Tested Applications
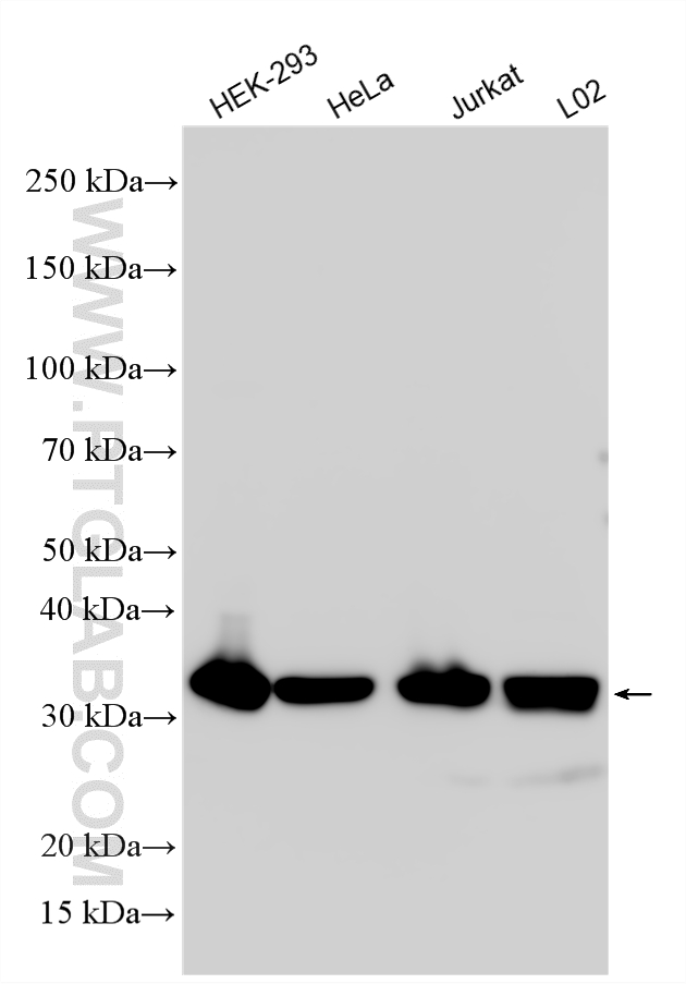
| Positive WB detected in | HEK-293 cells, HeLa cells, Jurkat cells, L02 cells |
| Positive IHC detected in | human breast cancer tissue, human placenta tissue, human kidney tissue, human testis tissue, human lung tissue Note: suggested antigen retrieval with TE buffer pH 9.0; (*) Alternatively, antigen retrieval may be performed with citrate buffer pH 6.0 |
| Positive IF/ICC detected in | HeLa cells |
Recommended dilution
| Application | Dilution |
|---|---|
| Western Blot (WB) | WB : 1:5000-1:50000 |
| Immunohistochemistry (IHC) | IHC : 1:1500-1:6000 |
| Immunofluorescence (IF)/ICC | IF/ICC : 1:200-1:800 |
| It is recommended that this reagent should be titrated in each testing system to obtain optimal results. | |
| Sample-dependent, Check data in validation data gallery. | |
Published Applications
| KD/KO | See 5 publications below |
| WB | See 20 publications below |
| IHC | See 3 publications below |
| IF | See 3 publications below |
Product Information
17146-1-AP targets PYCR2 in WB, IHC, IF/ICC, ELISA applications and shows reactivity with human, mouse, rat samples.
| Tested Reactivity | human, mouse, rat |
| Cited Reactivity | human, mouse, african green monkey |
| Host / Isotype | Rabbit / IgG |
| Class | Polyclonal |
| Type | Antibody |
| Immunogen |
CatNo: Ag10918 Product name: Recombinant human PYCR2 protein Source: e coli.-derived, PGEX-4T Tag: GST Domain: 1-320 aa of BC020553 Sequence: MSVGFIGAGQLAYALARGFTAAGILSAHKIIASSPEMNLPTVSALRKMGVNLTRSNKETVKHSDVLFLAVKPHIIPFILDEIGADVQARHIVVSCAAGVTISSVEKKLMAFQPAPKVIRCMTNTPVVVQEGATVYATGTHALVEDGQLLEQLMSSVGFCTEVEEDLIDAVTGLSGSGPAYAFMALDALADGGVKMGLPRRLAIQLGAQALLGAAKMLLDSEQHPCQLKDNVCSPGGATIHALHFLESGGFRSLLINAVEASCIRTRELQSMADQEKISPAALKKTLLDRVKLESPTVSTLTPSSPGKLLTRSLALGGKKD Predict reactive species |
| Full Name | pyrroline-5-carboxylate reductase family, member 2 |
| Calculated Molecular Weight | 320 aa, 34 kDa |
| Observed Molecular Weight | 34 kDa |
| GenBank Accession Number | BC020553 |
| Gene Symbol | PYCR2 |
| Gene ID (NCBI) | 29920 |
| RRID | AB_2253344 |
| Conjugate | Unconjugated |
| Form | Liquid |
| Purification Method | Antigen affinity purification |
| UNIPROT ID | Q96C36 |
| Storage Buffer | PBS with 0.02% sodium azide and 50% glycerol, pH 7.3. |
| Storage Conditions | Store at -20°C. Stable for one year after shipment. Aliquoting is unnecessary for -20oC storage. 20ul sizes contain 0.1% BSA. |
Background Information
PYCR2, also named as P5CR2, belongs to the pyrroline-5-carboxylate reductase family. It catalyses the reaction: L-proline + NAD(P)+ = 1-pyrroline-5-carboxylate + NAD(P)H. This antibody may have cross reaction to PYCR1 due to the high homology.
Protocols
| Product Specific Protocols | |
|---|---|
| IF protocol for PYCR2 antibody 17146-1-AP | Download protocol |
| IHC protocol for PYCR2 antibody 17146-1-AP | Download protocol |
| WB protocol for PYCR2 antibody 17146-1-AP | Download protocol |
| Standard Protocols | |
|---|---|
| Click here to view our Standard Protocols |
Publications
| Species | Application | Title |
|---|---|---|
EMBO J Interactomes of SARS-CoV-2 and human coronaviruses reveal host factors potentially affecting pathogenesis. | ||
Cell Rep Oncogenic IDH1 Mutations Promote Enhanced Proline Synthesis through PYCR1 to Support the Maintenance of Mitochondrial Redox Homeostasis.
| ||
Virol Sin African Swine Fever Virus Protein E199L Promotes Cell Autophagy through the Interaction of PYCR2.
|
Reviews
The reviews below have been submitted by verified Proteintech customers who received an incentive for providing their feedback.
FH balawant (Verified Customer) (12-25-2023) | I have used this antibody . This antibody is working great.
|
FH Balawant (Verified Customer) (08-06-2022) | This antibody is working great. I have used this antibody for tissue lysate and cell lysate. it has no background.
|
FH Susmita (Verified Customer) (03-11-2022) | Excellent antibody
|
FH Iram (Verified Customer) (07-03-2020) | Giving a very sharp and clean result
|

































