Tested Applications
| Positive WB detected in | Calyculin A treated NIH/3T3 cells, Calyculin A treated HeLa cells |
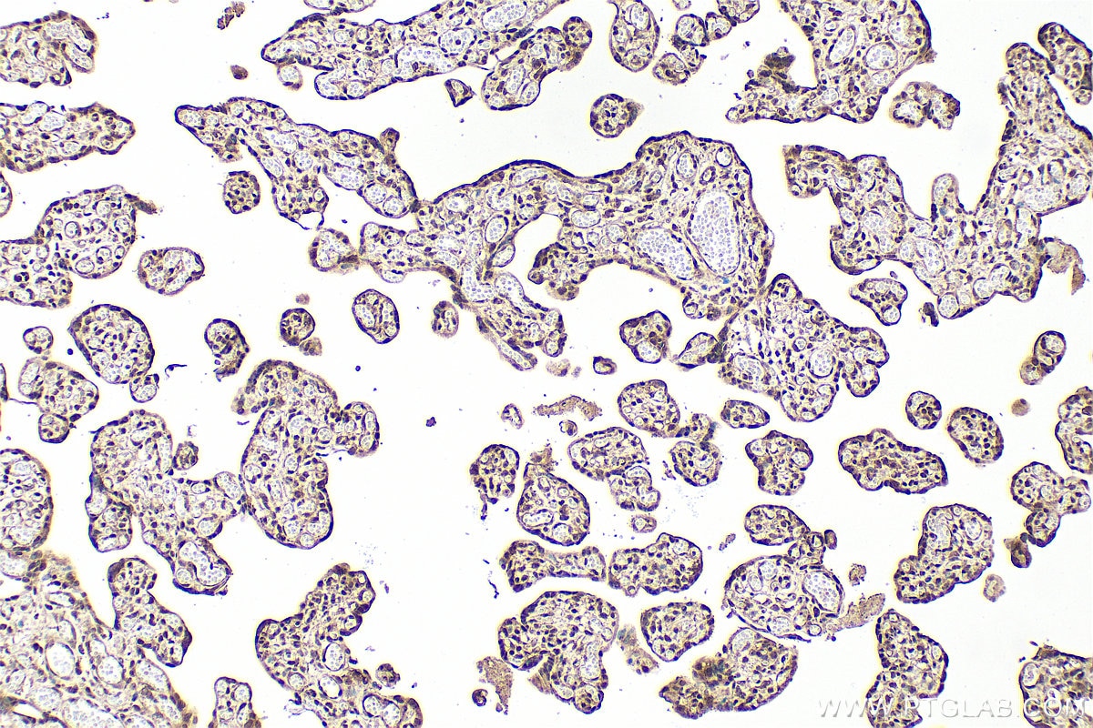
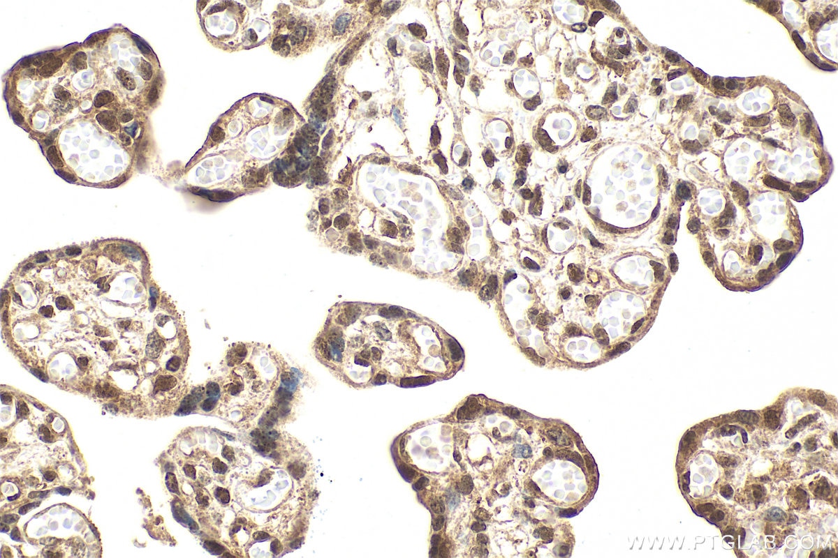
| Positive IHC detected in | human placenta tissue Note: suggested antigen retrieval with TE buffer pH 9.0; (*) Alternatively, antigen retrieval may be performed with citrate buffer pH 6.0 |
| Positive FC (Intra) detected in | PC-3 cells |
| Positive ChIP-qPCR detected in | hTNF-α, 30 ng/ml, 1 h HeLa cells |
Recommended dilution
| Application | Dilution |
|---|---|
| Western Blot (WB) | WB : 1:2000-1:10000 |
| Immunohistochemistry (IHC) | IHC : 1:400-1:1600 |
| Flow Cytometry (FC) (INTRA) | FC (INTRA) : 0.25 ug per 10^6 cells in a 100 µl suspension |
| CHIP-QPCR | CHIP-QPCR : 1:10-1:100 |
| It is recommended that this reagent should be titrated in each testing system to obtain optimal results. | |
| Sample-dependent, Check data in validation data gallery. | |
Published Applications
| WB | See 44 publications below |
| IF | See 4 publications below |
Product Information
80379-2-RR targets Phospho-NF-κB p65 (Ser536) in WB, IHC, IF, FC (Intra), ELISA, ChIP-qPCR applications and shows reactivity with human, mouse samples.
| Tested Reactivity | human, mouse |
| Cited Reactivity | human, mouse, rat |
| Host / Isotype | Rabbit / IgG |
| Class | Recombinant |
| Type | Antibody |
| Immunogen |
Peptide Predict reactive species |
| Full Name | v-rel reticuloendotheliosis viral oncogene homolog A (avian) |
| Calculated Molecular Weight | 65 kDa |
| Observed Molecular Weight | 75 kDa |
| GenBank Accession Number | BC011603 |
| Gene Symbol | NF-κB p65 |
| Gene ID (NCBI) | 5970 |
| RRID | AB_3670476 |
| Conjugate | Unconjugated |
| Form | Liquid |
| Purification Method | Protein A purfication |
| UNIPROT ID | Q04206 |
| Storage Buffer | PBS with 0.02% sodium azide and 50% glycerol, pH 7.3. |
| Storage Conditions | Store at -20°C. Stable for one year after shipment. Aliquoting is unnecessary for -20oC storage. 20ul sizes contain 0.1% BSA. |
Background Information
Nuclear factor kB (NF-kB) is a collective term for a small family of dimeric transcription factors [comprising p65 (RelA) and RelB, c-Rel, p50/p105 (NF-κB1), and p52/p100 (NF-κB2)]. All NF-κB proteins share a Rel homology domain (RHD), which is responsible for DNA binding and dimerization. Only p65, RelB, and c-Rel contain potent transactivation domains within sequences from the C-terminal to the RHD. Exterior signals lead to the phosphorylation and degradation of the inhibitory complex IκB, which is modulated by the IκB kinase (IKK), and its degradation allows for the release of the typical NF-κB heterodimer, p65/p50, to translocate into the nucleus. NF-κB binds to its cognate DNA elements and can transcriptionally activate different target genes among which 200-500 genes have been implicated in cell survival/apoptosis, cell growth, immune response, and inflammation.
Protocols
| Product Specific Protocols | |
|---|---|
| IHC protocol for Phospho-NF-κB p65 (Ser536) antibody 80379-2-RR | Download protocol |
| WB protocol for Phospho-NF-κB p65 (Ser536) antibody 80379-2-RR | Download protocol |
| Standard Protocols | |
|---|---|
| Click here to view our Standard Protocols |
Publications
| Species | Application | Title |
|---|---|---|
Int J Nanomedicine Unexpected Inhibitory Role of Silica Nanoparticles on Lung Cancer Development by Promoting M1 Polarization of Macrophages | ||
Front Immunol SQLE-mediated squalene metabolism promotes tumor immune evasion in pancreatic cancer | ||
J Ethnopharmacol Proteomic analysis reveals that Acalypha australis L. mitigates chronic colitis by modulating the FABP4/PPARγ/NF-κB signaling pathway | ||
Immunotargets Ther Lysyl Oxidase-Like 1 (LOXL1) Up-Regulation in Chondrocytes Promotes M1 Macrophage Activation in Osteoarthritis via NF-κB and STAT3 Signaling | ||
Cell Death Discov 17β-estradiol alleviated ferroptotic neuroinflammation by suppressing ATF4 in mouse model of Parkinson's disease | ||
Front Vet Sci Overexpression of the Mas1 gene mitigated LPS-induced inflammatory injury in mammary epithelial cells by inhibiting the NF-κB/MAPKs signaling pathways |
Reviews
The reviews below have been submitted by verified Proteintech customers who received an incentive for providing their feedback.
FH Sree Rama Chaitanya (Verified Customer) (12-19-2025) | I used the NFkB phospho antibody to test MCF10A cells, and it worked really nice without any non-specific bands. I used 5% milk to block and to prepare the antibody. We will buy it from now on. Highly recommend!
![]() |
FH Ana (Verified Customer) (07-10-2025) | No issues at all. Diluted it in 3% BSA in Tween 1%/PBS and detection was clear
![]() |













