Tested Applications
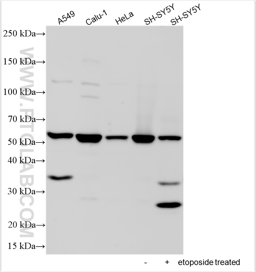
| Positive WB detected in | SH-SY5Y cells, A549 cells, Y79 cells, HeLa cells, Calu-1 cells, untreated, and etoposide (60uM, 5h) treated SH-SY5Y cells |
| Positive IP detected in | SH-SY5Y cells |
| Positive IHC detected in | mouse brain tissue, mouse small intestine tissue Note: suggested antigen retrieval with TE buffer pH 9.0; (*) Alternatively, antigen retrieval may be performed with citrate buffer pH 6.0 |
| Positive FC (Intra) detected in | SH-SY5Y cells |
Recommended dilution
| Application | Dilution |
|---|---|
| Western Blot (WB) | WB : 1:1000-1:8000 |
| Immunoprecipitation (IP) | IP : 0.5-4.0 ug for 1.0-3.0 mg of total protein lysate |
| Immunohistochemistry (IHC) | IHC : 1:200-1:800 |
| Flow Cytometry (FC) (INTRA) | FC (INTRA) : 0.40 ug per 10^6 cells in a 100 µl suspension |
| It is recommended that this reagent should be titrated in each testing system to obtain optimal results. | |
| Sample-dependent, Check data in validation data gallery. | |
Published Applications
| KD/KO | See 1 publications below |
| WB | See 40 publications below |
| IHC | See 19 publications below |
| IF | See 14 publications below |
| CoIP | See 1 publications below |
Product Information
13075-1-AP targets DFNA5/GSDME in WB, IHC, IF, FC (Intra), IP, CoIP, ELISA applications and shows reactivity with human, mouse samples.
| Tested Reactivity | human, mouse |
| Cited Reactivity | human, mouse, rat |
| Host / Isotype | Rabbit / IgG |
| Class | Polyclonal |
| Type | Antibody |
| Immunogen |
CatNo: Ag3746 Product name: Recombinant human DFNA5 protein Source: e coli.-derived, PGEX-4T Tag: GST Domain: 111-460 aa of BC019689 Sequence: SQSSFGTLRKQEVDLQQLIRDSAERTINLRNPVLQQVLEGRNEVLCVLTQKITTMQKCVISEHMQVEEKCGGIVGIQTKTVQVSATEDGNVTKDSNVVLEIPAATTIAYGVIELYVKLDGQFEFCLLRGKQGGFENKKRIDSVYLDPLVFREFAFIDMPDAAHGISSQDGPLSVLKQATLLLERNFHPFAELPEPQQTALSDIFQAVLFDDELLMVLEPVCDDLVSGLSPTVAVLGELKPRQQQDLVAFLQLVGCSLQGGCPGPEDAGSKQLFMTAYFLVSALAEMPDSAAALLGTCCKLQIIPTLCHLLRALSDDGVSDLEDPTLTPLKDTERFGIVQRLFASADISL Predict reactive species |
| Full Name | deafness, autosomal dominant 5 |
| Calculated Molecular Weight | 496 aa, 55 kDa |
| Observed Molecular Weight | 55 kDa, 35 kDa, 25 kDa |
| GenBank Accession Number | BC019689 |
| Gene Symbol | DFNA5 |
| Gene ID (NCBI) | 1687 |
| RRID | AB_2093053 |
| Conjugate | Unconjugated |
| Form | Liquid |
| Purification Method | Antigen affinity purification |
| UNIPROT ID | O60443 |
| Storage Buffer | PBS with 0.02% sodium azide and 50% glycerol, pH 7.3. |
| Storage Conditions | Store at -20°C. Stable for one year after shipment. Aliquoting is unnecessary for -20oC storage. 20ul sizes contain 0.1% BSA. |
Background Information
DFNA5 (deafness, autosomal dominant 5), also known as GSDME or ICERE-1, is a 496 amino acid protein that is expressed in cochlea tissue, as well as in placenta, brain, heart, liver, lung and pancreas. Defects in the gene encoding DFNA5 are the cause of non-syndromic sensorineural deafness autosomal dominant type 5 (DFNA5), a form of sensorineural hearing loss that results from damage to one of various structures that receive sound information in the brain. GSDME produced two GSDME fragments with MW of 35 kDa and 25 kDa.
Protocols
| Product Specific Protocols | |
|---|---|
| FC protocol for DFNA5/GSDME antibody 13075-1-AP | Download protocol |
| IHC protocol for DFNA5/GSDME antibody 13075-1-AP | Download protocol |
| IP protocol for DFNA5/GSDME antibody 13075-1-AP | Download protocol |
| WB protocol for DFNA5/GSDME antibody 13075-1-AP | Download protocol |
| Standard Protocols | |
|---|---|
| Click here to view our Standard Protocols |
Publications
| Species | Application | Title |
|---|---|---|
Cell Res Mannose antagonizes GSDME-mediated pyroptosis through AMPK activated by metabolite GlcNAc-6P | ||
Acta Pharm Sin B A high-throughput Gaussia luciferase reporter assay for screening potential gasdermin E activators against pancreatic cancer | ||
J Control Release Enhancing cell pyroptosis with biomimetic nanoparticles for melanoma chemo-immunotherapy | ||
Cell Death Differ GSDME-mediated pyroptosis promotes inflammation and fibrosis in obstructive nephropathy. | ||
J Nanobiotechnology Hydralazine loaded nanodroplets combined with ultrasound-targeted microbubble destruction to induce pyroptosis for tumor treatment | ||
Cell Death Dis TNFSF15 inhibits progression of diabetic retinopathy by blocking pyroptosis via interacting with GSDME |
Reviews
The reviews below have been submitted by verified Proteintech customers who received an incentive for providing their feedback.
FH James (Verified Customer) (11-18-2022) | Used for GSDME detection in splenocyte extracts
![]() |
FH Evelina (Verified Customer) (03-14-2022) | Good antibody to detect GSDME in cell lysates. Although does detect one of the proteins within the ladder (approx.15kDa) when using stronger ECL.
![]() |

























