Tested Applications
| Positive WB detected in | human testis tissue, mouse testis tissue, rat testis tissue |
| Positive IP detected in | mouse testis tissue |
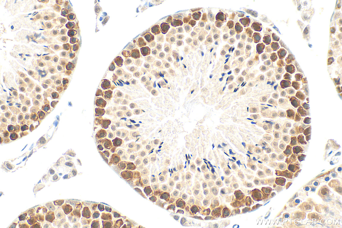
| Positive IHC detected in | rat testis tissue, mouse testis tissue Note: suggested antigen retrieval with TE buffer pH 9.0; (*) Alternatively, antigen retrieval may be performed with citrate buffer pH 6.0 |
| Positive IF-P detected in | mouse testis tissue |
Recommended dilution
| Application | Dilution |
|---|---|
| Western Blot (WB) | WB : 1:5000-1:50000 |
| Immunoprecipitation (IP) | IP : 0.5-4.0 ug for 1.0-3.0 mg of total protein lysate |
| Immunohistochemistry (IHC) | IHC : 1:300-1:1200 |
| Immunofluorescence (IF)-P | IF-P : 1:200-1:800 |
| It is recommended that this reagent should be titrated in each testing system to obtain optimal results. | |
| Sample-dependent, Check data in validation data gallery. | |
Published Applications
| WB | See 3 publications below |
| IF | See 3 publications below |
Product Information
12633-1-AP targets DAZL in WB, IHC, IF-P, IP, ELISA applications and shows reactivity with human, mouse, rat samples.
| Tested Reactivity | human, mouse, rat |
| Cited Reactivity | human, mouse, rat, chicken |
| Host / Isotype | Rabbit / IgG |
| Class | Polyclonal |
| Type | Antibody |
| Immunogen |
CatNo: Ag3326 Product name: Recombinant human DAZL protein Source: e coli.-derived, PGEX-4T Tag: GST Domain: 1-295 aa of BC027595 Sequence: MSTANPETPNSTISREASTQSSSAATSQGYILPEGKIMPNTVFVGGIDVRMDETEIRSFFARYGSVKEVKIITDRTGVSKGYGFVSFFNDVDVQKIVESQINFHGKKLKLGPAIRKQNLCAYHVQPRPLVFNHPPPPQFQNVWTNPNTETYMQPTTTMNPITQYVQAYPTYPNSPVQVITGYQLPVYNYQMPPQWPVGEQRSYVVPPAYSAVNYHCNEVDPGAEVVPNECSVHEATPPSGNGPQKKSVDRSIQTVVSCLFNPENRLRNSVVTQDDYFKDKRVHHFRRSRAMLKSV Predict reactive species |
| Full Name | deleted in azoospermia-like |
| Calculated Molecular Weight | 295 aa, 33 kDa |
| Observed Molecular Weight | 37 kDa |
| GenBank Accession Number | BC027595 |
| Gene Symbol | DAZL |
| Gene ID (NCBI) | 1618 |
| RRID | AB_2277011 |
| Conjugate | Unconjugated |
| Form | Liquid |
| Purification Method | Antigen affinity purification |
| UNIPROT ID | Q92904 |
| Storage Buffer | PBS with 0.02% sodium azide and 50% glycerol, pH 7.3. |
| Storage Conditions | Store at -20°C. Stable for one year after shipment. Aliquoting is unnecessary for -20oC storage. 20ul sizes contain 0.1% BSA. |
Background Information
DAZL proteins are germ cell-specific RNA-binding proteins and are considered major regulators of spermatogenesis. Because DAZL is a novel protein expressed specifically in germ cells, it is widely employed as a germ cell marker. In humans, immunostaining shows DAZL is abundant in the cytoplasm of primary spermatocytes, but scarce in spermatogonia.
Protocols
| Product Specific Protocols | |
|---|---|
| IF protocol for DAZL antibody 12633-1-AP | Download protocol |
| IHC protocol for DAZL antibody 12633-1-AP | Download protocol |
| IP protocol for DAZL antibody 12633-1-AP | Download protocol |
| WB protocol for DAZL antibody 12633-1-AP | Download protocol |
| Standard Protocols | |
|---|---|
| Click here to view our Standard Protocols |
Publications
| Species | Application | Title |
|---|---|---|
Environ Pollut Wnt10a downregulation contributes to MEHP-induced disruption of self-renewal and differentiation balance and proliferation inhibition in GC-1 cells: Insights from multiple transcriptomic profiling | ||
Stem Cell Res Ther Concentrated exosomes from menstrual blood-derived stromal cells improves ovarian activity in a rat model of premature ovarian insufficiency. | ||
Proteomics Systematic in-depth proteomic analysis of mitochondria-associated endoplasmic reticulum membranes (MAM) in mouse and human testes. | ||
Front Endocrinol (Lausanne) Restoring Impaired Fertility Through Diet: Observations of Switching From High-Fat Diet During Puberty to Normal Diet in Adulthood Among Obese Male Mice. | ||
Front Genome Ed Hyperthermia suppresses the biological characteristics and migration of chicken primordial germ cells |















