Tested Applications
| Positive WB detected in | mouse brain tissue, SH-SY5Y cells, rat brain tissue |
| Positive IP detected in | mouse brain tissue |
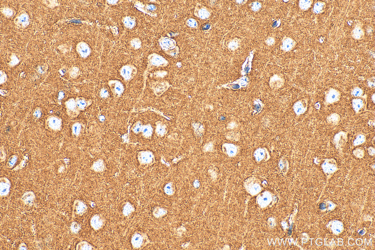
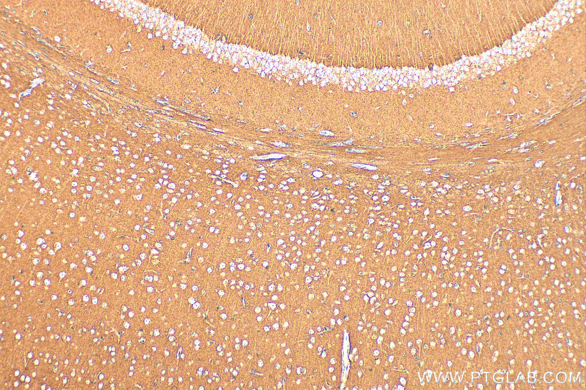
| Positive IHC detected in | mouse brain tissue Note: suggested antigen retrieval with TE buffer pH 9.0; (*) Alternatively, antigen retrieval may be performed with citrate buffer pH 6.0 |
| Positive IF/ICC detected in | SH-SY5Y cells, PC-12 cells |
Recommended dilution
| Application | Dilution |
|---|---|
| Western Blot (WB) | WB : 1:10000-1:100000 |
| Immunoprecipitation (IP) | IP : 0.5-4.0 ug for 1.0-3.0 mg of total protein lysate |
| Immunohistochemistry (IHC) | IHC : 1:500-1:2000 |
| Immunofluorescence (IF)/ICC | IF/ICC : 1:200-1:800 |
| It is recommended that this reagent should be titrated in each testing system to obtain optimal results. | |
| Sample-dependent, Check data in validation data gallery. | |
Published Applications
| KD/KO | See 1 publications below |
| WB | See 25 publications below |
| IHC | See 2 publications below |
| IF | See 4 publications below |
| IP | See 1 publications below |
Product Information
14903-1-AP targets SNAP25 in WB, IHC, IF/ICC, IP, ELISA applications and shows reactivity with human, mouse, rat samples.
| Tested Reactivity | human, mouse, rat |
| Cited Reactivity | human, mouse, rat |
| Host / Isotype | Rabbit / IgG |
| Class | Polyclonal |
| Type | Antibody |
| Immunogen |
CatNo: Ag6695 Product name: Recombinant human SNAP protein Source: e coli.-derived, PGEX-4T Tag: GST Domain: 1-206 aa of BC010647 Sequence: MAEDADMRNELEEMQRRADQLADESLESTRRMLQLVEESKDAGIRTLVMLDEQGEQLDRVEEGMNHINQDMKEAEKNLKDLGKCCGLFICPCNKLKSSDAYKKAWGNNQDGVVASQPARVVDEREQMAISGGFIRRVTNDARENEMDENLEQVSGIIGNLRHMALDMGNEIDTQNRQIDRIMEKADSNKTRIDEANQRATKMLGSG Predict reactive species |
| Full Name | synaptosomal-associated protein, 25kDa |
| Calculated Molecular Weight | 23 kDa |
| Observed Molecular Weight | 25-27 kDa |
| GenBank Accession Number | BC010647 |
| Gene Symbol | SNAP25 |
| Gene ID (NCBI) | 6616 |
| RRID | AB_2192051 |
| Conjugate | Unconjugated |
| Form | Liquid |
| Purification Method | Antigen affinity purification |
| UNIPROT ID | P60880 |
| Storage Buffer | PBS with 0.02% sodium azide and 50% glycerol, pH 7.3. |
| Storage Conditions | Store at -20°C. Stable for one year after shipment. Aliquoting is unnecessary for -20oC storage. 20ul sizes contain 0.1% BSA. |
Background Information
The synaptosomal associated protein of 25 kD (SNAP-25) was first identified as a major synaptic protein by Wilson and colleagues. The protein interacts with syntaxin and synaptobrevin through its N-terminal and C-terminal -helical domains. Its palmitoylation domain is located in the middle of the molecule that contains four cysteine residues. Mutation of the cysteines abolishes palmitoylation and membrane binding. Several elegant studies using synaptosome preparations and permeabilized PC12 cells have suggested that SNAP-25 may act in the late post-docking steps of exocytosis. By limited proteolysis and in vitro binding assay, it is proposed that the two helix domains act independently and contribute equally to form the SNARE complex with syntaxin and synaptobrevin. It seems that a major regulatory element is located in the C-terminus of SNAP-25. Removing a 9 amino acid sequence of SNAP-25 inhibited neurosecretion in chromaffin cells. In addition, it has been shown that inhibition of neurosecretion by AX type E can be rescued by a SNAP-25 C-terminal peptide, probably by initiating the formation of a fusion competent SNARE complex.
Protocols
| Product Specific Protocols | |
|---|---|
| IF protocol for SNAP25 antibody 14903-1-AP | Download protocol |
| IHC protocol for SNAP25 antibody 14903-1-AP | Download protocol |
| IP protocol for SNAP25 antibody 14903-1-AP | Download protocol |
| WB protocol for SNAP25 antibody 14903-1-AP | Download protocol |
| Standard Protocols | |
|---|---|
| Click here to view our Standard Protocols |
Publications
| Species | Application | Title |
|---|---|---|
Mol Neurodegener Nuclear speckle specific hnRNP D-like prevents age- and AD-related cognitive decline by modulating RNA splicing. | ||
Free Radic Biol Med Bavachin ameliorates neuroinflammation and depressive-like behaviors in streptozotocin-induced diabetic mice through the inhibition of PKCδ | ||
Clin Sci (Lond) Chronic hepatitis C virus infection impairs insulin secretion by regulation of p38δ MAPK-dependent exocytosis in pancreatic β-cells. | ||
Front Mol Neurosci MicroRNA-210-5p Contributes to Cognitive Impairment in Early Vascular Dementia Rat Model Through Targeting Snap25. | ||
Biomedicines Neuromodulation Induced by Sitagliptin: A New Strategy for Treating Diabetic Retinopathy. |
Reviews
The reviews below have been submitted by verified Proteintech customers who received an incentive for providing their feedback.
FH James (Verified Customer) (09-29-2021) | Antibody worked great and was extremely specific to SNAP-25.
![]() |
FH Q (Verified Customer) (03-22-2021) | An excellent SNAP25 Ab with a high titer. Very specific and clean.
![]() |





















