Tested Applications
| Positive WB detected in | A431 cells, Jurkat cells, MCF-7 cells, HT-1080 cells, mouse colon tissue, HUVEC cells |
| Positive IP detected in | A431 cells |
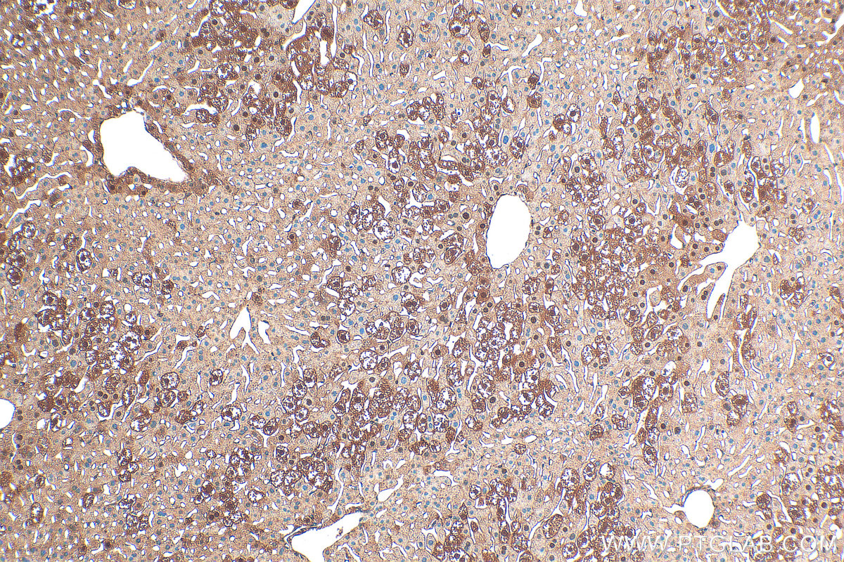
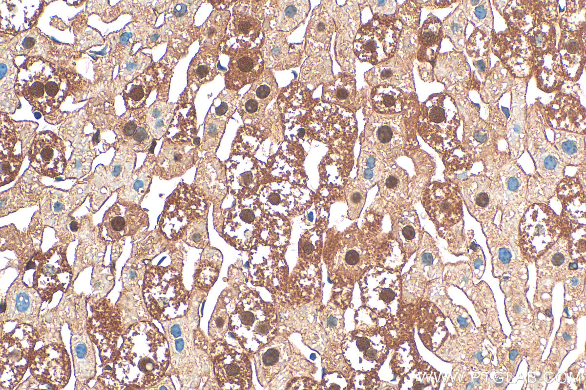
| Positive IHC detected in | mouse liver tissue, human colon tissue Note: suggested antigen retrieval with TE buffer pH 9.0; (*) Alternatively, antigen retrieval may be performed with citrate buffer pH 6.0 |
| Positive IF/ICC detected in | U2OS cells, U-251 cells, HeLa cells, A431 cells |
| Positive FC (Intra) detected in | HeLa cells |
Recommended dilution
| Application | Dilution |
|---|---|
| Western Blot (WB) | WB : 1:500-1:2000 |
| Immunoprecipitation (IP) | IP : 0.5-4.0 ug for 1.0-3.0 mg of total protein lysate |
| Immunohistochemistry (IHC) | IHC : 1:50-1:500 |
| Immunofluorescence (IF)/ICC | IF/ICC : 1:200-1:800 |
| Flow Cytometry (FC) (INTRA) | FC (INTRA) : 0.40 ug per 10^6 cells in a 100 µl suspension |
| It is recommended that this reagent should be titrated in each testing system to obtain optimal results. | |
| Sample-dependent, Check data in validation data gallery. | |
Published Applications
| KD/KO | See 1 publications below |
| WB | See 7 publications below |
| IHC | See 1 publications below |
| IF | See 1 publications below |
| IP | See 1 publications below |
| CoIP | See 1 publications below |
Product Information
19132-1-AP targets PKC Delta in WB, IHC, IF/ICC, FC (Intra), IP, CoIP, ELISA applications and shows reactivity with human, mouse, rat samples.
| Tested Reactivity | human, mouse, rat |
| Cited Reactivity | human, mouse, rat |
| Host / Isotype | Rabbit / IgG |
| Class | Polyclonal |
| Type | Antibody |
| Immunogen |
CatNo: Ag5631 Product name: Recombinant human PRKCD protein Source: e coli.-derived, PET28a Tag: 6*His Domain: 326-676 aa of BC043350 Sequence: DMQDNSGTYGKIWEGSSKCNINNFIFHKVLGKGSFGKVLLGELKGRGEYFAIKALKKDVVLIDDDVECTMVEKRVLTLAAENPFLTHLICTFQTKDHLFFVMEFLNGGDLMYHIQDKGRFELYRATFYAAEIMCGLQFLHSKGIIYRDLKLDNVLLDRDGHIKIADFGMCKENIFGESRASTFCGTPDYIAPEILQGLKYTFSVDWWSFGVLLYEMLIGQSPFHGDDEDELFESIRVDTPHYPRWITKESKDILEKLFEREPTKRLGVTGNIKIHPFFKTINWTLLEKRRLEPPFRPKVKSPRDYSNFDQEFLNEKARLSYSDKNLIDSMDQSAFAGFSFVNPKFEHLLED Predict reactive species |
| Full Name | protein kinase C, delta |
| Calculated Molecular Weight | 78 kDa |
| Observed Molecular Weight | 70 kDa |
| GenBank Accession Number | BC043350 |
| Gene Symbol | PKC Delta |
| Gene ID (NCBI) | 5580 |
| RRID | AB_10637263 |
| Conjugate | Unconjugated |
| Form | Liquid |
| Purification Method | Antigen affinity purification |
| UNIPROT ID | Q05655 |
| Storage Buffer | PBS with 0.02% sodium azide and 50% glycerol, pH 7.3. |
| Storage Conditions | Store at -20°C. Stable for one year after shipment. Aliquoting is unnecessary for -20oC storage. 20ul sizes contain 0.1% BSA. |
Protocols
| Product Specific Protocols | |
|---|---|
| FC protocol for PKC Delta antibody 19132-1-AP | Download protocol |
| IF protocol for PKC Delta antibody 19132-1-AP | Download protocol |
| IHC protocol for PKC Delta antibody 19132-1-AP | Download protocol |
| IP protocol for PKC Delta antibody 19132-1-AP | Download protocol |
| WB protocol for PKC Delta antibody 19132-1-AP | Download protocol |
| Standard Protocols | |
|---|---|
| Click here to view our Standard Protocols |
Publications
| Species | Application | Title |
|---|---|---|
Oncogene TRIM69 suppressed the anoikis resistance and metastasis of gastric cancer through ubiquitin‒proteasome-mediated degradation of PRKCD | ||
Virol Sin Rottlerin plays an antiviral role at early and late steps of Zika virus infection
| ||
Food Chem Toxicol G-Rh4 improves pancreatic β-cells dysfunction in vivo and in vitro by increased expression of Nrf2 and its target genes. | ||
Fish Shellfish Immunol In vivo study of a novel protein kinase C that mediates immunocompetence and catecholamine biosynthesis in hemocytes of Litopenaeus vannamei by using its potential competitive inhibitor, bisindolylmaleimide I. | ||
iScience Induction of Inflammatory Macrophages in the Gut and Extra-Gut Tissues by Colitis-Mediated Escherichia coli. | ||
Neurochem Int Protein kinase C-mediated impairment of glutamine outward transport and SN1 transporter distribution by ammonia in mouse cortical astrocytes. |
Reviews
The reviews below have been submitted by verified Proteintech customers who received an incentive for providing their feedback.
FH B (Verified Customer) (07-11-2022) | A good antibody for WB with the right MW.
![]() |




































