Tested Applications
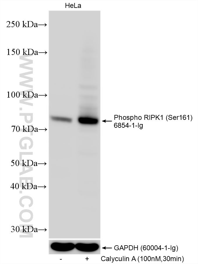
| Positive WB detected in | Jurkat cells, Calyculin A treated HeLa cells, Raji cells, THP-1 cells |
| Positive IHC detected in | human small intestine tissue, human heart tissue Note: suggested antigen retrieval with TE buffer pH 9.0; (*) Alternatively, antigen retrieval may be performed with citrate buffer pH 6.0 |
| Positive IF/ICC detected in | U2OS cells, Calyculin A treated HeLa cells |
| Positive FC (Intra) detected in | Calyculin A treated HEK-293T cells |
Recommended dilution
| Application | Dilution |
|---|---|
| Western Blot (WB) | WB : 1:2000- 1:20000 |
| Immunohistochemistry (IHC) | IHC : 1:250-1:1000 |
| Immunofluorescence (IF)/ICC | IF/ICC : 1:400-1:1600 |
| Flow Cytometry (FC) (INTRA) | FC (INTRA) : 0.13 ug per 10^6 cells in a 100 µl suspension |
| It is recommended that this reagent should be titrated in each testing system to obtain optimal results. | |
| Sample-dependent, Check data in validation data gallery. | |
Published Applications
| WB | See 24 publications below |
| IHC | See 4 publications below |
| IF | See 3 publications below |
Product Information
66854-1-Ig targets Phospho-RIPK1 (Ser161) in WB, IHC, IF/ICC, FC (Intra), ELISA applications and shows reactivity with human samples.
| Tested Reactivity | human |
| Cited Reactivity | human, mouse, rat, pig |
| Host / Isotype | Mouse / IgG1 |
| Class | Monoclonal |
| Type | Antibody |
| Immunogen |
Peptide Predict reactive species |
| Full Name | receptor (TNFRSF)-interacting serine-threonine kinase 1 |
| Calculated Molecular Weight | 76 kDa |
| Observed Molecular Weight | 74 kDa, 45 kDa |
| GenBank Accession Number | NM_003804 |
| Gene Symbol | RIPK1 |
| Gene ID (NCBI) | 8737 |
| RRID | AB_2882194 |
| Conjugate | Unconjugated |
| Form | Liquid |
| Purification Method | Protein G purification |
| UNIPROT ID | Q13546 |
| Storage Buffer | PBS with 0.02% sodium azide and 50% glycerol, pH 7.3. |
| Storage Conditions | Store at -20°C. Stable for one year after shipment. Aliquoting is unnecessary for -20oC storage. 20ul sizes contain 0.1% BSA. |
Background Information
RIPK1(Receptor-interacting serine/threonine-protein kinase 1) is primarily involved in mediating TNF-R1-induced cell activation, apoptosis and necroptosis and belongs to a novel class of kinases thatfunction in cell survival and cell death mechanisms(PMID:22685397 ).It has 2 isoforms produced by alternative splicing.It also can exist as the protein with lower molecular weight about 25kd and 45kd in HAEC and HUVEC(PMID:22685397).
Protocols
| Product Specific Protocols | |
|---|---|
| IF protocol for Phospho-RIPK1 (Ser161) antibody 66854-1-Ig | Download protocol |
| IHC protocol for Phospho-RIPK1 (Ser161) antibody 66854-1-Ig | Download protocol |
| WB protocol for Phospho-RIPK1 (Ser161) antibody 66854-1-Ig | Download protocol |
| Standard Protocols | |
|---|---|
| Click here to view our Standard Protocols |
Publications
| Species | Application | Title |
|---|---|---|
Cancer Lett NR4A1 depletion inhibits colorectal cancer progression by promoting necroptosis via the RIG-I-like receptor pathway | ||
Cell Commun Signal IRF1 regulation of ZBP1 links mitochondrial DNA and chondrocyte damage in osteoarthritis | ||
Inflammation Ursolic Acid Promotes Autophagy by Inhibiting Akt/mTOR and TNF-α/TNFR1 Signaling Pathways to Alleviate Pyroptosis and Necroptosis in Mycobacterium tuberculosis-Infected Macrophages | ||
J Cell Mol Med LRG-1 promotes fat graft survival through the RAB31-mediated inhibition of hypoxia-induced apoptosis. | ||
BMC Complement Med Ther JianPiYiShen formula prevents cisplatin-induced acute kidney injury in mice by improving necroptosis through MAPK pathway | ||
Front Genet Exosome-Derived LncRNA TCONS_00072128 Mediated Osteogenic Differentiation and Inflammation by Caspase 8 Regulation. |

















