Tested Applications
| Positive WB detected in | HepG2 cells, HeLa cells, human brain tissue, human liver tissue, L02 cells, mouse heart tissue, mouse liver tissue, rat liver tissue, rat heart tissue |
| Positive IP detected in | mouse liver tissue |
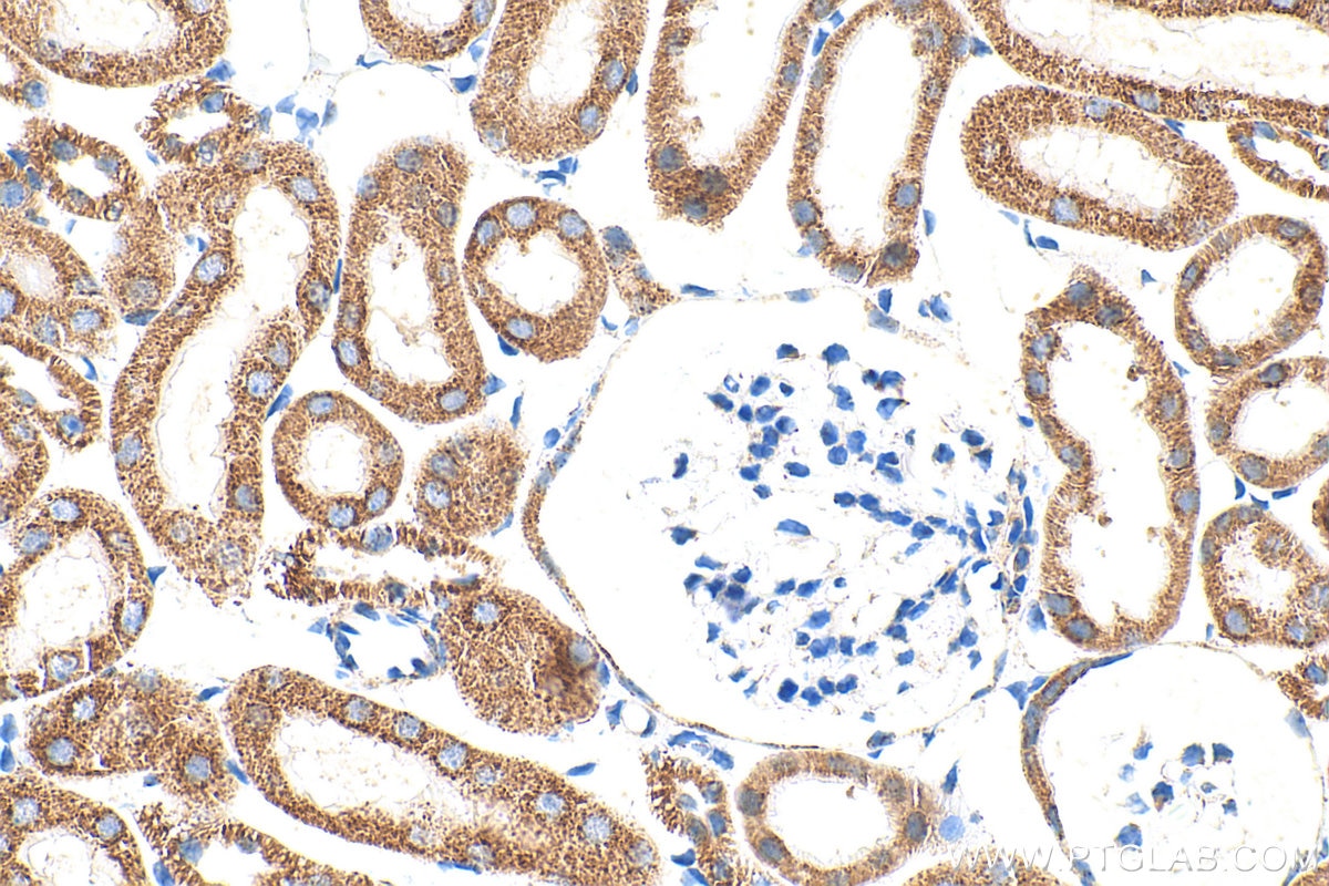
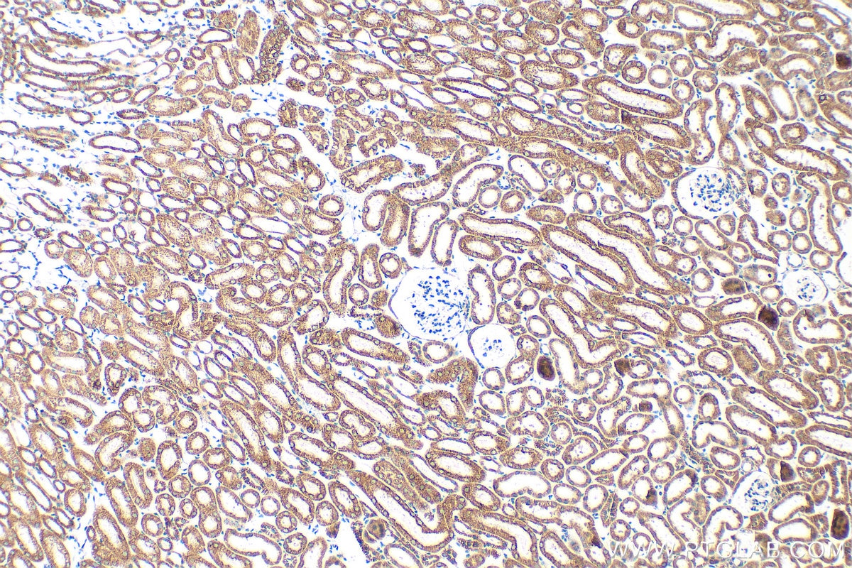
| Positive IHC detected in | human liver cancer tissue, human heart tissue, human kidney tissue, human testis tissue, human liver tissue Note: suggested antigen retrieval with TE buffer pH 9.0; (*) Alternatively, antigen retrieval may be performed with citrate buffer pH 6.0 |
| Positive IF/ICC detected in | HepG2 cells |
Recommended dilution
| Application | Dilution |
|---|---|
| Western Blot (WB) | WB : 1:10000-1:500000 |
| Immunoprecipitation (IP) | IP : 0.5-4.0 ug for 1.0-3.0 mg of total protein lysate |
| Immunohistochemistry (IHC) | IHC : 1:500-1:2000 |
| Immunofluorescence (IF)/ICC | IF/ICC : 1:50-1:500 |
| It is recommended that this reagent should be titrated in each testing system to obtain optimal results. | |
| Sample-dependent, Check data in validation data gallery. | |
Published Applications
| KD/KO | See 3 publications below |
| WB | See 32 publications below |
| IHC | See 5 publications below |
| IF | See 2 publications below |
| IP | See 2 publications below |
| CoIP | See 1 publications below |
Product Information
16431-1-AP targets DLD in WB, IHC, IF/ICC, IP, CoIP, ELISA applications and shows reactivity with human, mouse, rat samples.
| Tested Reactivity | human, mouse, rat |
| Cited Reactivity | human, mouse, rat |
| Host / Isotype | Rabbit / IgG |
| Class | Polyclonal |
| Type | Antibody |
| Immunogen |
CatNo: Ag9729 Product name: Recombinant human DLD protein Source: e coli.-derived, PGEX-4T Tag: GST Domain: 160-509 aa of BC018696 Sequence: NQVTATKADGGTQVIDTKNILIATGSEVTPFPGITIDEDTIVSSTGALSLKKVPEKMVVIGAGVIGVELGSVWQRLGADVTAVEFLGHVGGVGIDMEISKNFQRILQKQGFKFKLNTKVTGATKKSDGKIDVSIEAASGGKAEVITCDVLLVCIGRRPFTKNLGLEELGIELDPRGRIPVNTRFQTKIPNIYAIGDVVAGPMLAHKAEDEGIICVEGMAGGAVHIDYNCVPSVIYTHPEVAWVGKSEEQLKEEGIEYKVGKFPFAANSRAKTNADTDGMVKILGQKSTDRVLGAHILGPGAGEMVNEAALALEYGASCEDIARVCHAHPTLSEAFREANLAASFGKSINF Predict reactive species |
| Full Name | dihydrolipoamide dehydrogenase |
| Calculated Molecular Weight | 509 aa, 54 kDa |
| Observed Molecular Weight | 56 kDa |
| GenBank Accession Number | BC018696 |
| Gene Symbol | DLD |
| Gene ID (NCBI) | 1738 |
| RRID | AB_2091888 |
| Conjugate | Unconjugated |
| Form | Liquid |
| Purification Method | Antigen affinity purification |
| UNIPROT ID | P09622 |
| Storage Buffer | PBS with 0.02% sodium azide and 50% glycerol, pH 7.3. |
| Storage Conditions | Store at -20°C. Stable for one year after shipment. Aliquoting is unnecessary for -20oC storage. 20ul sizes contain 0.1% BSA. |
Background Information
DLD(Dihydrolipoyl dehydrogenase, mitochondrial) is also named as GCSL, LAD, PHE3 and belongs to the class-I pyridine nucleotide-disulfide oxidoreductase family. It catalyzes the oxidation of dihydrolipoamide, hE3 uses two molecules : non-covalently bound FAD and a transiently bound substrate, NAD+. DLD is involved in the hyperactivation of spermatazoa during capacitation and in the spermatazoal acrosome reaction.
Protocols
| Product Specific Protocols | |
|---|---|
| IF protocol for DLD antibody 16431-1-AP | Download protocol |
| IHC protocol for DLD antibody 16431-1-AP | Download protocol |
| IP protocol for DLD antibody 16431-1-AP | Download protocol |
| WB protocol for DLD antibody 16431-1-AP | Download protocol |
| Standard Protocols | |
|---|---|
| Click here to view our Standard Protocols |
Publications
| Species | Application | Title |
|---|---|---|
Cell Res Hypoxia induces mitochondrial protein lactylation to limit oxidative phosphorylation | ||
Nat Cell Biol RIP3 targets pyruvate dehydrogenase complex to increase aerobic respiration in TNF-induced necroptosis
| ||
J Hepatol OGDHL silencing promotes hepatocellular carcinoma by reprogramming glutamine metabolism. | ||
Nat Commun Blocking glycine utilization inhibits multiple myeloma progression by disrupting glutathione balance.
| ||
Redox Biol Transketolase in human Müller cells is critical to resist light stress through the pentose phosphate and NRF2 pathways. |
Reviews
The reviews below have been submitted by verified Proteintech customers who received an incentive for providing their feedback.
FH Hua (Verified Customer) (07-12-2023) | Great antibody for WB. Very strong signal and very clean background.
![]() |












































