Tested Applications
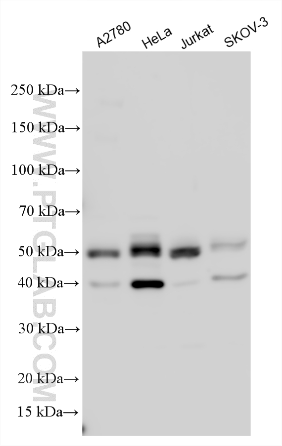
| Positive WB detected in | A2780 cells, HeLa cells, Jurkat cells, SKOV-3 cells |
| Positive IP detected in | A2780 cells |
| Positive IHC detected in | human thyroid cancer tissue, human cervical cancer tissue, mouse brain tissue, mouse kidney tissue, mouse pancreas tissue, rat brain tissue, rat kidney tissue, rat pancreas tissue Note: suggested antigen retrieval with TE buffer pH 9.0; (*) Alternatively, antigen retrieval may be performed with citrate buffer pH 6.0 |
| Positive IF/ICC detected in | HeLa cells |
Recommended dilution
| Application | Dilution |
|---|---|
| Western Blot (WB) | WB : 1:1000-1:6000 |
| Immunoprecipitation (IP) | IP : 0.5-4.0 ug for 1.0-3.0 mg of total protein lysate |
| Immunohistochemistry (IHC) | IHC : 1:500-1:2000 |
| Immunofluorescence (IF)/ICC | IF/ICC : 1:20-1:200 |
| It is recommended that this reagent should be titrated in each testing system to obtain optimal results. | |
| Sample-dependent, Check data in validation data gallery. | |
Published Applications
| WB | See 9 publications below |
| IHC | See 5 publications below |
| IF | See 3 publications below |
| CoIP | See 1 publications below |
| ChIP | See 1 publications below |
Product Information
18204-1-AP targets PBX1 in WB, IHC, IF/ICC, IP, CoIP, ChIP, ELISA applications and shows reactivity with human, mouse, rat samples.
| Tested Reactivity | human, mouse, rat |
| Cited Reactivity | human, mouse, rat |
| Host / Isotype | Rabbit / IgG |
| Class | Polyclonal |
| Type | Antibody |
| Immunogen |
CatNo: Ag12817 Product name: Recombinant human PBX1 protein Source: e coli.-derived, PGEX-4T Tag: GST Domain: 1-349 aa of BC101578 Sequence: MDEQPRLMHSHAGVGMAGHPGLSQHLQDGAGGTEGEGGRKQDIGDILQQIMTITDQSLDEAQARKHALNCHRMKPALFNVLCEIKEKTVLSIRGAQEEEPTDPQLMRLDNMLLAEGVAGPEKGGGSAAAAAAAAASGGAGSDNSVEHSDYRAKLSQIRQIYHTELEKYEQACNEFTTHVMNLLREQSRTRPISPKEIERMVSIIHRKFSSIQMQLKQSTCEAVMILRSRFLDARRKRRNFNKQATEILNEYFYSHLSNPYPSEEAKEELAKKCGITVSQVSNWFGNKRIRYKKNIGKFQEEANIYAAKTAVTATNVSAHGSQANSPSTPNSAGSSSSFNMSNSGDLFMS Predict reactive species |
| Full Name | pre-B-cell leukemia homeobox 1 |
| Calculated Molecular Weight | 430 aa, 47 kDa |
| Observed Molecular Weight | 52 kDa |
| GenBank Accession Number | BC101578 |
| Gene Symbol | PBX1 |
| Gene ID (NCBI) | 5087 |
| RRID | AB_10951860 |
| Conjugate | Unconjugated |
| Form | Liquid |
| Purification Method | Antigen affinity purification |
| UNIPROT ID | P40424 |
| Storage Buffer | PBS with 0.02% sodium azide and 50% glycerol, pH 7.3. |
| Storage Conditions | Store at -20°C. Stable for one year after shipment. Aliquoting is unnecessary for -20oC storage. 20ul sizes contain 0.1% BSA. |
Background Information
PBX1, also named as Pre-B-cell leukemia transcription factor 1, is a 430 amino acid protein, which belongs to the TALE/PBX homeobox family. PBX1 is expressed in all tissues except in cells of the B and T lineage. PBX1 acts as a transcriptional activator of PF4 in complex with MEIS1. PBX1 may have a role in steroidogenesis and, subsequently, sexual development and differentiation. Isoform PBX1b as part of a PDX1:PBX1b:MEIS2b complex in pancreatic acinar cells is involved in the transcriptional activation of the ELA1 enhancer. PBX1 exists two isoforms (PBX1a and PBX1b) and molecular weight of PBX1 is 47 kDa and 38 kDa.
Protocols
| Product Specific Protocols | |
|---|---|
| IF protocol for PBX1 antibody 18204-1-AP | Download protocol |
| IHC protocol for PBX1 antibody 18204-1-AP | Download protocol |
| IP protocol for PBX1 antibody 18204-1-AP | Download protocol |
| WB protocol for PBX1 antibody 18204-1-AP | Download protocol |
| Standard Protocols | |
|---|---|
| Click here to view our Standard Protocols |
Publications
| Species | Application | Title |
|---|---|---|
Int J Oral Sci Stromal thrombospondin 1 suppresses angiogenesis in oral submucous fibrosis | ||
J Neurochem Decreased levels of constitutive proteasomes in experimental autoimmune encephalomyelitis may be caused by a combination of subunit displacement and reduced Nfe2l1 expression. | ||
Neuroscience Neuroprotective Action of Teriflunomide in a Mouse Model of Transient Middle Cerebral Artery Occlusion. | ||
J Transl Med Inhibition of the FEN1-PBX1 axis elicits cellular senescence in breast cancer via the increased intracellular reactive oxygen species levels | ||
Int J Mol Med Protective effect of ginseng extract and total ginsenosides on hematopoietic stem cell damage by inhibiting cell apoptosis and regulating the intestinal microflora |























