Tested Applications
| Positive WB detected in | HeLa cells, HEK293 cells, mouse brain tissue, rat brain tissue, rat kidney tissue |
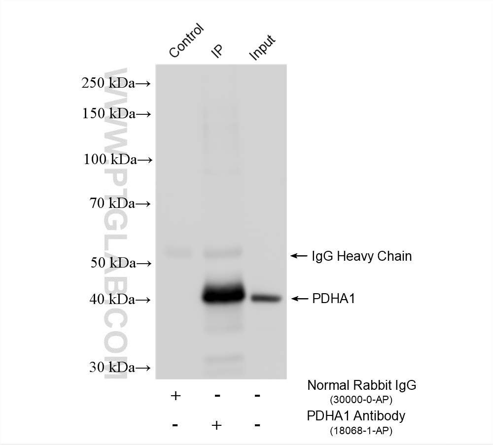
| Positive IP detected in | HeLa cells |
| Positive IHC detected in | human liver cancer tissue Note: suggested antigen retrieval with TE buffer pH 9.0; (*) Alternatively, antigen retrieval may be performed with citrate buffer pH 6.0 |
| Positive IF/ICC detected in | HepG2 cells |
Recommended dilution
| Application | Dilution |
|---|---|
| Western Blot (WB) | WB : 1:5000-1:50000 |
| Immunoprecipitation (IP) | IP : 0.5-4.0 ug for 1.0-3.0 mg of total protein lysate |
| Immunohistochemistry (IHC) | IHC : 1:50-1:500 |
| Immunofluorescence (IF)/ICC | IF/ICC : 1:50-1:500 |
| It is recommended that this reagent should be titrated in each testing system to obtain optimal results. | |
| Sample-dependent, Check data in validation data gallery. | |
Published Applications
| KD/KO | See 4 publications below |
| WB | See 71 publications below |
| IHC | See 5 publications below |
| IF | See 9 publications below |
| IP | See 2 publications below |
Product Information
18068-1-AP targets PDH E1 Alpha in WB, IHC, IF/ICC, IP, ELISA applications and shows reactivity with human, mouse, rat samples.
| Tested Reactivity | human, mouse, rat |
| Cited Reactivity | human, mouse, rat, chicken, zebrafish |
| Host / Isotype | Rabbit / IgG |
| Class | Polyclonal |
| Type | Antibody |
| Immunogen |
CatNo: Ag12701 Product name: Recombinant human PDHA1 protein Source: e coli.-derived, PGEX-4T Tag: GST Domain: 41-390 aa of BC002406 Sequence: CDLHRLEEGPPVTTVLTREDGLKYYRMMQTVRRMELKADQLYKQKIIRGFCHLCDGQEACCVGLEAGINPTDHLITAYRAHGFTFTRGLSVREILAELTGRKGGCAKGKGGSMHMYAKNFYGGNGIVGAQVPLGAGIALACKYNGKDEVCLTLYGDGAANQGQIFEAYNMAALWKLPCIFICENNRYGMGTSVERAAASTDYYKRGDFIPGLRVDGMDILCVREATRFAAAYCRSGKGPILMELQTYRYHGHSMSDPGVSYRTREEIQEVRSKSDPIMLLKDRMVNSNLASVEELKEIDVEVRKEIEDAAQFATADPEPPLEELGYHIYSSDPPFEVRGANQWIKFKSVS Predict reactive species |
| Full Name | pyruvate dehydrogenase (lipoamide) alpha 1 |
| Calculated Molecular Weight | 43 kDa |
| Observed Molecular Weight | 39-48 kDa |
| GenBank Accession Number | BC002406 |
| Gene Symbol | PDHA1 |
| Gene ID (NCBI) | 5160 |
| RRID | AB_2162931 |
| Conjugate | Unconjugated |
| Form | Liquid |
| Purification Method | Antigen affinity purification |
| UNIPROT ID | P08559 |
| Storage Buffer | PBS with 0.02% sodium azide and 50% glycerol, pH 7.3. |
| Storage Conditions | Store at -20°C. Stable for one year after shipment. Aliquoting is unnecessary for -20oC storage. 20ul sizes contain 0.1% BSA. |
Background Information
PDHA1(Pyruvate dehydrogenase E1 component subunit alpha, somatic form, mitochondrial) is also named as PHE1A.It is one of the 3 enzymes of the pyruvate dehydrogenase complex which is a nuclear-encoded mitochondrial matrix multienzyme complex that provides the primary link between glycolysis and the tricarboxylic acid (TCA) cycle by catalyzing the irreversible conversion of pyruvate into acetyl-CoA(PMID:7853374).It has 4 isoforms produced by alternative splicing with the molecular mass of 39-48 kDa. Defects in PDHA1 are a cause of pyruvate dehydrogenase E1-alpha deficiency (PDHAD) and X-linked Leigh syndrome (X-LS).
Protocols
| Product Specific Protocols | |
|---|---|
| IF protocol for PDH E1 Alpha antibody 18068-1-AP | Download protocol |
| IHC protocol for PDH E1 Alpha antibody 18068-1-AP | Download protocol |
| IP protocol for PDH E1 Alpha antibody 18068-1-AP | Download protocol |
| WB protocol for PDH E1 Alpha antibody 18068-1-AP | Download protocol |
| Standard Protocols | |
|---|---|
| Click here to view our Standard Protocols |
Publications
| Species | Application | Title |
|---|---|---|
Cell Res Hypoxia induces mitochondrial protein lactylation to limit oxidative phosphorylation | ||
Cell Metab Acetate enables metabolic fitness and cognitive performance during sleep disruption | ||
Nat Cell Biol RIP3 targets pyruvate dehydrogenase complex to increase aerobic respiration in TNF-induced necroptosis
| ||
Cell Stem Cell A small-molecule cocktail promotes mammalian cardiomyocyte proliferation and heart regeneration. | ||
Cell Stem Cell Mechano-oncogenic cytoskeletal remodeling drives leukemic transformation with mitochondrial vesicle-mediated STING activation |
Reviews
The reviews below have been submitted by verified Proteintech customers who received an incentive for providing their feedback.
FH kes (Verified Customer) (01-17-2022) | I used it for WB(1:1000) and got nice bands.
![]() |
FH David (Verified Customer) (09-03-2019) | Good detection with 30µg of protein and dilution at 1/1000
![]() |
FH Svitlana (Verified Customer) (11-02-2017) | Loading:per well 15 ug/ulGradient gel 4-12%Transfer:Immobilon-FL transfer membranes (Millipore) O/N at 30V, 4CBlocking:SEA Block Blocking Buffer 1hImaging:Odyssey CLx Imaging
![]() |
















