Tested Applications
| Positive WB detected in | HeLa cells, HEK-293 cells, HepG2 cells, human brain tissue, human skeletal muscle tissue, L02 cells, mouse heart tissue, rat heart tissue |
| Positive IP detected in | mouse heart tissue, mouse liver tissue |
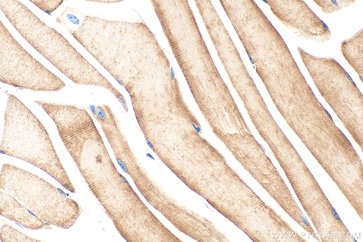
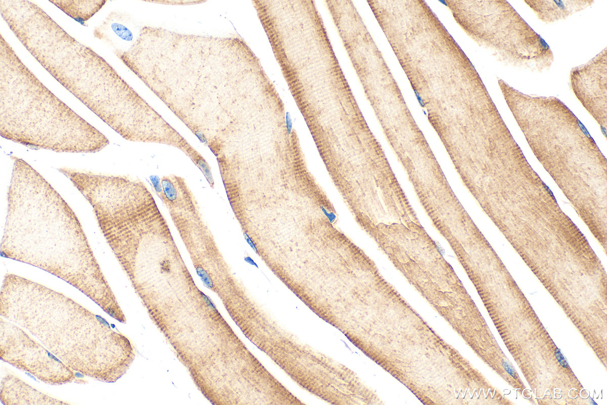
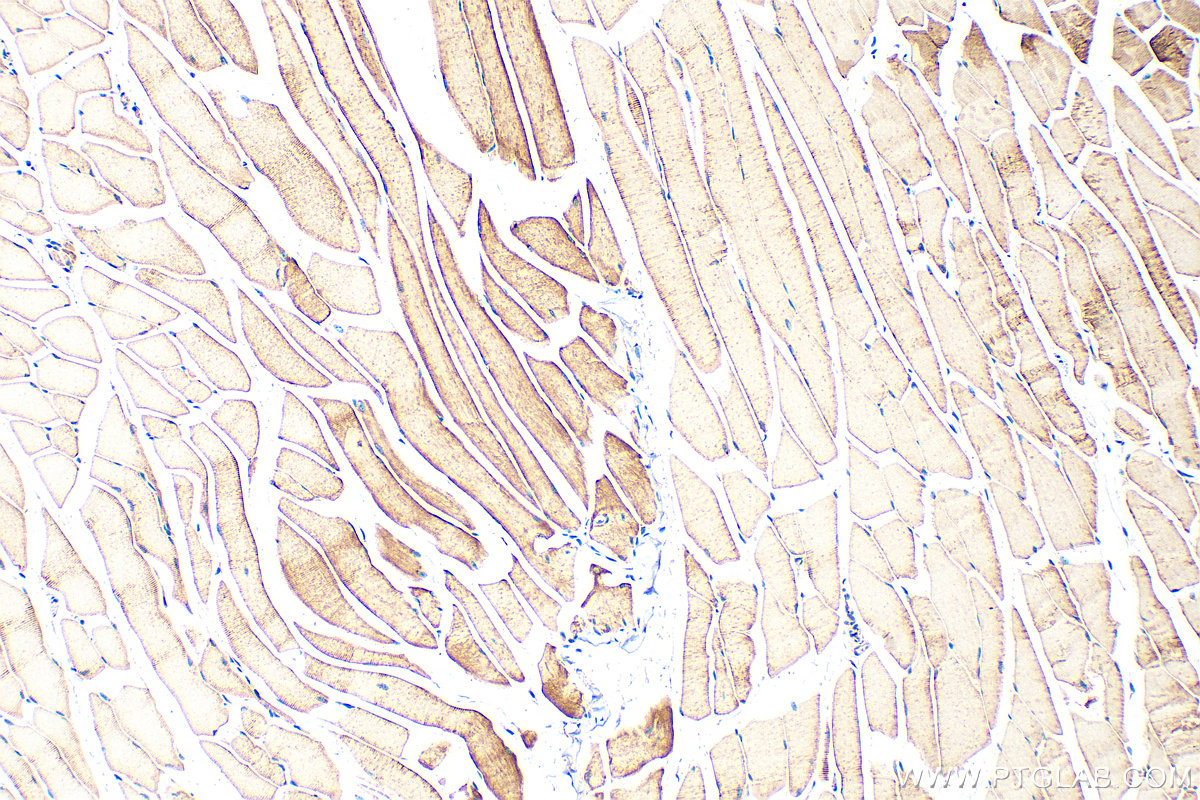
| Positive IHC detected in | mouse skeletal muscle tissue, human skeletal muscle tissue, mouse brain tissue Note: suggested antigen retrieval with TE buffer pH 9.0; (*) Alternatively, antigen retrieval may be performed with citrate buffer pH 6.0 |
| Positive IF/ICC detected in | HeLa cells |
Recommended dilution
| Application | Dilution |
|---|---|
| Western Blot (WB) | WB : 1:2000-1:16000 |
| Immunoprecipitation (IP) | IP : 0.5-4.0 ug for 1.0-3.0 mg of total protein lysate |
| Immunohistochemistry (IHC) | IHC : 1:1000-1:4000 |
| Immunofluorescence (IF)/ICC | IF/ICC : 1:200-1:800 |
| It is recommended that this reagent should be titrated in each testing system to obtain optimal results. | |
| Sample-dependent, Check data in validation data gallery. | |
Published Applications
| KD/KO | See 1 publications below |
| WB | See 74 publications below |
| IHC | See 3 publications below |
| IF | See 3 publications below |
| IP | See 1 publications below |
Product Information
55028-1-AP targets PFKM in WB, IHC, IF/ICC, IP, ELISA applications and shows reactivity with human, mouse, rat samples.
| Tested Reactivity | human, mouse, rat |
| Cited Reactivity | human, mouse, rat, pig, chicken, bovine, sheep |
| Host / Isotype | Rabbit / IgG |
| Class | Polyclonal |
| Type | Antibody |
| Immunogen |
Peptide Predict reactive species |
| Full Name | phosphofructokinase, muscle |
| Calculated Molecular Weight | 85 kDa |
| Observed Molecular Weight | 75-85 kDa |
| GenBank Accession Number | NM_000289 |
| Gene Symbol | PFKM |
| Gene ID (NCBI) | 5213 |
| RRID | AB_10858390 |
| Conjugate | Unconjugated |
| Form | Liquid |
| Purification Method | Antigen affinity purification |
| UNIPROT ID | P08237 |
| Storage Buffer | PBS with 0.02% sodium azide and 50% glycerol, pH 7.3. |
| Storage Conditions | Store at -20°C. Stable for one year after shipment. Aliquoting is unnecessary for -20oC storage. 20ul sizes contain 0.1% BSA. |
Background Information
PFKM, also named as GSD7, PFK-1, PFK-M and PFKX, belongs to the phosphofructokinase family and two domains subfamily. PFKM catalyzes the reaction: ATP + D-fructose 6-phosphate = ADP + D-fructose 1,6-bisphosphate. It is a key regulatory enzyme in glycolysis. Defects in PFKM are the cause of glycogen storage disease type 7 (GSD7). PFKM has three isoforms with molecular masses of 85, 82 and 93 kDa. The antibody is specific to PFKM.
Protocols
| Product Specific Protocols | |
|---|---|
| IF protocol for PFKM antibody 55028-1-AP | Download protocol |
| IHC protocol for PFKM antibody 55028-1-AP | Download protocol |
| IP protocol for PFKM antibody 55028-1-AP | Download protocol |
| WB protocol for PFKM antibody 55028-1-AP | Download protocol |
| Standard Protocols | |
|---|---|
| Click here to view our Standard Protocols |
Publications
| Species | Application | Title |
|---|---|---|
Cell Res Mannose antagonizes GSDME-mediated pyroptosis through AMPK activated by metabolite GlcNAc-6P | ||
Nat Methods A large-scale targeted proteomics assay resource based on an in vitro human proteome. | ||
Biomaterials Liver-targeted Nano-MitoPBN normalizes glucose metabolism by improving mitochondrial redox balance. | ||
Cancer Res Disrupting Circadian Rhythm via the PER1-HK2 Axis Reverses Trastuzumab Resistance in Gastric Cancer. |































