Tested Applications
| Positive WB detected in | HEK-293 cells, HeLa cells, Jurkat cells |
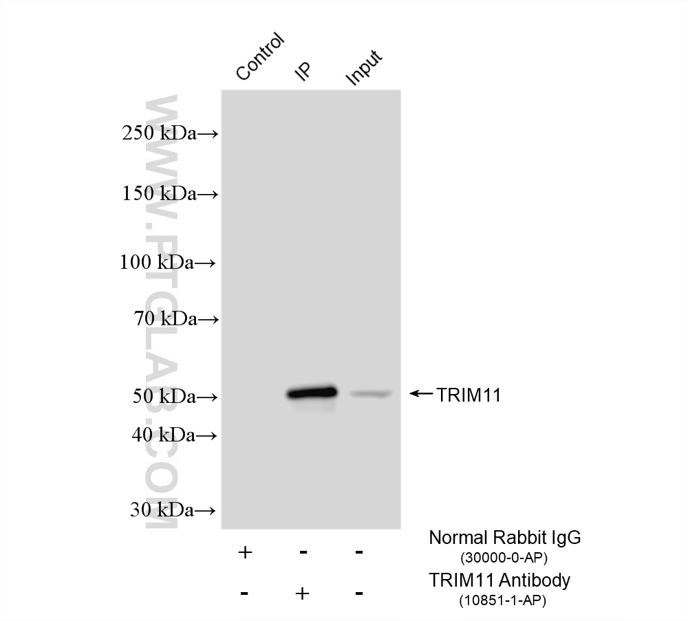
| Positive IP detected in | HeLa cells |
| Positive IHC detected in | human colon cancer tissue Note: suggested antigen retrieval with TE buffer pH 9.0; (*) Alternatively, antigen retrieval may be performed with citrate buffer pH 6.0 |
Recommended dilution
| Application | Dilution |
|---|---|
| Western Blot (WB) | WB : 1:1000-1:6000 |
| Immunoprecipitation (IP) | IP : 0.5-4.0 ug for 1.0-3.0 mg of total protein lysate |
| Immunohistochemistry (IHC) | IHC : 1:250-1:1000 |
| It is recommended that this reagent should be titrated in each testing system to obtain optimal results. | |
| Sample-dependent, Check data in validation data gallery. | |
Published Applications
| KD/KO | See 3 publications below |
| WB | See 9 publications below |
| IHC | See 4 publications below |
| IF | See 5 publications below |
| CoIP | See 5 publications below |
Product Information
10851-1-AP targets TRIM11 in WB, IHC, IF, IP, CoIP, ELISA applications and shows reactivity with human samples.
| Tested Reactivity | human |
| Cited Reactivity | human, mouse |
| Host / Isotype | Rabbit / IgG |
| Class | Polyclonal |
| Type | Antibody |
| Immunogen |
CatNo: Ag1308 Product name: Recombinant human TRIM11 protein Source: e coli.-derived, PGEX-4T Tag: GST Domain: 1-202 aa of BC011629 Sequence: MELRTVCRVPGLVETLRRFRGDVTLDPDTANPELILSEDRRSVQRGDLRQALPDSPERFDPGPCVLGQERFTSGRHYWEVEVGDRTSWALGVCRENVNRKEKGELSAGNGFWILVFLGSYYNSSERALAPLRDPPRRVGIFLDYEAGHLSFYSATDGSLLFIFPEIPFSGTLRPLFSPLSSSPTPMTICRPKGGSGDTLAPQ Predict reactive species |
| Full Name | tripartite motif-containing 11 |
| Calculated Molecular Weight | 52 kDa |
| Observed Molecular Weight | 53 kDa |
| GenBank Accession Number | BC011629 |
| Gene Symbol | TRIM11 |
| Gene ID (NCBI) | 81559 |
| RRID | AB_2209210 |
| Conjugate | Unconjugated |
| Form | Liquid |
| Purification Method | Antigen affinity purification |
| UNIPROT ID | Q96F44 |
| Storage Buffer | PBS with 0.02% sodium azide and 50% glycerol, pH 7.3. |
| Storage Conditions | Store at -20°C. Stable for one year after shipment. Aliquoting is unnecessary for -20oC storage. 20ul sizes contain 0.1% BSA. |
Background Information
TRIM11(Tripartite motif-containing protein 11) is also named as RNF92 and Belongs to the TRIM/RBCC family. It is a member of the tripartite-motif-containing protein family and is known to destabilize humanin, an inhibitor of Alzheimer-like neuronal insults(PMID: 16904669). This protein has 3 isoforms produced by alternative splicing.
Protocols
| Product Specific Protocols | |
|---|---|
| IHC protocol for TRIM11 antibody 10851-1-AP | Download protocol |
| IP protocol for TRIM11 antibody 10851-1-AP | Download protocol |
| WB protocol for TRIM11 antibody 10851-1-AP | Download protocol |
| Standard Protocols | |
|---|---|
| Click here to view our Standard Protocols |
Publications
| Species | Application | Title |
|---|---|---|
J Hazard Mater The proteasome-dependent degradation of ALKBH5 regulates ECM deposition in PM2.5 exposure-induced pulmonary fibrosis of mice. | ||
Oncogene TRIM11 is overexpressed in high-grade gliomas and promotes proliferation, invasion, migration and glial tumor growth. | ||
FASEB J The topological key lncRNA H2k2 from the ceRNA network promotes mesangial cell proliferation in diabetic nephropathy via the miR-449a/b/Trim11/Mek signaling pathway. | ||
Int J Biol Sci SOX13/TRIM11/YAP axis promotes the proliferation, migration and chemoresistance of anaplastic thyroid cancer. | ||
Neoplasia TRIM11 promotes breast cancer cell proliferation by stabilizing estrogen receptor α.
|







