Tested Applications
| Positive WB detected in | MCF-7 cells, HCT 116 cells, HEK-293 cells |
| Positive IP detected in | HEK-293 cells |
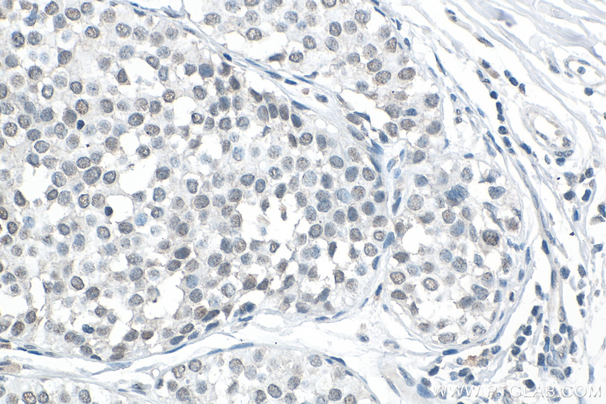
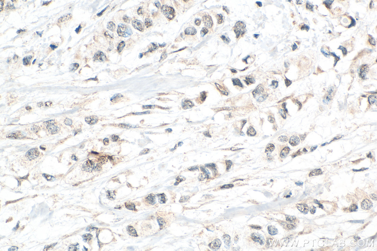
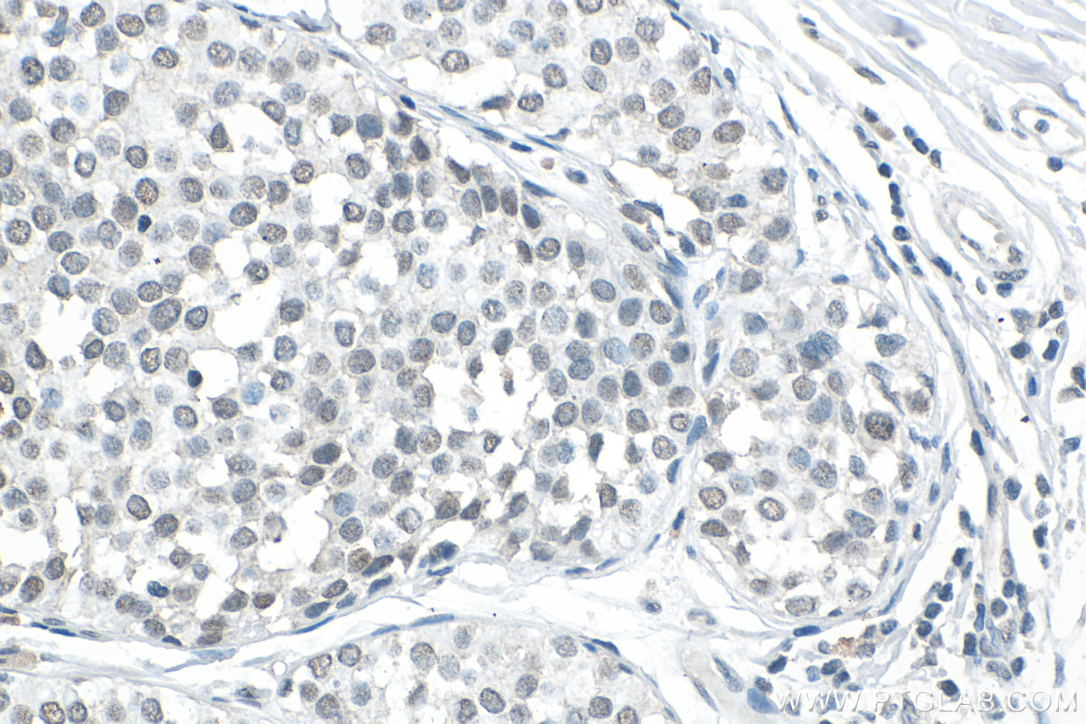
| Positive IHC detected in | human breast cancer tissue Note: suggested antigen retrieval with TE buffer pH 9.0; (*) Alternatively, antigen retrieval may be performed with citrate buffer pH 6.0 |
| Positive IF/ICC detected in | HEK-293 cells |
Recommended dilution
| Application | Dilution |
|---|---|
| Western Blot (WB) | WB : 1:500-1:1000 |
| Immunoprecipitation (IP) | IP : 0.5-4.0 ug for 1.0-3.0 mg of total protein lysate |
| Immunohistochemistry (IHC) | IHC : 1:50-1:500 |
| Immunofluorescence (IF)/ICC | IF/ICC : 1:50-1:500 |
| It is recommended that this reagent should be titrated in each testing system to obtain optimal results. | |
| Sample-dependent, Check data in validation data gallery. | |
Published Applications
| KD/KO | See 7 publications below |
| WB | See 23 publications below |
| IHC | See 4 publications below |
| IF | See 8 publications below |
| IP | See 4 publications below |
| CoIP | See 4 publications below |
Product Information
19374-1-AP targets USP10 in WB, IHC, IF/ICC, IP, CoIP, ELISA applications and shows reactivity with human, mouse, rat samples.
| Tested Reactivity | human, mouse, rat |
| Cited Reactivity | human, mouse, rat |
| Host / Isotype | Rabbit / IgG |
| Class | Polyclonal |
| Type | Antibody |
| Immunogen |
CatNo: Ag7233 Product name: Recombinant human USP10 protein Source: e coli.-derived, PET28a Tag: 6*His Domain: 444-798 aa of BC000263 Sequence: KFIPLYSKVQRPCTSTPMIDSFVRLMNEFTNMPVPPKPRQALGDKIVRDIRPGAAFEPTYIYRLLTVNKSSLSEKGRQEDAEEYLGFILNGLHEEMLNLKKLLSPSNEKLTISNGPKNHSVNEEEQEEQGEGSEDEWEQVGPRNKTSVTRQADFVQTPITGIFGGHIRSVVYQQSSKESATLQPFFTLQLDIQSDKIRTVQDALESLVARESVQGYTTKTKQEVEISRRVTLEKLPPVLVLHLKRFVYEKTGGCQKLIKNIEYPVDLEISKELLSPGVKNKNFKCHRTYRLFAVVYHHGNSATGGHYTTDVFQIGLNGWLRIDDQTVKVINQYQVVKPTAERTAYLLYYRRVDLL Predict reactive species |
| Full Name | ubiquitin specific peptidase 10 |
| Calculated Molecular Weight | 87 kDa, 92 kDa |
| Observed Molecular Weight | 100-130 kDa |
| GenBank Accession Number | BC000263 |
| Gene Symbol | USP10 |
| Gene ID (NCBI) | 9100 |
| RRID | AB_10858617 |
| Conjugate | Unconjugated |
| Form | Liquid |
| Purification Method | Antigen affinity purification |
| UNIPROT ID | Q14694 |
| Storage Buffer | PBS with 0.02% sodium azide and 50% glycerol, pH 7.3. |
| Storage Conditions | Store at -20°C. Stable for one year after shipment. Aliquoting is unnecessary for -20oC storage. 20ul sizes contain 0.1% BSA. |
Background Information
USP10, also named as USP32 and NY-REN-60, belongs to the peptidase C19 family.The deubiquitinating protease USP10 has been identified as a new regulator of p53 in the DNA damage response and tumor development.
Protocols
| Product Specific Protocols | |
|---|---|
| IHC protocol for USP10 antibody 19374-1-AP | Download protocol |
| IP protocol for USP10 antibody 19374-1-AP | Download protocol |
| WB protocol for USP10 antibody 19374-1-AP | Download protocol |
| IF protocol for USP10 antibody 19374-1-AP | Download protocol |
| Standard Protocols | |
|---|---|
| Click here to view our Standard Protocols |
Publications
| Species | Application | Title |
|---|---|---|
Cell G3BP1 Is a Tunable Switch that Triggers Phase Separation to Assemble Stress Granules. | ||
Mol Cell Translational Repression of G3BP in Cancer and Germ Cells Suppresses Stress Granules and Enhances Stress Tolerance. | ||
Cell Death Differ Targeting USP10 induces degradation of oncogenic ANLN in esophageal squamous cell carcinoma
| ||
Nat Commun Targeting USP47 overcomes tyrosine kinase inhibitor resistance and eradicates leukemia stem/progenitor cells in chronic myelogenous leukemia.
| ||
J Cell Biol High-fidelity reconstitution of stress granules and nucleoli in mammalian cellular lysate. | ||
Reviews
The reviews below have been submitted by verified Proteintech customers who received an incentive for providing their feedback.
FH Gonzalo (Verified Customer) (03-21-2018) | Great antibody for WB and IP
![]() |














