Tested Applications
| Positive WB detected in | HeLa cells, Jurkat cells, mouse heart tissue, RAW 264.7 cells, NIH/3T3 cells, rat spleen tissue, Neuro-2a cells, rat heart tissue, K-562 cells |
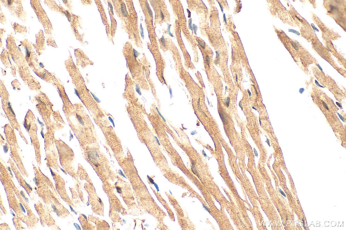
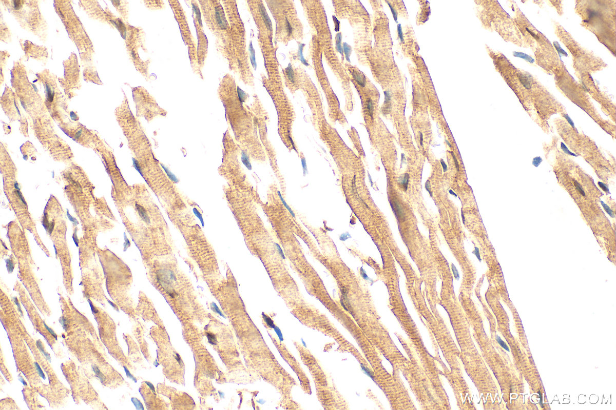
| Positive IHC detected in | human colon cancer tissue, human liver cancer tissue, mouse heart tissue Note: suggested antigen retrieval with TE buffer pH 9.0; (*) Alternatively, antigen retrieval may be performed with citrate buffer pH 6.0 |
Recommended dilution
| Application | Dilution |
|---|---|
| Western Blot (WB) | WB : 1:2000-1:12000 |
| Immunohistochemistry (IHC) | IHC : 1:200-1:800 |
| It is recommended that this reagent should be titrated in each testing system to obtain optimal results. | |
| Sample-dependent, Check data in validation data gallery. | |
Published Applications
| KD/KO | See 3 publications below |
| WB | See 535 publications below |
| IHC | See 14 publications below |
| IF | See 13 publications below |
Product Information
14064-1-AP targets p38 MAPK in WB, IHC, IF, ELISA applications and shows reactivity with human, mouse, rat samples.
| Tested Reactivity | human, mouse, rat |
| Cited Reactivity | human, mouse, rat, pig, rabbit, chicken, zebrafish, goat, fish, duck |
| Host / Isotype | Rabbit / IgG |
| Class | Polyclonal |
| Type | Antibody |
| Immunogen |
CatNo: Ag5115 Product name: Recombinant human p38 MAPK protein Source: e coli.-derived, PGEX-4T Tag: GST Domain: 1-307 aa of BC031574 Sequence: MSQERPTFYRQELNKTIWEVPERYQNLSPVGSGAYGSVCAAFDTKTGLRVAVKKLSRPFQSIIHAKRTYRELRLLKHMKHENVIGLLDVFTPARSLEEFNDVYLVTHLMGADLNNIVKCQKLTDDHVQFLIYQILRGLKYIHSADIIHRDLKPSNLAVNEDCELKILDFGLARHTDDEMTGYVATRWYRAPEIMLNWMHYNQTVDIWSVGCIMAELLTGRTLFPGTDHIDQLKLILRLVGTPGAELLKKISSESARNYIQSLTQMPKMNFANVFIGANPLAVDLLEKMLVLDSDKRITAAQALAHAY Predict reactive species |
| Full Name | mitogen-activated protein kinase 14 |
| Calculated Molecular Weight | 360 aa, 41 kDa |
| Observed Molecular Weight | 38-42 kDa |
| GenBank Accession Number | BC031574 |
| Gene Symbol | p38 MAPK |
| Gene ID (NCBI) | 1432 |
| RRID | AB_2878007 |
| Conjugate | Unconjugated |
| Form | Liquid |
| Purification Method | Antigen affinity purification |
| UNIPROT ID | Q16539 |
| Storage Buffer | PBS with 0.02% sodium azide and 50% glycerol, pH 7.3. |
| Storage Conditions | Store at -20°C. Stable for one year after shipment. Aliquoting is unnecessary for -20oC storage. 20ul sizes contain 0.1% BSA. |
Background Information
MAPK14(mitogen-activated protein kinase 14) is also named as SAPK2A, p38MAPK, CSBP1, RK, p38, EXIP, Mxi2, CSBP2, PRKM14, PRKM15, CSPB1, p38ALPHA and belongs to the MAP kinase subfamily. MAPK14-signaling is a central pathway for the integration of instructive signals in dendritic cells for T(H)17 differentiation and inflammation(PMID:22231518). It plays an important role in the regulation of hematopoietic stem cellself-renewal in vitro and inhibition of MAPK14 activation with a small molecule inhibitor may represent a novel approach to promote ex vivo expansion of hematopoietic stem cell(PMID:21198398). This protein has some isoforms with MW 29-31 kDa, 35 kDa and 41 kDa.
Protocols
| Product Specific Protocols | |
|---|---|
| IHC protocol for p38 MAPK antibody 14064-1-AP | Download protocol |
| WB protocol for p38 MAPK antibody 14064-1-AP | Download protocol |
| Standard Protocols | |
|---|---|
| Click here to view our Standard Protocols |
Publications
| Species | Application | Title |
|---|---|---|
Cancer Discov The Meningioma Enhancer Landscape Delineates Novel Subgroups and Drives Druggable Dependencies. | ||
Nat Commun Aggresome formation promotes ASK1/JNK signaling activation and stemness maintenance in ovarian cancer | ||
Brain Behav Immun Egln3 expression in microglia enhances the neuroinflammatory responses in Alzheimer's disease | ||
Sci Adv Asparagine transporter supports macrophage inflammation via histone phosphorylation | ||
Redox Biol Deficiency of S100 calcium binding protein A9 attenuates vascular dysfunction in aged mice |



























