Tested Applications
| Positive WB detected in | HEK-293 cells, MDCK cells |
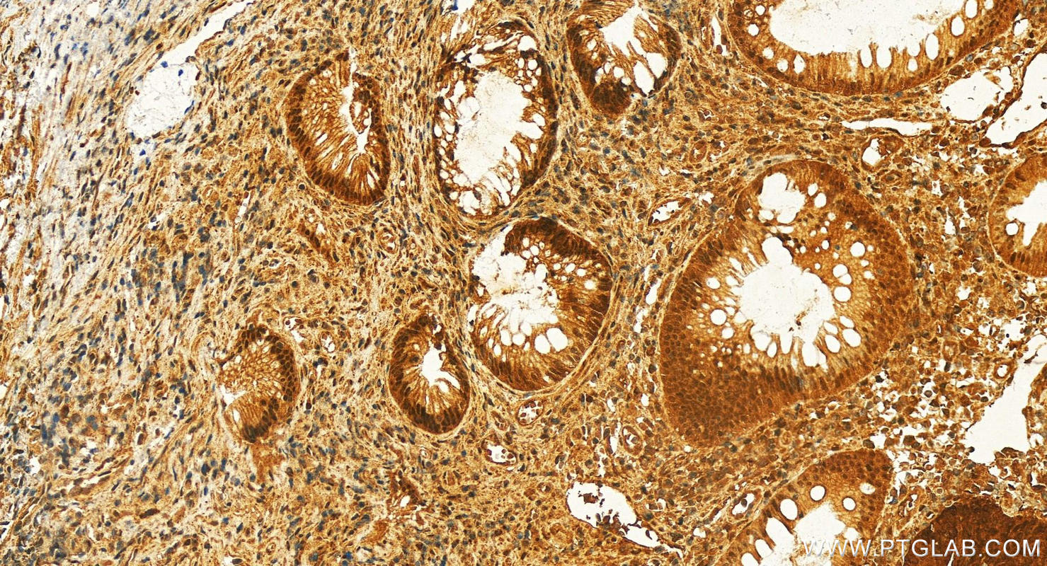
| Positive IHC detected in | human colon cancer Note: suggested antigen retrieval with TE buffer pH 9.0; (*) Alternatively, antigen retrieval may be performed with citrate buffer pH 6.0 |
| Positive IF/ICC detected in | HEK-293 cells |
Recommended dilution
| Application | Dilution |
|---|---|
| Western Blot (WB) | WB : 1:500-1:2000 |
| Immunohistochemistry (IHC) | IHC : 1:50-1:500 |
| Immunofluorescence (IF)/ICC | IF/ICC : 1:20-1:200 |
| It is recommended that this reagent should be titrated in each testing system to obtain optimal results. | |
| Sample-dependent, Check data in validation data gallery. | |
Published Applications
| WB | See 1 publications below |
Product Information
25964-1-AP targets CLNS1A/CLCI in WB, IHC, IF/ICC, ELISA applications and shows reactivity with human, canine samples.
| Tested Reactivity | human, canine |
| Host / Isotype | Rabbit / IgG |
| Class | Polyclonal |
| Type | Antibody |
| Immunogen |
CatNo: Ag22923 Product name: Recombinant human CLNS1A protein Source: e coli.-derived, PGEX-4T Tag: GST Domain: 1-237 aa of BC119634 Sequence: MSFLKSFPPPGPAEGLLRQQPDTEAVLNGKGLGTGTLYIAESRLSWLDGSGLGFSLEYPTISLHALSRDRSDCLGEHLYVMVNAKFEEESKEPVADEEEEDSDDDVEPITEFRFVPSDKSALEAMFTAMCECQALHPDPEDEDSDDYDGEEYDVEAHEQGQGDIPTFYTYEEGLSHLTAEGQATLERLEGMLSQSVSSQYNMAGVRTEDSIRDYEDGMEVDTTPTVAGQFEDADVDH Predict reactive species |
| Full Name | chloride channel, nucleotide-sensitive, 1A |
| Calculated Molecular Weight | 237 aa, 26 kDa |
| Observed Molecular Weight | 36-42 kDa |
| GenBank Accession Number | BC119634 |
| Gene Symbol | CLNS1A |
| Gene ID (NCBI) | 1207 |
| RRID | AB_2880312 |
| Conjugate | Unconjugated |
| Form | Liquid |
| Purification Method | Antigen affinity purification |
| UNIPROT ID | P54105 |
| Storage Buffer | PBS with 0.02% sodium azide and 50% glycerol, pH 7.3. |
| Storage Conditions | Store at -20°C. Stable for one year after shipment. Aliquoting is unnecessary for -20oC storage. 20ul sizes contain 0.1% BSA. |
Protocols
| Product Specific Protocols | |
|---|---|
| IF protocol for CLNS1A/CLCI antibody 25964-1-AP | Download protocol |
| IHC protocol for CLNS1A/CLCI antibody 25964-1-AP | Download protocol |
| WB protocol for CLNS1A/CLCI antibody 25964-1-AP | Download protocol |
| Standard Protocols | |
|---|---|
| Click here to view our Standard Protocols |







