Tested Applications
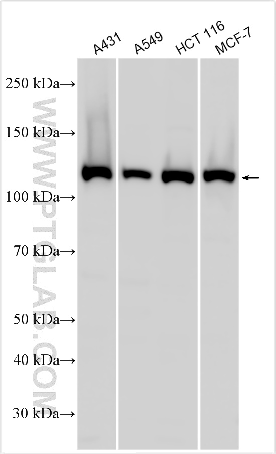
| Positive WB detected in | A431 cells, multi-cells, A549 cells, HCT 116 cells, MCF-7 cells |
| Positive IHC detected in | human breast cancer tissue, human lung cancer tissue Note: suggested antigen retrieval with TE buffer pH 9.0; (*) Alternatively, antigen retrieval may be performed with citrate buffer pH 6.0 |
Recommended dilution
| Application | Dilution |
|---|---|
| Western Blot (WB) | WB : 1:500-1:2000 |
| Immunohistochemistry (IHC) | IHC : 1:20-1:200 |
| It is recommended that this reagent should be titrated in each testing system to obtain optimal results. | |
| Sample-dependent, Check data in validation data gallery. | |
Published Applications
| WB | See 6 publications below |
| IF | See 1 publications below |
Product Information
51075-2-AP targets STAT2 in WB, IHC, IF, ELISA applications and shows reactivity with human samples.
| Tested Reactivity | human |
| Cited Reactivity | human, mouse |
| Host / Isotype | Rabbit / IgG |
| Class | Polyclonal |
| Type | Antibody |
| Immunogen |
Peptide Predict reactive species |
| Full Name | signal transducer and activator of transcription 2, 113kDa |
| Calculated Molecular Weight | 851 aa, 98 kDa |
| Observed Molecular Weight | 100-113 kDa |
| GenBank Accession Number | BC051284 |
| Gene Symbol | STAT2 |
| Gene ID (NCBI) | 6773 |
| RRID | AB_1167479 |
| Conjugate | Unconjugated |
| Form | Liquid |
| Purification Method | Antigen affinity purification |
| UNIPROT ID | P52630 |
| Storage Buffer | PBS with 0.02% sodium azide and 50% glycerol, pH 7.3. |
| Storage Conditions | Store at -20°C. Stable for one year after shipment. Aliquoting is unnecessary for -20oC storage. 20ul sizes contain 0.1% BSA. |
Background Information
STAT2, also named as p113, belongs to the transcription factor STAT family. It is a signal transducer and activator of transcription that mediates signaling by type I IFNs (IFN-alpha and IFN-beta). Following type I IFN binding to cell surface receptors, Jak kinases (TYK2 and JAK1) are activated, leading to tyrosine phosphorylation of STAT1 and STAT2. The phosphorylated STATs dimerize and associate with ISGF3G/IRF-9 to form a complex termed ISGF3 transcription factor, that enters the nucleus. ISGF3 binds to the IFN stimulated response element (ISRE) to activate the transcription of IFN stimulated genes, which drive the cell in an antiviral state. It also interacts with CRSP2, CRSP6, Simian virus 5 protein V, rabies virus phosphoprotein, IFNAR1 and IFNAR2. Its interaction with dengue virus NS5 inhibits the phosphorylation of STAT2, and, when all viral proteins are present (polyprotein), STAT2 is targeted for degradation. This antibody is a rabbit polyclonal antibody raised against a peptide mapping within human STAT2. The calculated molecular weight of STAT2 is 98 kDa, but phosphorylated STAT2 is about 100-113 kDa.
Protocols
| Product Specific Protocols | |
|---|---|
| IHC protocol for STAT2 antibody 51075-2-AP | Download protocol |
| WB protocol for STAT2 antibody 51075-2-AP | Download protocol |
| Standard Protocols | |
|---|---|
| Click here to view our Standard Protocols |
Publications
| Species | Application | Title |
|---|---|---|
BMC Vet Res Curcumol inhibits EMCV replication by activating CH25H and inhibiting the formation of ROs | ||
Comput Struct Biotechnol J A five-protein prognostic signature with GBP2 functioning in immune cell infiltration of clear cell renal cell carcinoma | ||
J Transl Med Pretreatment of UC-MSCs with IFN-α2 improves treatment of liver fibrosis by recruiting neutrophils | ||
Arthritis Res Ther Potential role of RhoA GTPase regulation in type interferon signaling in systemic lupus erythematosus | ||
Viruses Interferon-Stimulated Gene 15 Knockout in Mice Impairs IFNα-Mediated Antiviral Activity |















