Tested Applications
| Positive WB detected in | fetal human brain tissue |
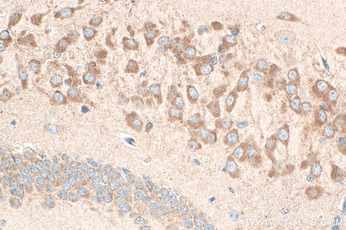
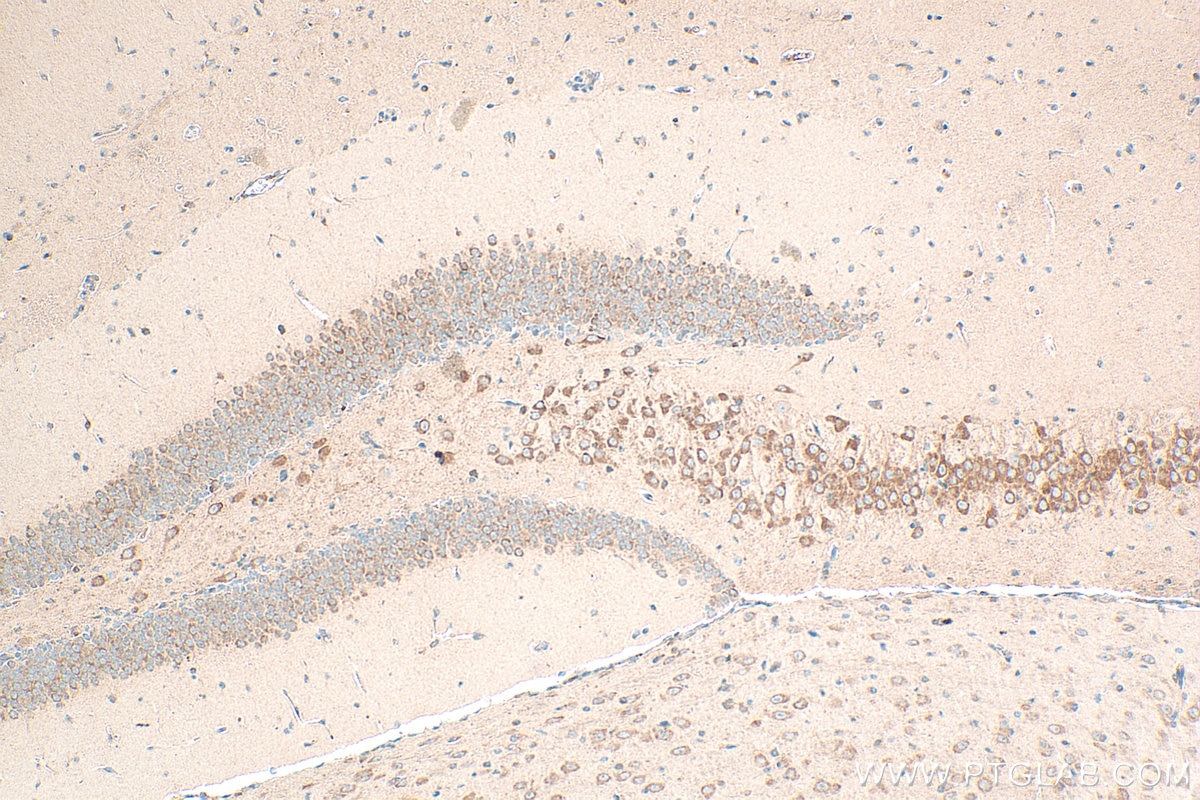
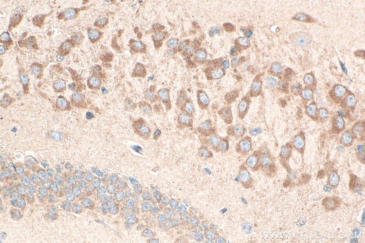
| Positive IHC detected in | mouse brain tissue Note: suggested antigen retrieval with TE buffer pH 9.0; (*) Alternatively, antigen retrieval may be performed with citrate buffer pH 6.0 |
Recommended dilution
| Application | Dilution |
|---|---|
| Western Blot (WB) | WB : 1:500-1:2000 |
| Immunohistochemistry (IHC) | IHC : 1:250-1:1000 |
| It is recommended that this reagent should be titrated in each testing system to obtain optimal results. | |
| Sample-dependent, Check data in validation data gallery. | |
Published Applications
| WB | See 4 publications below |
| IHC | See 3 publications below |
| IF | See 4 publications below |
Product Information
11268-1-AP targets NELL2 in WB, IHC, IF, ELISA applications and shows reactivity with human samples.
| Tested Reactivity | human |
| Cited Reactivity | human, mouse |
| Host / Isotype | Rabbit / IgG |
| Class | Polyclonal |
| Type | Antibody |
| Immunogen |
CatNo: Ag1793 Product name: Recombinant human NELL2 protein Source: e coli.-derived, PGEX-4T Tag: GST Domain: 443-740 aa of BC020544 Sequence: ECAEGRHYCRENTMCVNTPGSFMCICKTGYIRIDDYSCTEHDECITNQHNCDENALCFNTVGGHNCVCKPGYTGNGTTCKAFCKDGCRNGGACIAANVCACPQGFTGPSCETDIDECSDGFVQCDSRANCINLPGWYHCECRDGYHDNGMFSPSGESCEDIDECGTGRHSCANDTICFNLDGGYDCRCPHGKNCTGDCIHDGKVKHNGQIWVLENDRCSVCSCQNGFVMCRRMVCDCENPTVDLFCCPECDPRLSSQCLHQNGETLYNSGDTWVQNCQQCRCLQGEVDCWPLPCPDVE Predict reactive species |
| Full Name | NEL-like 2 (chicken) |
| Calculated Molecular Weight | 91 kDa |
| Observed Molecular Weight | 100-110 kDa |
| GenBank Accession Number | BC020544 |
| Gene Symbol | NELL2 |
| Gene ID (NCBI) | 4753 |
| RRID | AB_10638004 |
| Conjugate | Unconjugated |
| Form | Liquid |
| Purification Method | Antigen affinity purification |
| UNIPROT ID | Q99435 |
| Storage Buffer | PBS with 0.02% sodium azide and 50% glycerol, pH 7.3. |
| Storage Conditions | Store at -20°C. Stable for one year after shipment. Aliquoting is unnecessary for -20oC storage. 20ul sizes contain 0.1% BSA. |
Protocols
| Product Specific Protocols | |
|---|---|
| IHC protocol for NELL2 antibody 11268-1-AP | Download protocol |
| WB protocol for NELL2 antibody 11268-1-AP | Download protocol |
| Standard Protocols | |
|---|---|
| Click here to view our Standard Protocols |
Publications
| Species | Application | Title |
|---|---|---|
Nat Commun A small secreted protein NICOL regulates lumicrine-mediated sperm maturation and male fertility | ||
Reprod Biol Endocrinol Expression of NELL2/NICOL-ROS1 lumicrine signaling-related molecules in the human male reproductive tract | ||
Front Mol Biosci An Extracellular Matrix-Based Signature Associated With Immune Microenvironment Predicts the Prognosis and Therapeutic Responses of Patients With Oesophageal Squamous Cell Carcinoma. | ||
Front Neurol Tranylcypromine Causes Neurotoxicity and Represses BHC110/LSD1 in Human-Induced Pluripotent Stem Cell-Derived Cerebral Organoids Model. | ||
Oncol Rep microRNA‑196a‑3p inhibits cell proliferation and promotes cell apoptosis by targeting ADP ribosylation factor 4 in diffuse large B‑cell lymphoma. | ||
Discov Oncol Comprehensive analysis of basement membrane-related genes showed that NELL2 is a new therapeutic target for colorectal cancer |





