Tested Applications
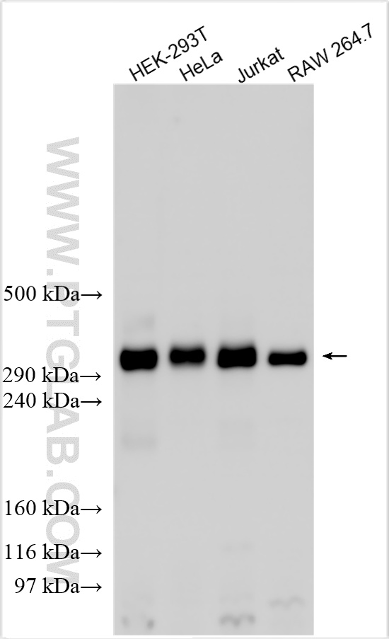
| Positive WB detected in | HEK-293T cells, MCF-7 cells, HeLa cells, Jurkat cells, RAW 264.7 cells, PC-3 cells |
It is recommended to use NETN lysis buffer for sample preparation during WB detection.
Recommended dilution
| Application | Dilution |
|---|---|
| Western Blot (WB) | WB : 1:500-1:1000 |
| It is recommended that this reagent should be titrated in each testing system to obtain optimal results. | |
| Sample-dependent, Check data in validation data gallery. | |
Published Applications
| WB | See 7 publications below |
| IHC | See 2 publications below |
| IF | See 1 publications below |
Product Information
20695-1-AP targets p300 in WB, IHC, IF, ELISA applications and shows reactivity with human, mouse samples.
| Tested Reactivity | human, mouse |
| Cited Reactivity | human, mouse |
| Host / Isotype | Rabbit / IgG |
| Class | Polyclonal |
| Type | Antibody |
| Immunogen |
Peptide Predict reactive species |
| Full Name | E1A binding protein p300 |
| Calculated Molecular Weight | 264 kDa |
| Observed Molecular Weight | 300 kDa |
| GenBank Accession Number | NM_001429 |
| Gene Symbol | EP300 |
| Gene ID (NCBI) | 2033 |
| RRID | AB_3085614 |
| Conjugate | Unconjugated |
| Form | Liquid |
| Purification Method | Antigen affinity purification |
| UNIPROT ID | Q09472 |
| Storage Buffer | PBS with 0.02% sodium azide and 50% glycerol, pH 7.3. |
| Storage Conditions | Store at -20°C. Stable for one year after shipment. Aliquoting is unnecessary for -20oC storage. 20ul sizes contain 0.1% BSA. |
Background Information
p300 is a 300 kDa global transcriptional coactivator with histone acetyltransferase (HAT) activity. p300 binds to chromosomal histones and modulates the chromatin conformation by acetylation of its histones, leading to activation of various gene transcriptions. p300 plays a critical role in DNA repair synthesis after DNA damage induced by ultraviolet or radiation. p300 is overexpressed in various types of cancer, which is associated with worse patient outcomes (PMID: 27322077).
Protocols
| Product Specific Protocols | |
|---|---|
| WB protocol for p300 antibody 20695-1-AP | Download protocol |
| Standard Protocols | |
|---|---|
| Click here to view our Standard Protocols |
Publications
| Species | Application | Title |
|---|---|---|
Exp Cell Res The Ku protein family regulates hyperglycemia-induced vascular endothelial cell inflammation by modulating P300 levels | ||
Adv Sci (Weinh) UGDH Lactylation Aggravates Osteoarthritis by Suppressing Glycosaminoglycan Synthesis and Orchestrating Nucleocytoplasmic Transport to Activate MAPK Signaling | ||
Gynecol Endocrinol SIRT5 regulates granulosa cell proliferation and apoptosis in polycystic ovarian syndrome via desuccinylation of GLI1 | ||
Commun Biol Exosome-derived circ-001422 promotes tumor-associated macrophage M2 polarization to accelerate the progression of glioma | ||
Cancer Lett NEAT1 Promotes the Perineural Invasion of Pancreatic Cancer via the E2F1/GDNF Axis | ||
Cell Biochem Biophys The Paeonol of Total Glucosides of White Peony Regulates the Differentiation of CD4+Treg Cells through the EP300/Foxp3 Axis to Relieve Pulmonary Fibrosis in Mice |



