Tested Applications
| Positive WB detected in | MCF-7 cells, Jurkat cells, mouse brain tissue, rat testis tissue, U-251 cells |
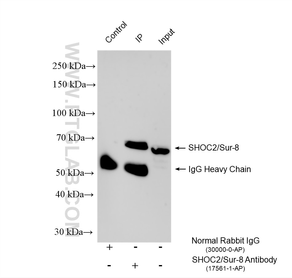
| Positive IP detected in | Ramos cells, U-251 cells |
| Positive IHC detected in | human renal cell carcinoma tissue, human kidney tissue, mouse brain tissue, mouse kidney tissue Note: suggested antigen retrieval with TE buffer pH 9.0; (*) Alternatively, antigen retrieval may be performed with citrate buffer pH 6.0 |
| Positive IF/ICC detected in | HeLa cells, MCF-7 cells |
Recommended dilution
| Application | Dilution |
|---|---|
| Western Blot (WB) | WB : 1:1000-1:4000 |
| Immunoprecipitation (IP) | IP : 0.5-4.0 ug for 1.0-3.0 mg of total protein lysate |
| Immunohistochemistry (IHC) | IHC : 1:50-1:500 |
| Immunofluorescence (IF)/ICC | IF/ICC : 1:50-1:500 |
| It is recommended that this reagent should be titrated in each testing system to obtain optimal results. | |
| Sample-dependent, Check data in validation data gallery. | |
Published Applications
| KD/KO | See 2 publications below |
| WB | See 7 publications below |
| IHC | See 1 publications below |
| IP | See 4 publications below |
Product Information
17561-1-AP targets SHOC2/Sur-8 in WB, IHC, IF/ICC, IP, ELISA applications and shows reactivity with human, mouse, rat samples.
| Tested Reactivity | human, mouse, rat |
| Cited Reactivity | human, mouse, monkey |
| Host / Isotype | Rabbit / IgG |
| Class | Polyclonal |
| Type | Antibody |
| Immunogen |
CatNo: Ag11754 Product name: Recombinant human SHOC2 protein Source: e coli.-derived, PGEX-4T Tag: GST Domain: 235-583 aa of BC050445 Sequence: GELCNLITLDVAHNQLEHLPKEIGNCTQITNLDLQHNELLDLPDTIGNLSSLSRLGLRYNRLSAIPRSLAKCSALEELNLENNNISTLPESLLSSLVKLNSLTLARNCFQLYPVGGPSQFSTIYSLNMEHNRINKIPFGIFSRAKVLSKLNMKDNQLTSLPLDFGTWTSMVELNLATNQLTKIPEDVSGLVSLEVLILSNNLLKKLPHGLGNLRKLRELDLEENKLESLPNEIAYLKDLQKLVLTNNQLTTLPRGIGHLTNLTHLGLGENLLTHLPEEIGTLENLEELYLNDNPNLHSLPFELALCSKLSIMSIENCPLSHLPPQIVAGGPSFIIQFLKMQGPYRAMV Predict reactive species |
| Full Name | soc-2 suppressor of clear homolog (C. elegans) |
| Calculated Molecular Weight | 582 aa, 65 kDa |
| Observed Molecular Weight | 65 kDa |
| GenBank Accession Number | BC050445 |
| Gene Symbol | SHOC2/Sur-8 |
| Gene ID (NCBI) | 8036 |
| RRID | AB_2188463 |
| Conjugate | Unconjugated |
| Form | Liquid |
| Purification Method | Antigen affinity purification |
| UNIPROT ID | Q9UQ13 |
| Storage Buffer | PBS with 0.02% sodium azide and 50% glycerol, pH 7.3. |
| Storage Conditions | Store at -20°C. Stable for one year after shipment. Aliquoting is unnecessary for -20oC storage. 20ul sizes contain 0.1% BSA. |
Background Information
SHOC2 is also named as Sur-8. The SHOC2 protein, along with MRAS and PP1C, forms a high affinity, heterotrimeric holoenzyme that activates RAF kinases by dephosphorylating a specific phosphoserine (PMID: 37074066). SHOC2, a key protein mediating the Ras-Raf-ERK pathway, could act as a scaffolding protein to facilitate the activation of the pathway by mediating the interaction of key components of the pathway (PMID: 37170083). The scaffold protein Shoc2 is a critical modulator of ERK1/2 signals, and mutations in the shoc2 gene lead to the human developmental disease known as Noonan-like syndrome with loose anagen hair (NSLH) (PMID: 36265687).
Protocols
| Product Specific Protocols | |
|---|---|
| IF protocol for SHOC2/Sur-8 antibody 17561-1-AP | Download protocol |
| IHC protocol for SHOC2/Sur-8 antibody 17561-1-AP | Download protocol |
| IP protocol for SHOC2/Sur-8 antibody 17561-1-AP | Download protocol |
| WB protocol for SHOC2/Sur-8 antibody 17561-1-AP | Download protocol |
| Standard Protocols | |
|---|---|
| Click here to view our Standard Protocols |
Publications
| Species | Application | Title |
|---|---|---|
J Clin Invest Desmoglein-1/Erbin interaction suppresses ERK activation to support epidermal differentiation. | ||
EMBO J Phosphorylation of Pkp1 by RIPK4 regulates epidermal differentiation and skin tumorigenesis. | ||
J Cell Sci Spatial control of Shoc2 scaffold-mediated ERK1/2 signaling requires remodeling activity of the ATPase PSMC5. | ||
Mol Cell Biol HUWE1 Is a Molecular Link Controlling RAF-1 Activity Supported by the Shoc2 Scaffold. | ||
Mol Cancer Res SHOC2 Is a Critical Modulator of Sensitivity to EGFR-TKIs in Non-Small Cell Lung Cancer Cells.
| ||
J Cell Sci The role of USP7 in the Shoc2-ERK1/2 signaling axis and Noonan-like syndrome with loose anagen hair.
|































