Tested Applications
| Positive WB detected in | HeLa cells, mouse lung tissue, rat lung tissue, HepG2 cells, L02 cells |
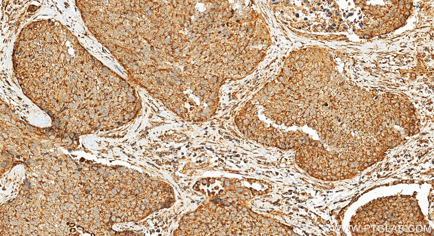
| Positive IHC detected in | human liver cancer tissue, human lung cancer tissue Note: suggested antigen retrieval with TE buffer pH 9.0; (*) Alternatively, antigen retrieval may be performed with citrate buffer pH 6.0 |
| Positive IF/ICC detected in | U2OS cells |
Recommended dilution
| Application | Dilution |
|---|---|
| Western Blot (WB) | WB : 1:1000-1:8000 |
| Immunohistochemistry (IHC) | IHC : 1:200-1:1000 |
| Immunofluorescence (IF)/ICC | IF/ICC : 1:200-1:800 |
| It is recommended that this reagent should be titrated in each testing system to obtain optimal results. | |
| Sample-dependent, Check data in validation data gallery. | |
Published Applications
| KD/KO | See 1 publications below |
| WB | See 23 publications below |
| IP | See 1 publications below |
Product Information
15462-1-AP targets MDH2 in WB, IHC, IF/ICC, IP, ELISA applications and shows reactivity with human, mouse, rat samples.
| Tested Reactivity | human, mouse, rat |
| Cited Reactivity | human, mouse, caenorhabditis elegans |
| Host / Isotype | Rabbit / IgG |
| Class | Polyclonal |
| Type | Antibody |
| Immunogen |
CatNo: Ag7750 Product name: Recombinant human MDH2 protein Source: e coli.-derived, T-HIS Tag: 6*His Domain: 1-338 aa of BC001917 Sequence: MLSALARPVSAALRRSFSTSAQNNAKVAVLGASGGIGQPLSLLLKNSPLVSRLTLYDIAHTPGVAADLSHIETKAAVKGYLGPEQLPDCLKGCDVVVIPAGVPRKPGMTRDDLFNTNATIVATLTAACAQHCPEAMICVIANPVNSTIPITAEVFKKHGVYNPNKIFGVTTLDIVRANTFVAELKGLDPARVNVPVIGGHAGKTIIPLISQCTPKVDFPQDQLTALTGRIQEAGTEVVKAKAGAGSATLSMAYAGARFVFSLVDAMNGKEGVVECSFVKSQETECTYFSTPLLLGKKGIEKNLGIGKVSSFEEKMISDAIPELKASIKKGEDFVKTLK Predict reactive species |
| Full Name | malate dehydrogenase 2, NAD (mitochondrial) |
| Calculated Molecular Weight | 36 kDa |
| Observed Molecular Weight | 33 kDa |
| GenBank Accession Number | BC001917 |
| Gene Symbol | MDH2 |
| Gene ID (NCBI) | 4191 |
| RRID | AB_2878143 |
| Conjugate | Unconjugated |
| Form | Liquid |
| Purification Method | Antigen affinity purification |
| UNIPROT ID | P40926 |
| Storage Buffer | PBS with 0.02% sodium azide and 50% glycerol, pH 7.3. |
| Storage Conditions | Store at -20°C. Stable for one year after shipment. Aliquoting is unnecessary for -20oC storage. 20ul sizes contain 0.1% BSA. |
Background Information
MDH2 encodes the Krebs cycle enzyme mitochondrial malate dehydrogenase, which catalyzes the reversible oxidation of malate to oxaloacetate and plays a role in the malate-aspartate NADH shuttle. Mutations in MDH2 Cause Developmental and epileptic encephalopathy 51 (PMID: 27989324).
Protocols
| Product Specific Protocols | |
|---|---|
| IF protocol for MDH2 antibody 15462-1-AP | Download protocol |
| IHC protocol for MDH2 antibody 15462-1-AP | Download protocol |
| WB protocol for MDH2 antibody 15462-1-AP | Download protocol |
| Standard Protocols | |
|---|---|
| Click here to view our Standard Protocols |
Publications
| Species | Application | Title |
|---|---|---|
Adv Sci (Weinh) SUCLG2 Regulates Mitochondrial Dysfunction through Succinylation in Lung Adenocarcinoma | ||
Nat Commun Low chorionic villous succinate accumulation associates with recurrent spontaneous abortion risk. | ||
J Exp Med Inhibiting both proline biosynthesis and lipogenesis synergistically suppresses tumor growth. | ||
Aging Dis Dietary Salt Disrupts Tricarboxylic Acid Cycle and Induces Tau Hyperphosphorylation and Synapse Dysfunction during Aging | ||
iScience The Symbiotic Relationship between the Neural Retina and Retinal Pigment Epithelium Is Supported by Utilizing Differential Metabolic Pathways. | ||
Biochim Biophys Acta Mol Basis Dis Genome-wide translational reprogramming of genes important for myocyte functions in overload-induced heart failure. |
Reviews
The reviews below have been submitted by verified Proteintech customers who received an incentive for providing their feedback.
FH Süleyman (Verified Customer) (02-06-2022) | It is good antibody but some unspecific bands, but MDH2 can be detected specifically around 34 kDa.
![]() |
























