Tested Applications
| Positive WB detected in | HeLa cells, HEK-293 cells, A549 cells, mouse brain tissue, rat brain tissue, pig liver tissue |
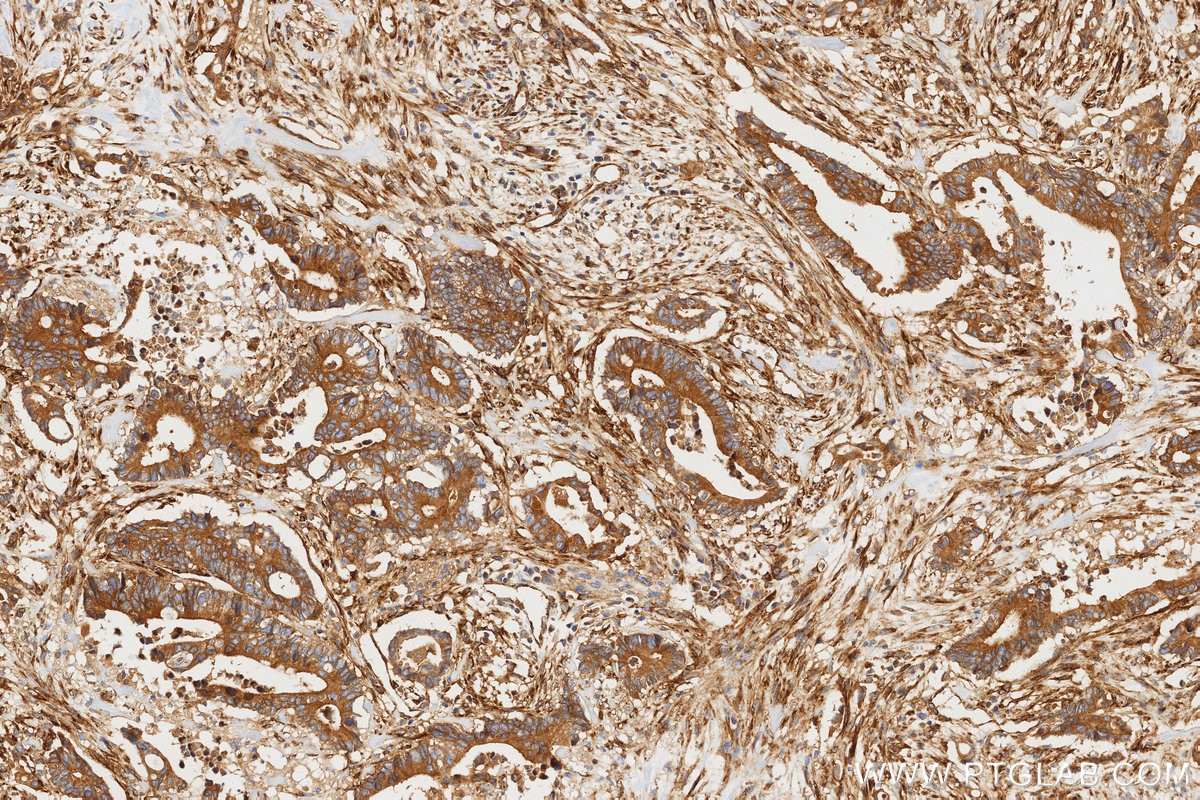
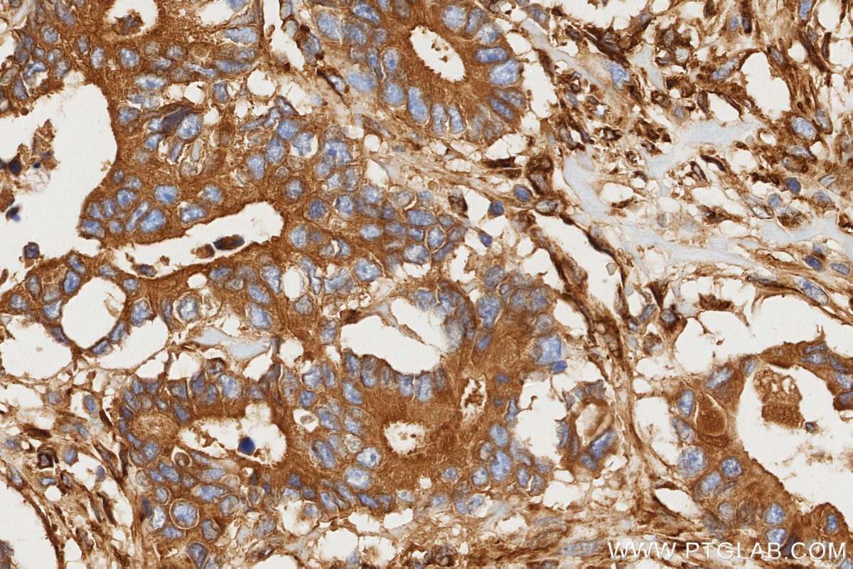
| Positive IHC detected in | human colon cancer tissue, human rectal cancer tissue Note: suggested antigen retrieval with TE buffer pH 9.0; (*) Alternatively, antigen retrieval may be performed with citrate buffer pH 6.0 |
| Positive IF/ICC detected in | HeLa cells |
Recommended dilution
| Application | Dilution |
|---|---|
| Western Blot (WB) | WB : 1:20000-1:100000 |
| Immunohistochemistry (IHC) | IHC : 1:500-1:2000 |
| Immunofluorescence (IF)/ICC | IF/ICC : 1:500-1:2000 |
| It is recommended that this reagent should be titrated in each testing system to obtain optimal results. | |
| Sample-dependent, Check data in validation data gallery. | |
Published Applications
| WB | See 1 publications below |
Product Information
81615-1-RR targets pan RAS in WB, IHC, IF/ICC, ELISA applications and shows reactivity with human, mouse, rat, pig samples.
| Tested Reactivity | human, mouse, rat, pig |
| Cited Reactivity | human |
| Host / Isotype | Rabbit / IgG |
| Class | Recombinant |
| Type | Antibody |
| Immunogen |
CatNo: Ag2700 Product name: Recombinant human KRAS protein Source: e coli.-derived, PGEX-4T Tag: GST Domain: 1-188 aa of BC013572 Sequence: MTEYKLVVVGAGGVGKSALTIQLIQNHFVDEYDPTIEDSYRKQVVIDGETCLLDILDTAGHEEYSAMRDQYMRTGEGFLCVFAINNTKSFEDIHHYREQIKRVKDSEDVPMVLVGNKCDLPSRTVDTKQAQDLARSYGIPFIETSAKTRQGVDDAFYTLVREIRKHKEKMSKDGKKKKKKSKTKCVIM Predict reactive species |
| Full Name | v-Ki-ras2 Kirsten rat sarcoma viral oncogene homolog |
| Calculated Molecular Weight | 188 aa, 21 kDa |
| Observed Molecular Weight | 21 kDa |
| GenBank Accession Number | BC013572 |
| Gene Symbol | KRAS |
| Gene ID (NCBI) | 3845 |
| RRID | AB_2935567 |
| Conjugate | Unconjugated |
| Form | Liquid |
| Purification Method | Protein A purification |
| UNIPROT ID | P01116 |
| Storage Buffer | PBS with 0.02% sodium azide and 50% glycerol, pH 7.3. |
| Storage Conditions | Store at -20°C. Stable for one year after shipment. Aliquoting is unnecessary for -20oC storage. 20ul sizes contain 0.1% BSA. |
Background Information
The 21 kDa guanine-nucleotide binding proteins (K-Ras, H-Ras, and N-Ras) belong to the Ras oncogene family, whose members are related to the transforming genes of mammalian sarcoma retroviruses. K-Ras, H-Ras, and N-Ras have similar structure and sequences. These proteins can bind GTP and GDP, and they have intrinsic GTPase activity. The ras genes are ubiquitously expressed although mRNA analysis suggests different level expression in tissue. Mutations in each ras gene frequently were found in different tumors, suggesting their involvement in the development of specific neoplasia. This antibody can recognize K-Ras, H-Ras, and N-Ras.
Protocols
| Product Specific Protocols | |
|---|---|
| IF protocol for pan RAS antibody 81615-1-RR | Download protocol |
| IHC protocol for pan RAS antibody 81615-1-RR | Download protocol |
| WB protocol for pan RAS antibody 81615-1-RR | Download protocol |
| Standard Protocols | |
|---|---|
| Click here to view our Standard Protocols |
Reviews
The reviews below have been submitted by verified Proteintech customers who received an incentive for providing their feedback.
FH Reyes (Verified Customer) (10-06-2025) | pan-RAS (in green) worked really nicely, appearing in the membrane of neurons and other cells in human brain FFPE tissue
|













