Tested Applications
| Positive WB detected in | U-87 MG cells |
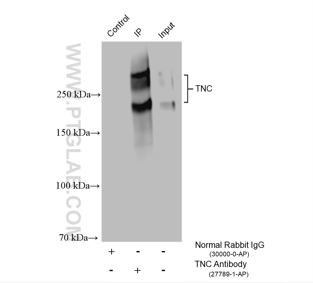
| Positive IP detected in | U-87 MG cells |
| Positive IHC detected in | human liver cancer tissue, human breast cancer tissue, human lung cancer tissue Note: suggested antigen retrieval with TE buffer pH 9.0; (*) Alternatively, antigen retrieval may be performed with citrate buffer pH 6.0 |
Recommended dilution
| Application | Dilution |
|---|---|
| Western Blot (WB) | WB : 1:500-1:1000 |
| Immunoprecipitation (IP) | IP : 0.5-4.0 ug for 1.0-3.0 mg of total protein lysate |
| Immunohistochemistry (IHC) | IHC : 1:500-1:2000 |
| It is recommended that this reagent should be titrated in each testing system to obtain optimal results. | |
| Sample-dependent, Check data in validation data gallery. | |
Published Applications
| WB | See 1 publications below |
Product Information
27789-1-AP targets TNC/Tenascin-C in WB, IHC, IP, ELISA applications and shows reactivity with human samples.
| Tested Reactivity | human |
| Cited Reactivity | human |
| Host / Isotype | Rabbit / IgG |
| Class | Polyclonal |
| Type | Antibody |
| Immunogen |
CatNo: Ag27122 Product name: Recombinant human TNC protein Source: e coli.-derived, PGEX-4T Tag: GST Domain: 23-200 aa of BC151843 Sequence: GVLKKVIRHKRQSGVNATLPEENQPVVFNHVYNIKLPVGSQCSVDLESASGEKDLAPPSEPSESFQEHTVDGENQIVFTHRINIPRRACGCAAAPDVKELLSRLEELENLVSSLREQCTAGAGCCLQPATGRLDTRPFCSGRGNFSTEGCGCVCEPGWKGPNCSEPECPGNCHLRGRC Predict reactive species |
| Full Name | tenascin C |
| Calculated Molecular Weight | 2201 aa, 241 kDa |
| Observed Molecular Weight | 220-350 kDa, 190-240 kDa |
| GenBank Accession Number | BC151843 |
| Gene Symbol | Tenascin C |
| Gene ID (NCBI) | 3371 |
| RRID | AB_2918131 |
| Conjugate | Unconjugated |
| Form | Liquid |
| Purification Method | Antigen affinity purification |
| UNIPROT ID | P24821 |
| Storage Buffer | PBS with 0.02% sodium azide and 50% glycerol, pH 7.3. |
| Storage Conditions | Store at -20°C. Stable for one year after shipment. Aliquoting is unnecessary for -20oC storage. 20ul sizes contain 0.1% BSA. |
Background Information
Tenascin-C (TNC) is a large hexameric extracellular matrix glycoprotein of the tenascin family (PMID: 21818551). It is a multimodular protein containing multiple epidermal growth factor (EGF)-like repeats and fibronectin type III (FN III) domains (PMID: 1719530). Tenascin-C is highly expressed during embryonic development, particularly in the developing central nervous system, around motile cells and at epithelial-mesenchymal interaction sites (PMID: 25738825). In adult tissues, the expression and the distribution of TNC are typically limited under normal physiological conditions. It is upregulated during injury, inflammation, regeneration, and cancer (PMID: 7694605; 25120494). Tenascin-C is a diverse protein that can produce different functions including regulating cell adhesion, migration and proliferation.
Protocols
| Product Specific Protocols | |
|---|---|
| IHC protocol for TNC/Tenascin-C antibody 27789-1-AP | Download protocol |
| IP protocol for TNC/Tenascin-C antibody 27789-1-AP | Download protocol |
| WB protocol for TNC/Tenascin-C antibody 27789-1-AP | Download protocol |
| Standard Protocols | |
|---|---|
| Click here to view our Standard Protocols |

















