is unnecessary for -20oC storage. 20ul sizes contain 0.1% BSA. |
Background Information
In the nucleus, the RNA exosome complex is involved in proper maturation of stable RNA species such as rRNA, snRNA and snoRNA, in the elimination of RNA processing by-products and non-coding 'pervasive' transcripts, such as antisense RNA species and promoter-upstream transcripts and of mRNAs with processing defects, thereby limiting or excluding their export to the cytoplasm. EXOSC7 also named as RRP42 or EAP1 is a 291 amino acid protein, which belongs to the RNase PH family. EXOSC7 is one of the six RNase-PH domain subunits of the exosome and required for the processing of the 7S pre-RNA
Protocols
| Product Specific Protocols | |
|---|---|
| IF protocol for EXOSC7 antibody 25292-1-AP | Download protocol |
| IHC protocol for EXOSC7 antibody 25292-1-AP | Download protocol |
| WB protocol for EXOSC7 antibody 25292-1-AP | Download protocol |
| Standard Protocols | |
|---|---|
| Click here to view our Standard Protocols |
Publications
| Species | Application | Title |
|---|---|---|
Life Sci Alliance Low expression of EXOSC2 protects against clinical COVID-19 and impedes SARS-CoV-2 replication | ||
Cell Rep ZNF692 organizes a hub specialized in 40S ribosomal subunit maturation enhancing translation in rapidly proliferating cells | ||
G3 (Bethesda) Humanized Saccharomyces cerevisiae provides a facile and effective tool to identify damaging human variants that cause exosomopathies |
Reviews
The reviews below have been submitted by verified Proteintech customers who received an incentive for providing their feedback.
FH Aleksandr (Verified Customer) (07-29-2025) | Great antibody
|
FH Tsimafei (Verified Customer) (12-04-2022) | 40µg of total protein were resolved on the gel. Incubation was done ON at 4C
![]() |




























