Tested Applications
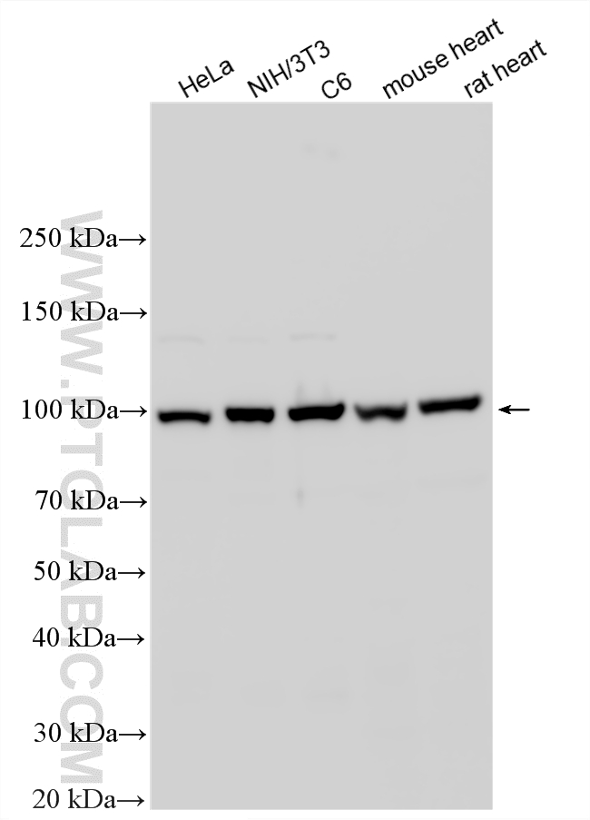
| Positive WB detected in | HeLa cells, mouse spleen tissue, NIH/3T3 cells, C6 cells, mouse heart tissue, rat heart tissue |
| Positive IHC detected in | human heart tissue, human colon tissue Note: suggested antigen retrieval with TE buffer pH 9.0; (*) Alternatively, antigen retrieval may be performed with citrate buffer pH 6.0 |
| Positive IF-P detected in | mouse heart tissue, rat heart tissue, mouse skeletal muscle tissue |
| Positive IF/ICC detected in | HSkMC cells |
| Positive FC (Intra) detected in | A431 cells |
Recommended dilution
| Application | Dilution |
|---|---|
| Western Blot (WB) | WB : 1:5000-1:50000 |
| Immunohistochemistry (IHC) | IHC : 1:50-1:500 |
| Immunofluorescence (IF)-P | IF-P : 1:500-1:2000 |
| Immunofluorescence (IF)/ICC | IF/ICC : 1:50-1:500 |
| Flow Cytometry (FC) (INTRA) | FC (INTRA) : 0.40 ug per 10^6 cells in a 100 µl suspension |
| It is recommended that this reagent should be titrated in each testing system to obtain optimal results. | |
| Sample-dependent, Check data in validation data gallery. | |
Published Applications
| WB | See 31 publications below |
| IHC | See 2 publications below |
| IF | See 22 publications below |
Product Information
11313-2-AP targets Alpha Actinin in WB, IHC, IF/ICC, IF-P, FC (Intra), ELISA applications and shows reactivity with human, mouse, rat samples.
| Tested Reactivity | human, mouse, rat |
| Cited Reactivity | human, mouse, rat |
| Host / Isotype | Rabbit / IgG |
| Class | Polyclonal |
| Type | Antibody |
| Immunogen |
CatNo: Ag1859 Product name: Recombinant human a-Actinin protein Source: e coli.-derived, PGEX-4T Tag: GST Domain: 543-892 aa of BC015766 Sequence: EIQGLTTAHEQFKATLPDADKERLAILGIHNEVSKIVQTYHVNMAGTNPYTTITPQEINGKWDHVRQLVPRRDQALTEEHARQQHNERLRKQFGAQANVIGPWIQTKMEEIGRISIEMHGTLEDQLSHLRQYEKSIVNYKPKIDQLEGDHQLIQEALIFDNKHTNYTMEHIRVGWEQLLTTIARTINEVENQILTRDAKGISQEQMNEFRASFNHFDRDHSGTLGPEEFKACLISLGYDIGNDPQGEAEFARIMSIVDPNRLGVVTFQAFIDFMSRETADTDTADQVMASFKILAGDKNYITMDELRRELPPDQAEYCIARMAPYTGPDSVPGALDYMSFSTALYGESDL Predict reactive species |
| Full Name | actinin, alpha 1 |
| Calculated Molecular Weight | 103 kDa |
| Observed Molecular Weight | 100-105 kDa |
| GenBank Accession Number | BC015766 |
| Gene Symbol | Alpha Actinin |
| Gene ID (NCBI) | 87 |
| RRID | AB_2223815 |
| Conjugate | Unconjugated |
| Form | Liquid |
| Purification Method | Antigen affinity purification |
| UNIPROT ID | P12814 |
| Storage Buffer | PBS with 0.02% sodium azide and 50% glycerol, pH 7.3. |
| Storage Conditions | Store at -20°C. Stable for one year after shipment. Aliquoting is unnecessary for -20oC storage. 20ul sizes contain 0.1% BSA. |
Background Information
Alpha Actinins are highly conserved actin-binding proteins that form antiparallel homodimers with the actin-binding domains on each end of the molecule, allowing crosslinking of actin molecules. There are four alpha actinin isoforms identified: two ubiquitously expressed cytoskeletal isoforms (ACTN1 and ACTN4) and two striated muscle-specific sarcomeric isoforms (ACTN2 and ACTN3). ACTN1 is also alternatively spliced to form smooth muscle or brain specific isoforms. This antibody recognize endogenous ACTN1, while it may cross-react with ACTN2 and ACTN4.
Protocols
| Product Specific Protocols | |
|---|---|
| FC protocol for Alpha Actinin antibody 11313-2-AP | Download protocol |
| IF protocol for Alpha Actinin antibody 11313-2-AP | Download protocol |
| IHC protocol for Alpha Actinin antibody 11313-2-AP | Download protocol |
| WB protocol for Alpha Actinin antibody 11313-2-AP | Download protocol |
| Standard Protocols | |
|---|---|
| Click here to view our Standard Protocols |
Publications
| Species | Application | Title |
|---|---|---|
Adv Sci (Weinh) LncRNA Foxo6os as a Novel " Scaffold" Mediates MYBPC3 in Combating Pathological Cardiac Hypertrophy and Heart Failure | ||
Redox Biol MK-886 protects against cardiac ischaemia/reperfusion injury by activating proteasome-Keap1-NRF2 signalling | ||
J Exp Clin Cancer Res ACTN1 promotes HNSCC tumorigenesis and cisplatin resistance by enhancing MYH9-dependent degradation of GSK-3β and integrin β1-mediated phosphorylation of FAK | ||
Adv Healthc Mater A ROS-Responsive Liposomal Composite Hydrogel Integrating Improved Mitochondrial Function and Pro-Angiogenesis for Efficient Treatment of Myocardial Infarction. | ||
Cell Death Differ Inhibition of cGAS-STING by JQ1 alleviates oxidative stress-induced retina inflammation and degeneration. | ||
Transl Res Different roles of BAG3 in cardiac physiological hypertrophy and pathological remodeling. |
Reviews
The reviews below have been submitted by verified Proteintech customers who received an incentive for providing their feedback.
FH Jason (Verified Customer) (10-28-2019) | Excellent antibody with consistent results at a 1/100 dilution on formalin fixed tissue.
![]() |
FH Steeve (Verified Customer) (01-08-2018) | Tested with another actinin mouse. Gave 1:1 ratio actinin:actinin
|




































