Tested Applications
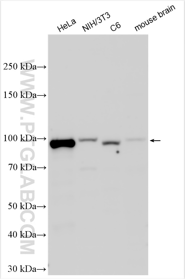
| Positive WB detected in | HeLa cells, NIH/3T3 cells, C6 cells, mouse brain tissue |
| Positive IP detected in | HeLa cells |
| Positive IHC detected in | human stomach tissue Note: suggested antigen retrieval with TE buffer pH 9.0; (*) Alternatively, antigen retrieval may be performed with citrate buffer pH 6.0 |
| Positive IF/ICC detected in | A549 cells |
Recommended dilution
| Application | Dilution |
|---|---|
| Western Blot (WB) | WB : 1:1000-1:6000 |
| Immunoprecipitation (IP) | IP : 0.5-4.0 ug for 1.0-3.0 mg of total protein lysate |
| Immunohistochemistry (IHC) | IHC : 1:500-1:2000 |
| Immunofluorescence (IF)/ICC | IF/ICC : 1:500-1:2000 |
| It is recommended that this reagent should be titrated in each testing system to obtain optimal results. | |
| Sample-dependent, Check data in validation data gallery. | |
Published Applications
| KD/KO | See 1 publications below |
| WB | See 15 publications below |
| IF | See 3 publications below |
| IP | See 2 publications below |
| CoIP | See 1 publications below |
Product Information
55025-1-AP targets NBN / NBS1 in WB, IHC, IF/ICC, IP, CoIP, ELISA applications and shows reactivity with human, mouse, rat samples.
| Tested Reactivity | human, mouse, rat |
| Cited Reactivity | human, mouse, rat |
| Host / Isotype | Rabbit / IgG |
| Class | Polyclonal |
| Type | Antibody |
| Immunogen |
Peptide Predict reactive species |
| Full Name | nibrin |
| Calculated Molecular Weight | 85 kDa |
| Observed Molecular Weight | 90-95 kDa |
| GenBank Accession Number | NM_002485 |
| Gene Symbol | NBN |
| Gene ID (NCBI) | 4683 |
| RRID | AB_10858928 |
| Conjugate | Unconjugated |
| Form | Liquid |
| Purification Method | Antigen affinity purification |
| UNIPROT ID | O60934 |
| Storage Buffer | PBS with 0.02% sodium azide and 50% glycerol, pH 7.3. |
| Storage Conditions | Store at -20°C. Stable for one year after shipment. Aliquoting is unnecessary for -20oC storage. 20ul sizes contain 0.1% BSA. |
Background Information
NBN, also named as NBS, NBS1 and P95, is a component of the MRE11/RAD50/NBN (MRN complex) which plays a critical role in the cellular response to DNA damage and the maintenance of chromosome integrity. The complex is involved in double-strand break (DSB) repair, DNA recombination, maintenance of telomere integrity, cell cycle checkpoint control and meiosis. The complex possesses single-strand endonuclease activity and double-strand-specific 3'-5' exonuclease activity, which are provided by MRE11A. NBN modulate the DNA damage signal sensing by recruiting PI3/PI4-kinase family members ATM, ATR, and probably DNA-PKcs to the DNA damage sites and activating their functions. NBN also functions in telomere length maintenance by generating the 3' overhang which serves as a primer for telomerase dependent telomere elongation. NBN is a major player in the control of intra-S-phase checkpoint and there is some evidence that NBN is involved in G1 and G2 checkpoints. Defects in NBN are the cause of Nijmegen breakage syndrome (NBS). Defects in NBN are a cause of genetic susceptibility to breast cancer (BC). Defects in NBN may be associated with aplastic anemia. Defects in NBN might play a role in the pathogenesis of childhood acute lymphoblastic leukemia (ALL). The antibody is specific to NBN. The full-length NBN protein, with an apparent molecular weight of 95 kDa and the two protein fragments of 26 and 70 kDa arising from the c.657_661del5 (p.K219fsX19) mutation, and the 80 kDa protein found in patient RR with the mutation c.742_743insGG leading to excision of exons 6 and 7 from the NBN mRNA are shown. (PMID: 26265251) The predicted molecular weight of NBN protein (p95) is 85kDa, actually detection result is about 95kDa(PMID: 23762398).
Protocols
| Product Specific Protocols | |
|---|---|
| IF protocol for NBN / NBS1 antibody 55025-1-AP | Download protocol |
| IHC protocol for NBN / NBS1 antibody 55025-1-AP | Download protocol |
| IP protocol for NBN / NBS1 antibody 55025-1-AP | Download protocol |
| WB protocol for NBN / NBS1 antibody 55025-1-AP | Download protocol |
| Standard Protocols | |
|---|---|
| Click here to view our Standard Protocols |
Publications
| Species | Application | Title |
|---|---|---|
Mol Cell C1QBP Promotes Homologous Recombination by Stabilizing MRE11 and Controlling the Assembly and Activation of MRE11/RAD50/NBS1 Complex. | ||
Nat Commun Crosstalk between SUMOylation and ubiquitylation controls DNA end resection by maintaining MRE11 homeostasis on chromatin | ||
Nucleic Acids Res LncRNA lnc-RI regulates homologous recombination repair of DNA double-strand breaks by stabilizing RAD51 mRNA as a competitive endogenous RNA. | ||
Cell Death Differ NBS1 is required for SPO11-linked DNA double-strand break repair in male meiosis.
| ||
Oncogene TRIM24 is critical for the cellular response to DNA double-strand breaks through regulating the recruitment of MRN complex | ||
Reviews
The reviews below have been submitted by verified Proteintech customers who received an incentive for providing their feedback.
FH Arnaud (Verified Customer) (09-26-2025) | Work well at 1:1000 dilution, one band under 100kDa ladder
|













