Tested Applications
| Positive WB detected in | HEK-293 cells, mouse pancreas tissue, mouse skin tissue, HeLa cells, mouse liver tissue, rat kidney tissue |
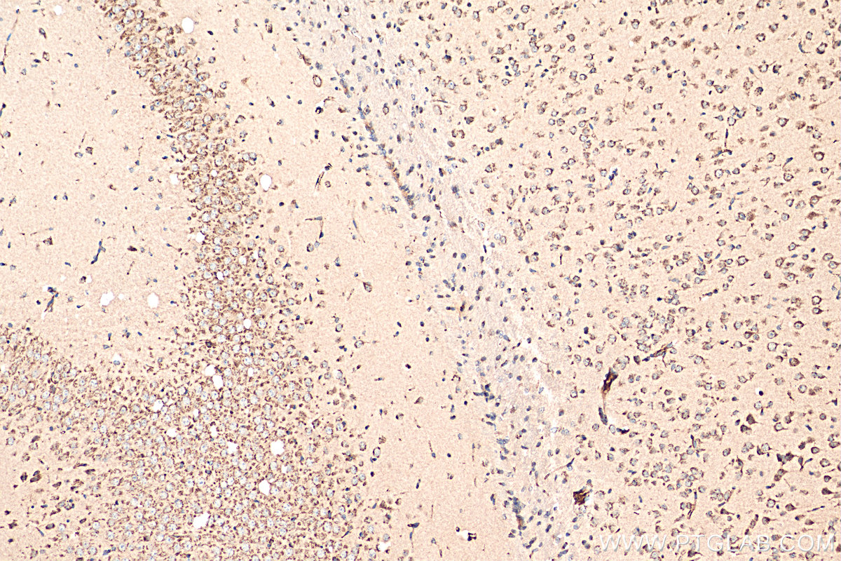
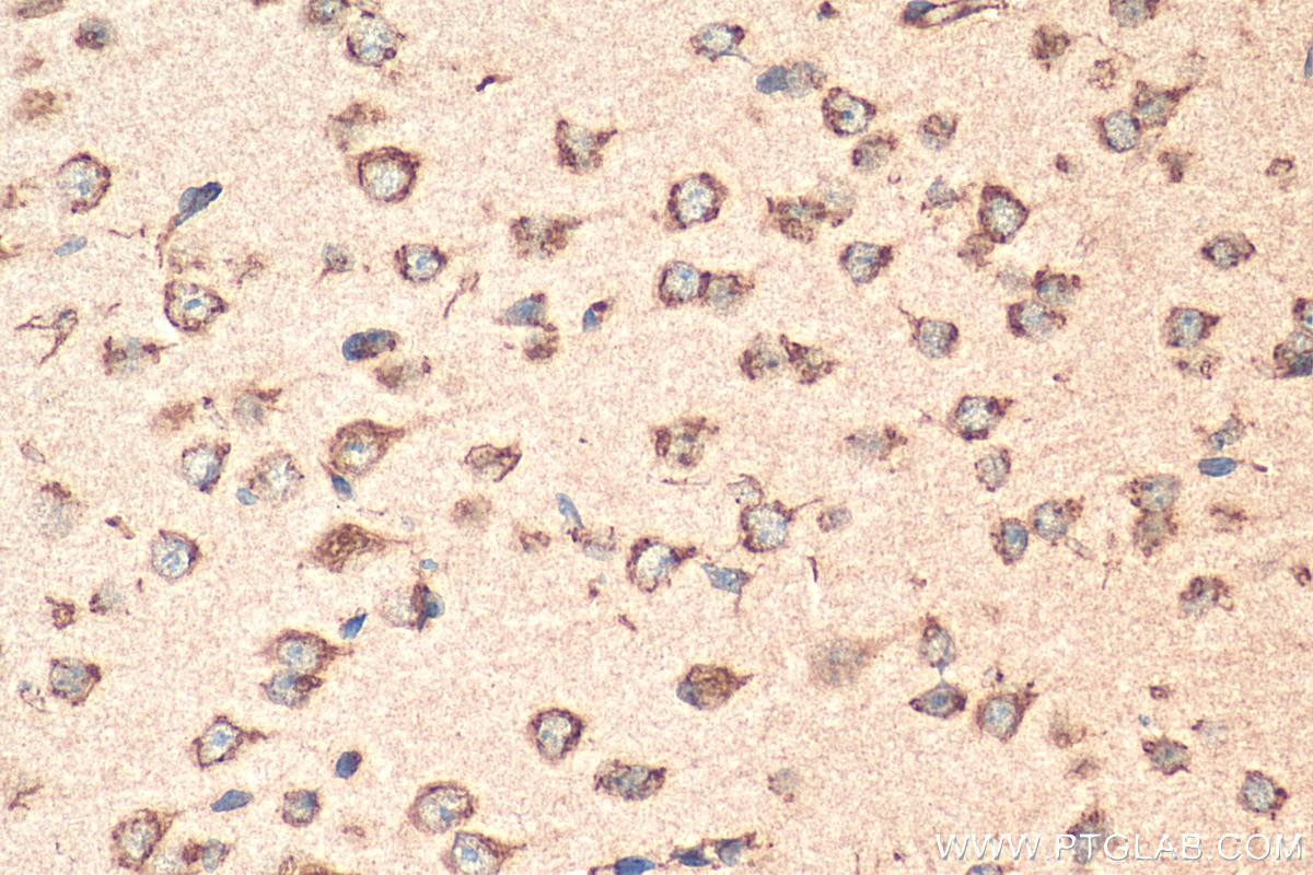
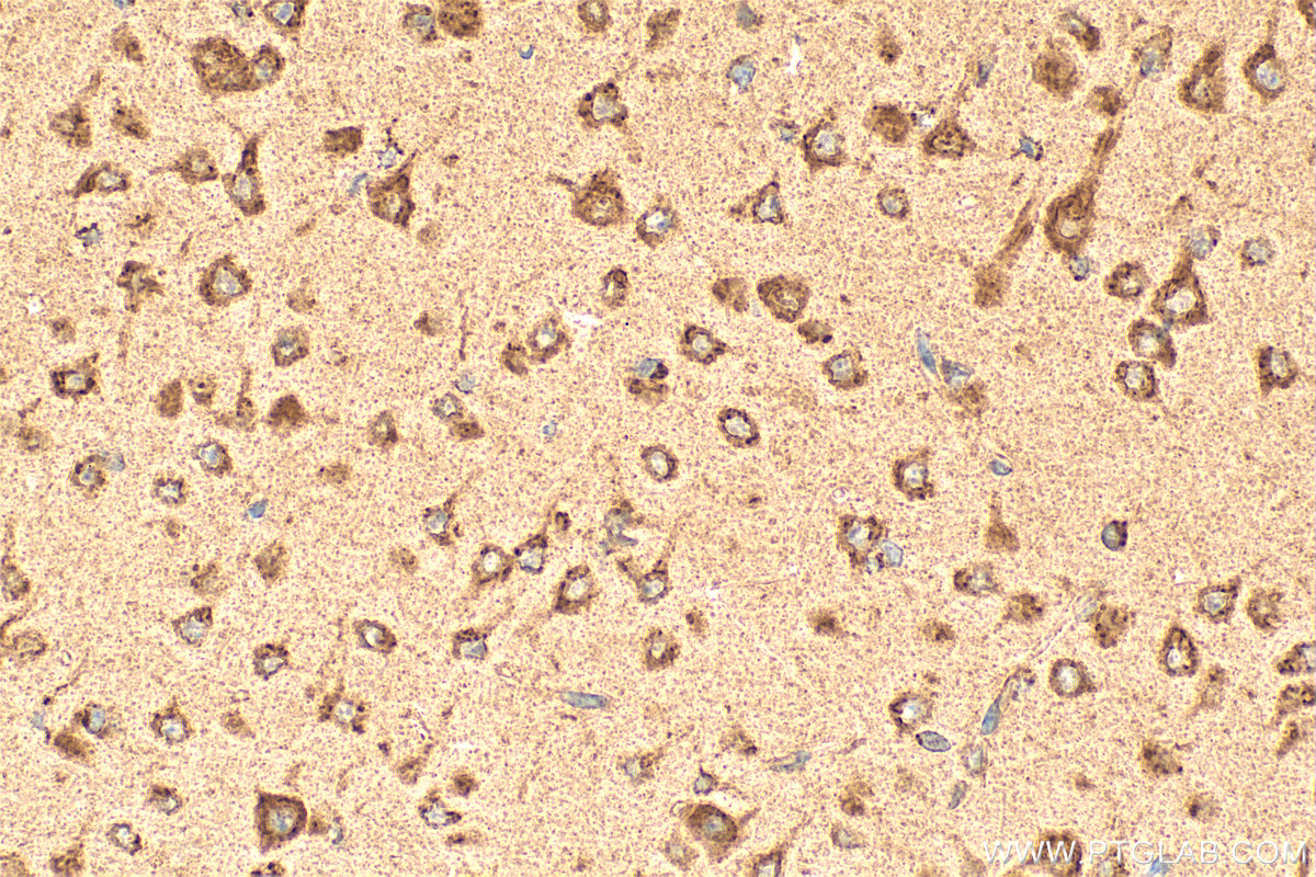
| Positive IHC detected in | mouse brain tissue, human pancreas cancer tissue Note: suggested antigen retrieval with TE buffer pH 9.0; (*) Alternatively, antigen retrieval may be performed with citrate buffer pH 6.0 |
| Positive IF/ICC detected in | HeLa cells |
Recommended dilution
| Application | Dilution |
|---|---|
| Western Blot (WB) | WB : 1:1000-1:4000 |
| Immunohistochemistry (IHC) | IHC : 1:200-1:1000 |
| Immunofluorescence (IF)/ICC | IF/ICC : 1:500-1:2000 |
| It is recommended that this reagent should be titrated in each testing system to obtain optimal results. | |
| Sample-dependent, Check data in validation data gallery. | |
Published Applications
| KD/KO | See 2 publications below |
| WB | See 12 publications below |
| IHC | See 2 publications below |
| IF | See 2 publications below |
Product Information
11981-1-AP targets TMED2 in WB, IHC, IF/ICC, ELISA applications and shows reactivity with human, mouse, rat samples.
| Tested Reactivity | human, mouse, rat |
| Cited Reactivity | human, mouse, rat |
| Host / Isotype | Rabbit / IgG |
| Class | Polyclonal |
| Type | Antibody |
| Immunogen |
CatNo: Ag2607 Product name: Recombinant human TMED2 protein Source: e coli.-derived, PGEX-4T Tag: GST Domain: 1-201 aa of BC025957 Sequence: MVTLAELLVLLAALLATVSGYFVSIDAHAEECFFERVTSGTKMGLIFEVAEGGFLDIDVEITGPDNKGIYKGDRESSGKYTFAAHMDGTYKFCFSNRMSTMTPKIVMFTIDIGEAPKGQDMETEAHQNKLEEMINELAVAMTAVKHEQEYMEVRERIHRAINDNTNSRVVLWSFFEALVLVAMTLGQIYYLKRFFEVRRVV Predict reactive species |
| Full Name | transmembrane emp24 domain trafficking protein 2 |
| Calculated Molecular Weight | 201 aa, 23 kDa |
| Observed Molecular Weight | 20-23 kDa |
| GenBank Accession Number | BC025957 |
| Gene Symbol | TMED2 |
| Gene ID (NCBI) | 10959 |
| RRID | AB_2204353 |
| Conjugate | Unconjugated |
| Form | Liquid |
| Purification Method | Antigen affinity purification |
| UNIPROT ID | Q15363 |
| Storage Buffer | PBS with 0.02% sodium azide and 50% glycerol, pH 7.3. |
| Storage Conditions | Store at -20°C. Stable for one year after shipment. Aliquoting is unnecessary for -20oC storage. 20ul sizes contain 0.1% BSA. |
Background Information
Transmembrane emp24 domain-containing protein 2 (TMED2) belongs to the p24 receptor family, being mainly involved in vesicular trafficking of proteins between the endoplasmic reticulum and Golgi apparatus.
Protocols
| Product Specific Protocols | |
|---|---|
| IF protocol for TMED2 antibody 11981-1-AP | Download protocol |
| IHC protocol for TMED2 antibody 11981-1-AP | Download protocol |
| WB protocol for TMED2 antibody 11981-1-AP | Download protocol |
| Standard Protocols | |
|---|---|
| Click here to view our Standard Protocols |
Publications
| Species | Application | Title |
|---|---|---|
Cell Res A new type of ERGIC-ERES membrane contact mediated by TMED9 and SEC12 is required for autophagosome biogenesis. | ||
PLoS Biol TMED9 coordinates the clearance of misfolded GPI-anchored proteins out of the ER and into the Golgi | ||
BMC Biol ACBD3 modulates KDEL receptor interaction with PKA for its trafficking via tubulovesicular carrier. | ||
J Cell Biol TMEDs mediate versatile cargo transport in vesicle-dependent unconventional secretion | ||
Adv Sci (Weinh) TMED3 Complex Mediates ER Stress-Associated Secretion of CFTR, Pendrin, and SARS-CoV-2 Spike. |















